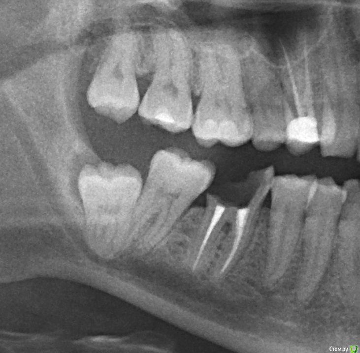
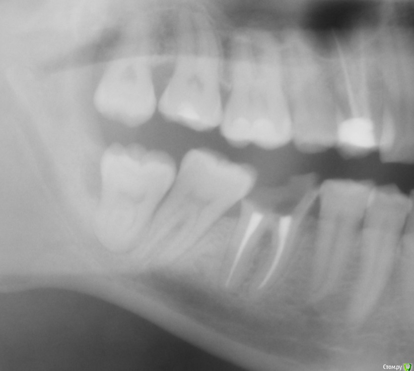
hysteresis Опубликовано 17 февраля, 2015 Поделиться Опубликовано 17 февраля, 2015 (изменено) Около года назад оживился зуб мудрости. Появились следующие проблемы:1. Периодически (раз в 3-4 месяца) боль в скуле2. Соседний 7-ой зуб по ощущениям стал выше - челюсть нормально не смыкается (но на снимках этого не замечаю).3. Легкое оглушение в ухе со стороны зуба, почти постоянно. Изредка боль в ухе. Это снимок 2012-го года. Это снимок 2015-го года. Нужно ли удалять? Или точнее можно ли не удалять, хирург предупредил о возможном осложнении в виде повреждения нерва. Я этого опасаюсь. Могут ли быть связаны проблемы с ухом с этим зубом?Исправит ли удаление 8-ки "изменение высоты" 7-ки. Или как это вообще исправить? Два разных стоматолога рекомендовали удалять в стационаре. Теперь хирург берется удалить всё на месте. Этот тоже добавляет некоторые сомнения. мой возраст 36 лет. Изменено 17 февраля, 2015 пользователем hysteresis Ссылка на комментарий
Bier Опубликовано 17 февраля, 2015 Поделиться Опубликовано 17 февраля, 2015 зуб Ваш подрос и больше не касается нерва. Все легко удаляется в кресле. И верхний и нижний. 2 Ссылка на комментарий
red_butler Опубликовано 18 февраля, 2015 Поделиться Опубликовано 18 февраля, 2015 удалять амбулаторно Ссылка на комментарий
Рекомендуемые сообщения
Для публикации сообщений создайте учётную запись или авторизуйтесь
Вы должны быть пользователем, чтобы оставить комментарий
Создать аккаунт
Зарегистрируйте новый аккаунт в нашем сообществе. Это очень просто!
Регистрация нового пользователяВойти
Уже есть аккаунт? Войти в систему.
Войти