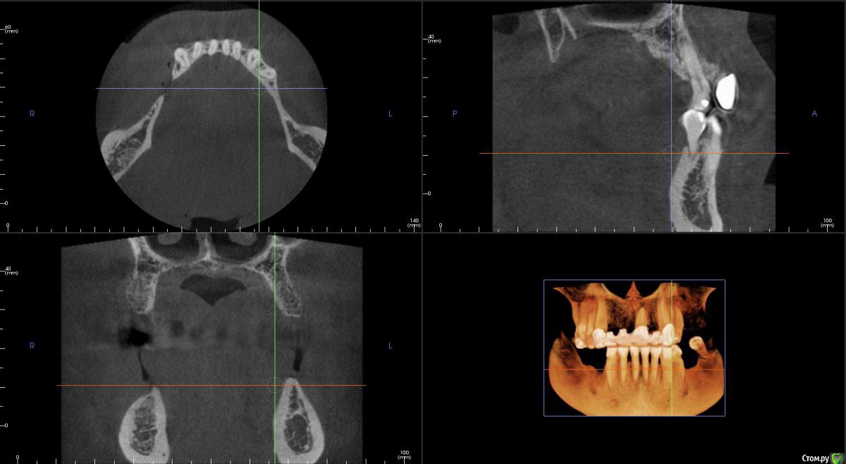
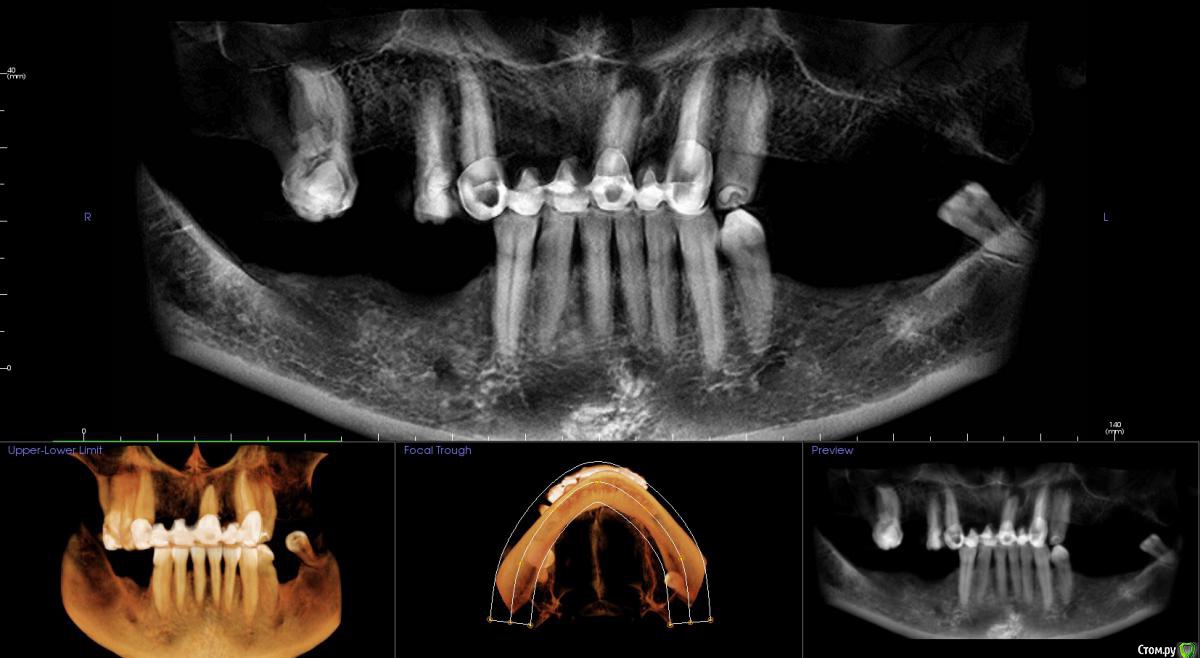
kamranchick Опубликовано 17 февраля, 2015 Поделиться Опубликовано 17 февраля, 2015 Добрый вечер.Имеется следующая проблемаПациент обратлся с жалобами в области отсутствия жевательных зубов, планируется имплантация.Вопросы такого плана, в области 3 сегмента думаю сделать расщепление гребня, установка имплантов 3,75/8 и аугментация костью Ostebiol Gen-Os, мембрана.В области 4 сегмента больше сомнения, планируется титановая сетка +аугментация, либо расщепление опять же, планирую разделить восстановление и имплантауию на 2 этапа в 4 сегментеКакие будут комментарии? Ссылка на комментарий
Mane Опубликовано 22 февраля, 2015 Поделиться Опубликовано 22 февраля, 2015 ваксапортопедич шаблон операция:анестзияразрезскелетированиетурбомобилизациязасверлингболтинг слева и справа устанавливаете с заглублнием платформы 1 мм относительно кости, также ориентируясь на шаблонзабор ауто кости (стружка)припиниваете мембрану вестибулярно (эволюшн или биогайд или оссеогард или и тд)ауто укладываете на открытый резьбы имплантов вестибулярно толщиной 2-3 ммсверху ксенографт или микс с ауто (биоос остеобиол и др)заворачиваете в сосикуприпиниваете язычносутуринг удачи! 4 Ссылка на комментарий
Maxfac Опубликовано 22 февраля, 2015 Поделиться Опубликовано 22 февраля, 2015 турбомобилизацияА это как? Чем отличается от обычной мобилизации? Ссылка на комментарий
АнтонТЛТ Опубликовано 22 февраля, 2015 Поделиться Опубликовано 22 февраля, 2015 А это как? Чем отличается от обычной мобилизации?видимо с использованием турбины)) 3 Ссылка на комментарий
syrovovec Опубликовано 22 февраля, 2015 Поделиться Опубликовано 22 февраля, 2015 А это как? Чем отличается от обычной мобилизации?В закрытом видео есть Ссылка на комментарий
SDC Опубликовано 22 февраля, 2015 Поделиться Опубликовано 22 февраля, 2015 А это как? Чем отличается от обычной мобилизации?Разрез надкостницы сразу за границей ПД и далее расщепление, пока не мобилизируется достаточно. Контроль толщины отщепленной слизистой снаружи - лезвие должно быть расположено параллельно слизистой и просвечивать через нее.Низкий риск повреждения н.ч. нерва в области менталиса.. 6 Ссылка на комментарий
kamranchick Опубликовано 24 февраля, 2015 Автор Поделиться Опубликовано 24 февраля, 2015 Спасибо большое господа, будем стараться делать по написанному протоколу Ссылка на комментарий
lavrikk Опубликовано 27 февраля, 2015 Поделиться Опубликовано 27 февраля, 2015 А как это заворачивать в сосиску? Что? Графт? Ссылка на комментарий
Mane Опубликовано 27 февраля, 2015 Поделиться Опубликовано 27 февраля, 2015 А как это заворачивать в сосиску? Что? Графт?http://m.youtube.com/watch?v=a-uXyUd1rUM 2 Ссылка на комментарий
lavrikk Опубликовано 1 марта, 2015 Поделиться Опубликовано 1 марта, 2015 http://m.youtube.com/watch?v=a-uXyUd1rUMЧеткое и понятное видео! Спасибо! На нижней челюсти при использовании винтов конмет столкнулся с накручиванием мембраны на винт. Как с этим боретесь, когда нет возможности использовать пины? Ссылка на комментарий
Доктор Хаус Опубликовано 2 марта, 2015 Поделиться Опубликовано 2 марта, 2015 Четкое и понятное видео! Спасибо! На нижней челюсти при использовании винтов конмет столкнулся с накручиванием мембраны на винт. Как с этим боретесь, когда нет возможности использовать пины? Поэтому лутще и проще использовать пины у мкт вполне дешевые и качественные пины Ссылка на комментарий
kriokov Опубликовано 2 марта, 2015 Поделиться Опубликовано 2 марта, 2015 ! На нижней челюсти при использовании винтов конмет столкнулся с накручиванием мембраны на винт. Как с этим боретесь, когда нет возможности использовать пины?1. если мембрана толстая типа дермы от остеобиол, то не накручивается2. если тонкая, то как выше советовали-- пины, ими и удобней и быстрее, 3. если тонкая и способна к растяжению, а пинов нет, то можно пробить дырки в мембране дыроколом от коффера, потом на винты конмет. Но поскольку делал так, то воочию знаю этот геморрой именно на нижней челюсти- чтоб хоть как то первично крутнуть кортикальный винт в челюсть, надо продырявить кортикалку, потом позиционировать мембрану с совмещением отверстий, потом винт вкрутить,Второй и последующие винты -- уже можно кортикальную и через дырки от дырокола в мембране засверлить, а потом вкрутиться. Гвозди (пины ) удобнее безусловно, думаю надо Вам с пинами решать. Ссылка на комментарий
Mane Опубликовано 5 марта, 2015 Поделиться Опубликовано 5 марта, 2015 Винтами конмет так - придерживаете мембрану пинцетом с двух сторон от винта. Два оборота по часовой стрелке, один проттв. И так пока не закрутите до конца. 1 Ссылка на комментарий
kriokov Опубликовано 5 марта, 2015 Поделиться Опубликовано 5 марта, 2015 Винтами конмет так - придерживаете мембрану пинцетом с двух сторон от винта. Два оборота по часовой стрелке, один проттв. И так пока не закрутите до конца. спасибо, попробую! Ссылка на комментарий
lavrikk Опубликовано 6 марта, 2015 Поделиться Опубликовано 6 марта, 2015 Спасибо! Винтами конмет так - придерживаете мембрану пинцетом с двух сторон от винта. Два оборота по часовой стрелке, один проттв. И так пока не закрутите до конца. Ссылка на комментарий
Shuvalov Опубликовано 17 марта, 2015 Поделиться Опубликовано 17 марта, 2015 Добрый вечер.Имеется следующая проблемаПациент обратлся с жалобами в области отсутствия жевательных зубов, планируется имплантация.Вопросы такого плана, в области 3 сегмента думаю сделать расщепление гребня, установка имплантов 3,75/8 и аугментация костью Ostebiol Gen-Os, мембрана.В области 4 сегмента больше сомнения, планируется титановая сетка +аугментация, либо расщепление опять же, планирую разделить восстановление и имплантауию на 2 этапа в 4 сегментеКакие будут комментарии?Думаю Mane прав И получите прогнозируемый результат! Без сетки! Сосиска рулит Ссылка на комментарий
Рекомендуемые сообщения
Для публикации сообщений создайте учётную запись или авторизуйтесь
Вы должны быть пользователем, чтобы оставить комментарий
Создать аккаунт
Зарегистрируйте новый аккаунт в нашем сообществе. Это очень просто!
Регистрация нового пользователяВойти
Уже есть аккаунт? Войти в систему.
Войти