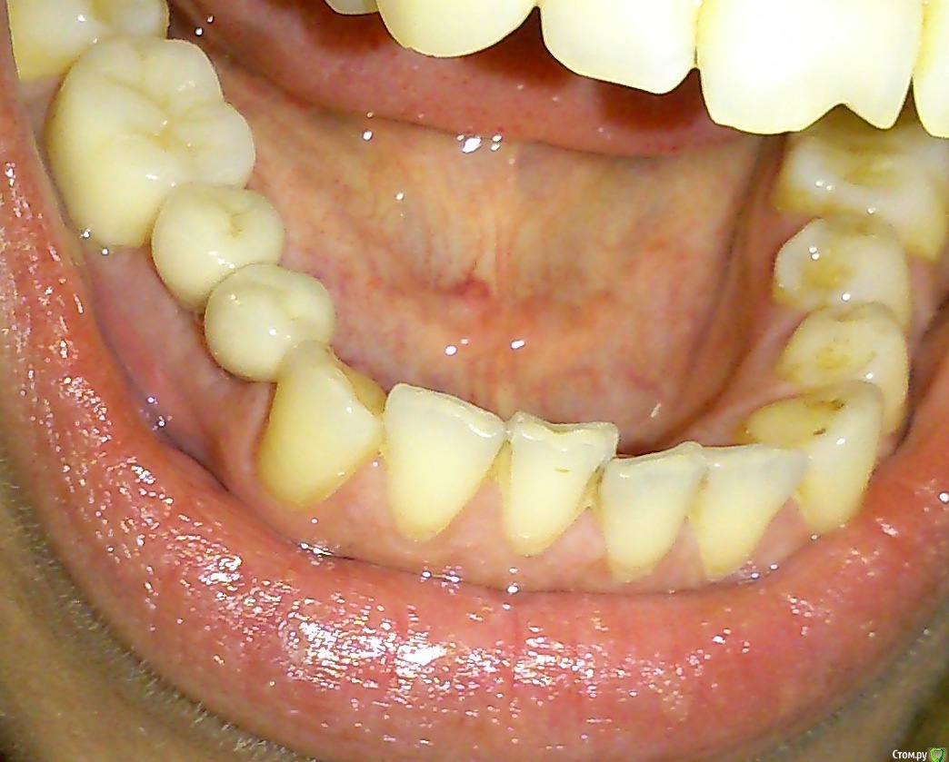
Lighty Опубликовано 13 февраля, 2015 Поделиться Опубликовано 13 февраля, 2015 Добрый день!Нужен совет хорошего специалиста, чтобы понять насколько правильно была проведена имплантация двух зубов и должно ли это выглядеть так? Потому что на мой взгляд было использовано недостаточно костной ткани и теперь эти два зуба западают вовнутрь и результат выглядит неэстэтичным. Заранее большое спасибо за помощь Ссылка на комментарий
IvanK Опубликовано 13 февраля, 2015 Поделиться Опубликовано 13 февраля, 2015 Если хочется эстетики , то придется еще поработать. 2 Ссылка на комментарий
Dmitriy84 Опубликовано 13 февраля, 2015 Поделиться Опубликовано 13 февраля, 2015 Почему вы отказались от ортодонтического лечения? 2 Ссылка на комментарий
Чертков Александр Опубликовано 13 февраля, 2015 Поделиться Опубликовано 13 февраля, 2015 Поправимо!Если хочется эстетики , то придется еще поработать. Ссылка на комментарий
red_butler Опубликовано 14 февраля, 2015 Поделиться Опубликовано 14 февраля, 2015 Lighty, расскажите что планировалось с врачами изначально? Изготавливали восковой макет будущей работы? Что делали кроме имплантации? Если рассматривать данную работу, как бюджетную, то все не так уж плохо. 1 Ссылка на комментарий
Lighty Опубликовано 15 февраля, 2015 Автор Поделиться Опубликовано 15 февраля, 2015 Изначально наращивалась костная ткань, потом проводилась имплантация.. По бюджетности- на 2 зуба порядка 80000 руб. Так же оплачивалась дополнительная костная ткань, доктор взял по тарифу по максимуму. По ортодонтии. Она планировалась. План: 1. установка брекетов на нижний ряд на срок около полугода.2. Операция по увеличению верхней челюсти с установкой расширителя (могу ошибаться в названии) на срок около полугода.3. Операция по уменьшению нижней челюсти + операция на верхней челюсти. В общем долго думала,и не решилась.. Получается в 5 местах пилить.. И поэтому решила сделать имплантациЮ. Ссылка на комментарий
Lighty Опубликовано 15 февраля, 2015 Автор Поделиться Опубликовано 15 февраля, 2015 Восковой макет не изготавливали Ссылка на комментарий
Lighty Опубликовано 15 февраля, 2015 Автор Поделиться Опубликовано 15 февраля, 2015 Просто поставить брекеты без операций по изменению размеров челюстей( так как верхняя недоразвита)все врачи отказывались, так как передние зубы ушли бы вперед, а верхние назад. 1 Ссылка на комментарий
Mane Опубликовано 15 февраля, 2015 Поделиться Опубликовано 15 февраля, 2015 Все реально исправить. Конечно потребуется переделка коронок. Но импланты слава богу возможно и переставлять не придется. Нужна пластика десны Далее временное протезирование Далее постоянное протезирование Все! http://forum.stom.ru/topic/27329-kk-metod-nikakikh-karkasov-prostoi-nasyping/?do=findComment&comment=463870 Ссылка на комментарий
Lighty Опубликовано 18 февраля, 2015 Автор Поделиться Опубликовано 18 февраля, 2015 Спасибо! Ссылка на комментарий
Рекомендуемые сообщения
Для публикации сообщений создайте учётную запись или авторизуйтесь
Вы должны быть пользователем, чтобы оставить комментарий
Создать аккаунт
Зарегистрируйте новый аккаунт в нашем сообществе. Это очень просто!
Регистрация нового пользователяВойти
Уже есть аккаунт? Войти в систему.
Войти