Перейти к содержанию
Стоматология для всех

Прошу подсказать по лечению


stomqwerty

Рекомендуемые сообщения

Здравствуйте, уважаемые врачи!

 

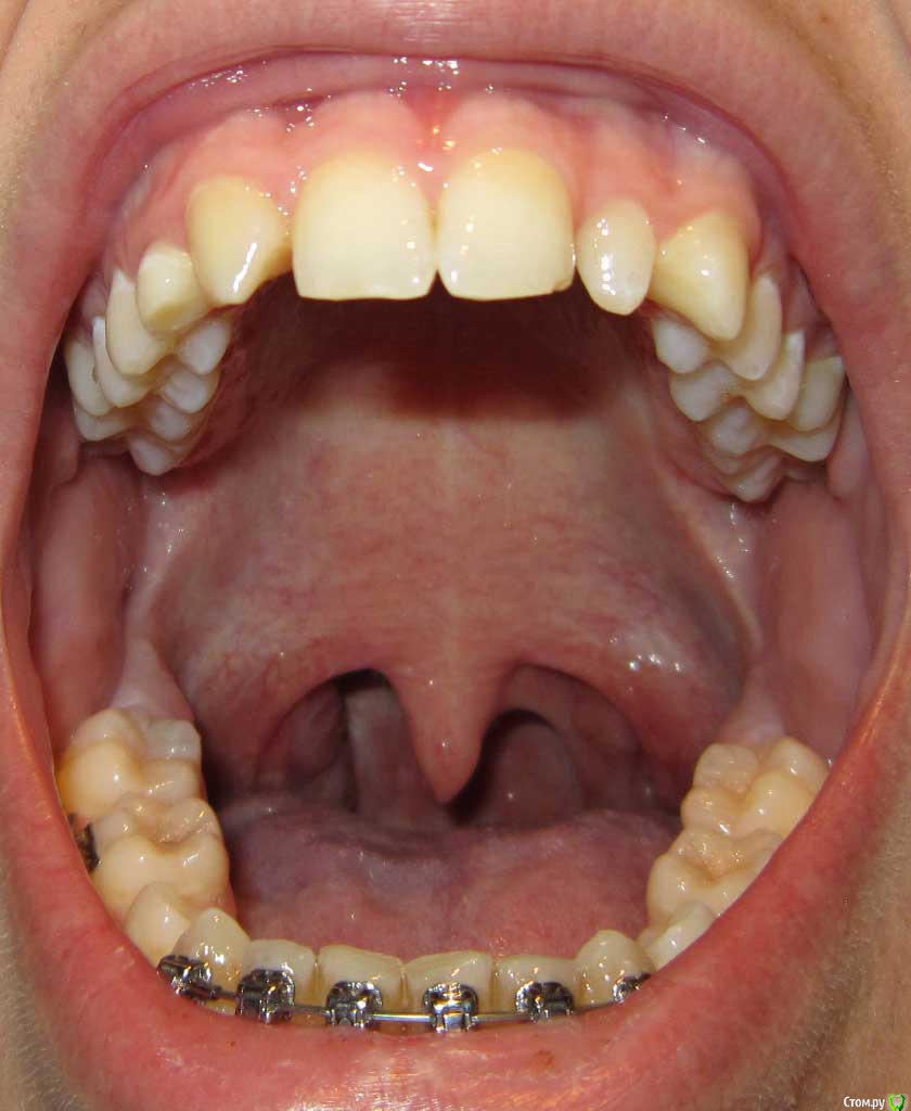
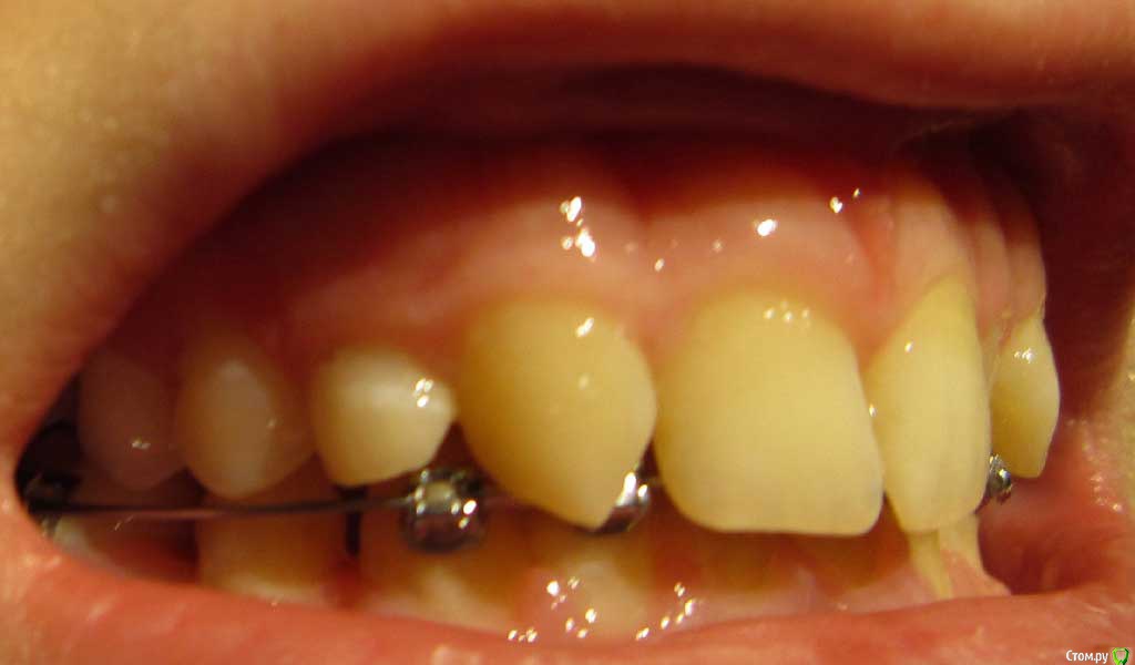
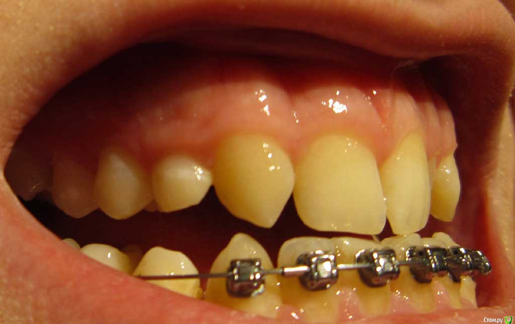
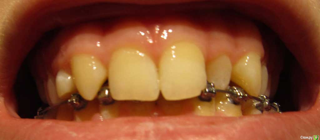
Сейчас мне 17 лет. На лечении у ортодонта с августа 2013 года. Удалили молочные пятерки и стали сдвигать шестерки к передним зубам. На верхнюю челюсть она ставить брекеты не стала. Осенью 14 года врач ушла в декрет.

 

Пришел новый врач который предложил все сделать несколько иначе: поставить брекеты на обе челюсти, все выравнять и освободить место под будущие импланты: вместо пятерок снизу и второго слева резца сверху -, а пока на их место поставить коронки. Также врач назвал сроки: около 1 года.

 

Скажите пожалуйста, правильный ли путь выбрал врач?

Реальны ли такие сроки?

Возможно ли вообще в моем случае все сделать хорошо?

 

Понимаю, что лечась у того врача сделали ошибку, больше не хочется их повторять.

 

Сверху слева отсутствует зачаток второго резца, вместо него находится клык и молочный зуб левее. Внизу нет зачатков пятерок.

 

Заранее спасибо большое всем откликнувшимся!

post-42044-0-91592900-1424193999_thumb.jpg

post-42044-0-00148000-1424194001_thumb.jpg

post-42044-0-08334900-1424194002_thumb.jpg

post-42044-0-88174900-1424194002_thumb.jpg

post-42044-0-93697700-1424194003_thumb.jpg

post-42044-0-70428600-1424194004_thumb.jpg

post-42044-0-83654900-1424194005_thumb.jpg

post-42044-0-73744300-1424194006_thumb.jpg

post-42044-0-59298000-1424194009_thumb.jpg

post-42044-0-85694000-1424194010_thumb.jpg

Ссылка на комментарий

доктор ваш мыслит верно - однаконадо рещить вопрос и с прикусом - нужно трг , кт суставов с сомкнутыми зубами .а просто кт . модели в артикуляторе - полный анализ.

  • Поддерживаю 1
Ссылка на комментарий

Спасибо вам большое за ответ!
Не могли бы Вы поподробнее рассказать о моем случае? Какие могут возникнуть сложности при лечении?

Ссылка на комментарий

Для публикации сообщений создайте учётную запись или авторизуйтесь

Вы должны быть пользователем, чтобы оставить комментарий

Создать аккаунт

Зарегистрируйте новый аккаунт в нашем сообществе. Это очень просто!

Регистрация нового пользователя

Войти

Уже есть аккаунт? Войти в систему.

Войти
×
×
  • Создать...
Вверх