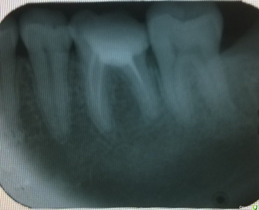
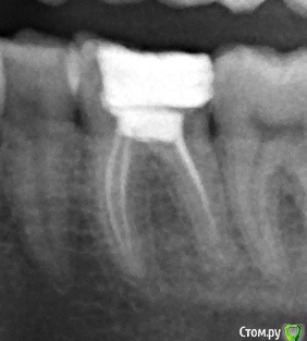
Ангеланя Опубликовано 12 февраля, 2015 Поделиться Опубликовано 12 февраля, 2015 Здравствуйте! Помогите пожалуйста, я не знаю что делать, мне очень нужен совет.Проблема с зубом 3.6 возникла еще в 2004 году, он у меня разрушился (во время беременности), лечили очень долго - закладывали мышьяк, удаляли нервы, поставили обычную пломбу, с которой я проходила 8 лет! Пломба выпала в 2012. Я заменила ее на световую, не помню точно, но каналы вроде тоже перепломбировывали. Прикрепляю снимок, сделанный через пол года после перепломбировки. Зуб меня не беспокоил, ходила я с новой пломбой 2 года. Но недавно откололся кусочек и мне острый край создавал дискомфорт, пошла к стоматологу.Пошла в частную клинику, работающую по ОМС.Значит пломбу она вскрыла, стала тыкать - мне больно, поставила 3 или 4 укола, говорит, что стал виден у соседнего зуба поверхностный кариес, лечила вроде как его, световую пломбу накладывала. Я не знаю что конкретно она делала. В завершении она наложила мне временную пломбу, и сказала, что этот зуб идет под коронку, смысла его вновь пломбировать нет, я с ней согласилась, мне до нее уже об этом говорили. На следующий день прихожу к ортопеду, он отправил на снимок, посмотрев его, сказал,что нужно перелечивать канал, к тому же он видит воспалительный процесс. Прихожу я к терапевту, уже к другому, в другую клинику, платную. Она посмотрела мои снимки и просто ошарашила меня - зуб подлежит удалению!!!!!! Отсутствует бифуркация, следовательно будет воспалительный процесс периодонта. Коронка противопоказана, и постоянная пломба тоже, т.к. через несколько месяцев зуб разрушится окончательно. Она позвала ортопеда (другого), та подтвердила ее мнение, и высказала недоумение, почему ортопед, который меня смотрел до этого не заметил.В-общем я в пребываю в шоке. Зуб терять не хочу. Посоветуйте пожалуйста,что можно сделать в этой ситуации, для меня очень важно сохранить этот зуб. Я подозреваю, это врач при вытаскивании пломбы повредила зуб. Сравните снимки - мои подозрения подтверждаются? Я хочу поехать в ту клинику и написать претензию, ведь из-за ее неосторожных действий я потеряю зуб. Что мне можно потребовать, может компенсацию? Посоветуйте, а стоит ли вообще разбираться, ведь зуб не вернешь. Или все-таки можно хоть что-то сделать? Так хочется, чтоб доктор у которой я сегодня была ошибалась! еще раз напомню, на первом фото - снимок 2012 года, на втором - сегодняшний день с временной пломбой. Ссылка на комментарий
shishok Опубликовано 12 февраля, 2015 Поделиться Опубликовано 12 февраля, 2015 Возможно и нет перфорации(угол съёмки другой).КТ в помощь.Но мне не нравится разрушение задней стенки ниже уровня десны.ИМХО. Ссылка на комментарий
Ангеланя Опубликовано 12 февраля, 2015 Автор Поделиться Опубликовано 12 февраля, 2015 Возможно и нет перфорации(угол съёмки другой).КТ в помощь.Но мне не нравится разрушение задней стенки ниже уровня десны.ИМХО.у меня есть еще один снимок, сделанный сегодня., а снимок выше - от 9 числа, когда первый раз пошла к ортопеду Ссылка на комментарий
Гарриевич Опубликовано 12 февраля, 2015 Поделиться Опубликовано 12 февраля, 2015 Для начала прекратите сыпать обвинениями на всех подряд. Первый снимок сделан в прямой проекции, а второй под углом сверху, отсюда и разница. На последнем снимке вообще ничего не видно, он не информативен. Хотите разобраться и быть уверенной идите к хорошему доктору, тут на форуме есть несколько докторов с Вашего города 1 Ссылка на комментарий
SDC Опубликовано 12 февраля, 2015 Поделиться Опубликовано 12 февраля, 2015 Нормальный зуб и на первый взгляд годен к сохранению. Ссылка на комментарий
Ангеланя Опубликовано 13 февраля, 2015 Автор Поделиться Опубликовано 13 февраля, 2015 Для начала прекратите сыпать обвинениями на всех подряд. Первый снимок сделан в прямой проекции, а второй под углом сверху, отсюда и разница. На последнем снимке вообще ничего не видно, он не информативен. Хотите разобраться и быть уверенной идите к хорошему доктору, тут на форуме есть несколько докторов с Вашего городаспасибо, за ответ. Я вчера действительно погорячилась, ерунду какую-то написала, просто я очень эмоциональна, все драматизирую (даже ревела), но сейчас успокоилась. Записалась к хорошему специалисту. 1 Ссылка на комментарий
Рекомендуемые сообщения
Для публикации сообщений создайте учётную запись или авторизуйтесь
Вы должны быть пользователем, чтобы оставить комментарий
Создать аккаунт
Зарегистрируйте новый аккаунт в нашем сообществе. Это очень просто!
Регистрация нового пользователяВойти
Уже есть аккаунт? Войти в систему.
Войти