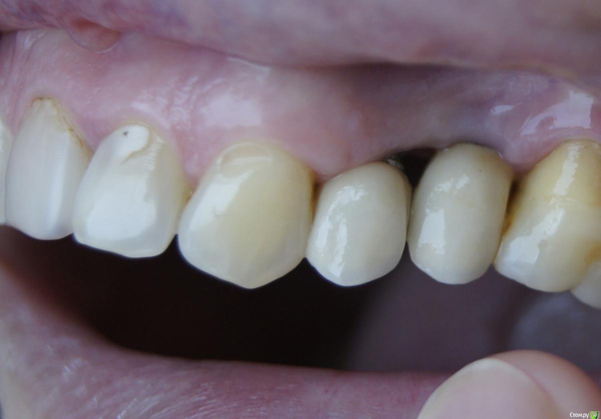
nbryk Опубликовано 16 февраля, 2015 Поделиться Опубликовано 16 февраля, 2015 Уважаемый доктор!Полгода назад мне установили 2 имплатна "Implatium" (Ю. Корея) в левую часть верхней челюсти - 4 и 5 зубы, один из имплантов (5) установлен сразу же после удаления зуба. Постоянные коронки поставили на днях. Результат мне не нравится и беспокоит: между коронками и десной большая щель, в которой просматривается титановый штифт импланта (4), коронки меньше моих родных зубов. В щель постоянно забивается пища и не возможно улыбнуться, в виду отсутствия эстетики.Проконсультируйте , что можно предпринять для исправления дефектов.Можно ли снять постоянные коронки, переделать и установить другие(посмотрите пожалуйста фото) или требуется что-то другое? Ссылка на комментарий
АнтонТЛТ Опубликовано 16 февраля, 2015 Поделиться Опубликовано 16 февраля, 2015 Нужен рентген Ссылка на комментарий
Mane Опубликовано 16 февраля, 2015 Поделиться Опубликовано 16 февраля, 2015 Идентичная ситуация соседней теме. Тут не хватает десны. Если с имплантами все в порядке, то пластика десны решит ситуацию. Ссылка на комментарий
Рекомендуемые сообщения
Для публикации сообщений создайте учётную запись или авторизуйтесь
Вы должны быть пользователем, чтобы оставить комментарий
Создать аккаунт
Зарегистрируйте новый аккаунт в нашем сообществе. Это очень просто!
Регистрация нового пользователяВойти
Уже есть аккаунт? Войти в систему.
Войти