stomalolog Опубликовано 10 февраля, 2015 Поделиться Опубликовано 10 февраля, 2015 Есть пациентка, стоматолог. Имеем адентию 12. Лет 8 назад носила брекеты, планировали имплант. Ортодонты что то намудрили, корни 11 и 13 расположены рядом, снимок позже скину. После ортодонтии 4 года съемное, сейчас адгезивный мост, который периодически отпадает. Что можно придумать, если хочется и эстетики и по возможности зубы соседние не трогать. Ссылка на комментарий
Aquarius Опубликовано 10 февраля, 2015 Поделиться Опубликовано 10 февраля, 2015 (изменено) Есть пациентка, стоматолог. Имеем адентию 12. Лет 8 назад носила брекеты, планировали имплант. Ортодонты что то намудрили, корни 11 и 13 расположены рядом, снимок позже скину. После ортодонтии 4 года съемное, сейчас адгезивный мост, который периодически отпадает. Что можно придумать, если хочется и эстетики и по возможности зубы соседние не трогать.Какое расстояние до корней по вертикали? Судя по всему короткий имплант, диаметром 3,3-3,4 пойдет. Правда про сосочки можно забыть. Саша Чертков выкладывал подобную работу, поищите Изменено 10 февраля, 2015 пользователем Aquarius Ссылка на комментарий
Чертков Александр Опубликовано 10 февраля, 2015 Поделиться Опубликовано 10 февраля, 2015 Повторное орто или мост. Другого не придумать. Ссылка на комментарий
Aquarius Опубликовано 10 февраля, 2015 Поделиться Опубликовано 10 февраля, 2015 (изменено) Повторное орто или мост. Другого не придумать.Саш, а у твоей пациентки там все нормально же вроде было с ангуляцией корней? Изменено 10 февраля, 2015 пользователем Aquarius Ссылка на комментарий
Чертков Александр Опубликовано 10 февраля, 2015 Поделиться Опубликовано 10 февраля, 2015 Артем, тут даже 3 мм имплант "опасно" ставить (я примерно представляю что там на рентгене...есть такая пациентка у меня). В своем кейсе мы с пациенткой "пошли" на понтик. Ссылка на комментарий
stomalolog Опубликовано 10 февраля, 2015 Автор Поделиться Опубликовано 10 февраля, 2015 Орто не хочет. По поводу моста, был такой вариант, единственное жалко зубы, и 11 не хочет совсем трогать, а консоль меня не устраивает уже.Дальше про имплант, на днях сделаю 3д, может ситуация прояснится.Можно подробнее про понтик? Адгезивный мост хватает на 1-1,5 года, потом протирается лента в области клыка. Ссылка на комментарий
Чертков Александр Опубликовано 10 февраля, 2015 Поделиться Опубликовано 10 февраля, 2015 Орто не хочет. По поводу моста, был такой вариант, единственное жалко зубы, и 11 не хочет совсем трогать, а консоль меня не устраивает уже.Дальше про имплант, на днях сделаю 3д, может ситуация прояснится.Можно подробнее про понтик? Адгезивный мост хватает на 1-1,5 года, потом протирается лента в области клыка.Тогда точно повторное орто. Понтик "ломать" будет. Ссылка на комментарий
Евгений Ходыкин Опубликовано 10 февраля, 2015 Поделиться Опубликовано 10 февраля, 2015 Слимы 2.0, 2.5 мм думаете тоже не вариант? Хотя на них эстетика не фонтан канеш будет Ссылка на комментарий
Евгений Ходыкин Опубликовано 10 февраля, 2015 Поделиться Опубликовано 10 февраля, 2015 Ну и в догонку. Если место всё-таки позволяет 3.0 хотя бы, дабы не промахнуться - навигация в помощь Ссылка на комментарий
Чертков Александр Опубликовано 10 февраля, 2015 Поделиться Опубликовано 10 февраля, 2015 Ну тогда рентген для начала....хотя бы... 1 Ссылка на комментарий
-SAE-Dantist_32 Опубликовано 10 февраля, 2015 Поделиться Опубликовано 10 февраля, 2015 здравия желаю парни,нейлоновый микро протез?хоть временно пока?не -не хочет? Ссылка на комментарий
stomalolog Опубликовано 12 февраля, 2015 Автор Поделиться Опубликовано 12 февраля, 2015 Ну тогда рентген для начала....хотя бы...Я 3д или рентген сделаю скину. Нейлоновый при десневой улыбке видно будет, не? Ссылка на комментарий
Чертков Александр Опубликовано 12 февраля, 2015 Поделиться Опубликовано 12 февраля, 2015 Вот ведь "космическая мысль"...буквально сегодня пришла пациентка от коллеги ортодонта. Ситуация один в один, между коронками 4-5 мм, а между корней в области верхушек - 1,5 мм! Точно не решили, но предположительно Имакс адгезивно минимальным препом по небной поверхности. Ссылка на комментарий
Чертков Александр Опубликовано 12 февраля, 2015 Поделиться Опубликовано 12 февраля, 2015 Я 3д или рентген сделаю скину.Нейлоновый при десневой улыбке видно будет, не? будет Ссылка на комментарий
stomalolog Опубликовано 13 февраля, 2015 Автор Поделиться Опубликовано 13 февраля, 2015 Вот ведь "космическая мысль"...буквально сегодня пришла пациентка от коллеги ортодонта. Ситуация один в один, между коронками 4-5 мм, а между корней в области верхушек - 1,5 мм! Точно не решили, но предположительно Имакс адгезивно минимальным препом по небной поверхности.МожнО кратко описать технологию? Это типа моста получится? Ссылка на комментарий
Чертков Александр Опубликовано 13 февраля, 2015 Поделиться Опубликовано 13 февраля, 2015 Да, типа Мэрилэнд. Вариант не окончательный, модели еще не готовы. Ссылка на комментарий
ходок Опубликовано 13 февраля, 2015 Поделиться Опубликовано 13 февраля, 2015 Вот ведь "космическая мысль"...буквально сегодня пришла пациентка от коллеги ортодонта. Ситуация один в один, между коронками 4-5 мм, а между корней в области верхушек - 1,5 мм! Точно не решили, но предположительно Имакс адгезивно минимальным препом по небной поверхности.идея ясна, но сломает, тем более e-max 1 Ссылка на комментарий
chernov Опубликовано 16 февраля, 2015 Поделиться Опубликовано 16 февраля, 2015 не сломает,если боксом не занимается!Есть наблюдения 2года и 1,5 года.Просчитали площадь сечения на промежуточной части-хватило.Только препарирование(минимальное)было не с нёбной стороны,а с вестибуляроной,по типу виниров.если интересно,могу вызвать на осмотр и сделать фото... Ссылка на комментарий
Чертков Александр Опубликовано 16 февраля, 2015 Поделиться Опубликовано 16 февраля, 2015 не сломает,если боксом не занимается!Есть наблюдения 2года и 1,5 года.Просчитали площадь сечения на промежуточной части-хватило.Только препарирование(минимальное)было не с нёбной стороны,а с вестибуляроной,по типу виниров.если интересно,могу вызвать на осмотр и сделать фото...Интересно. Если Вас не затруднит... 1 Ссылка на комментарий
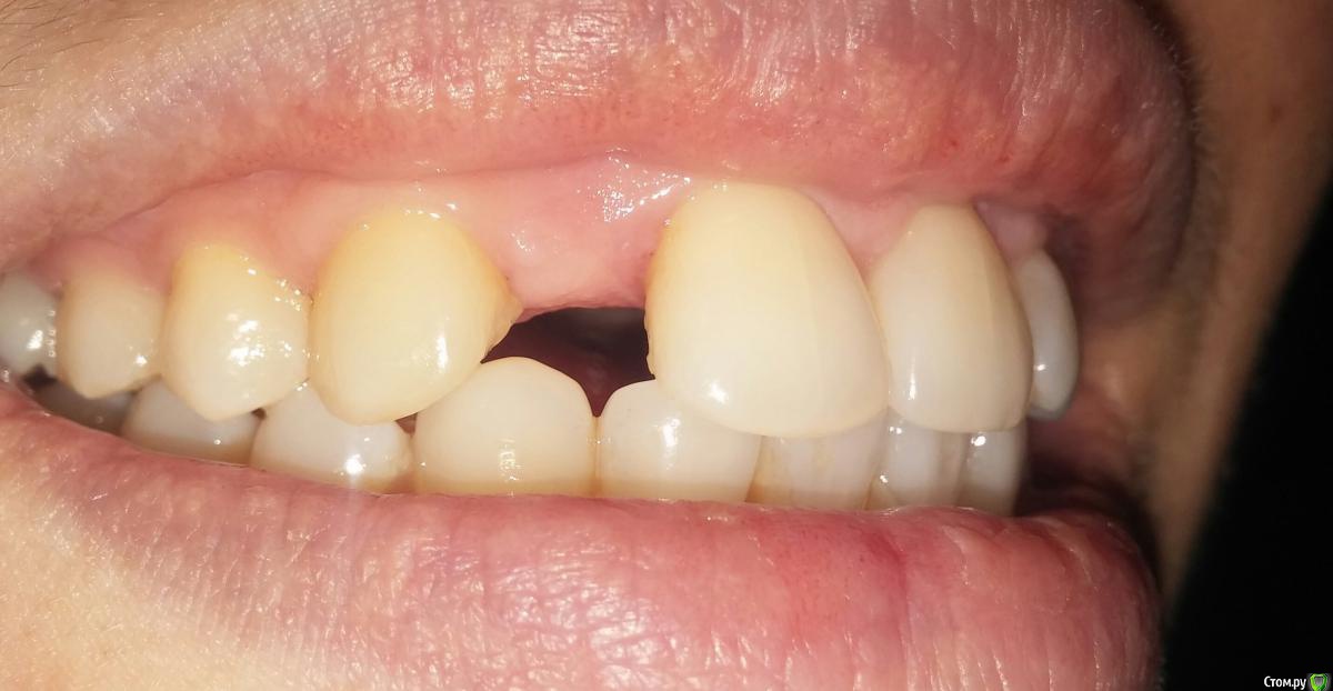
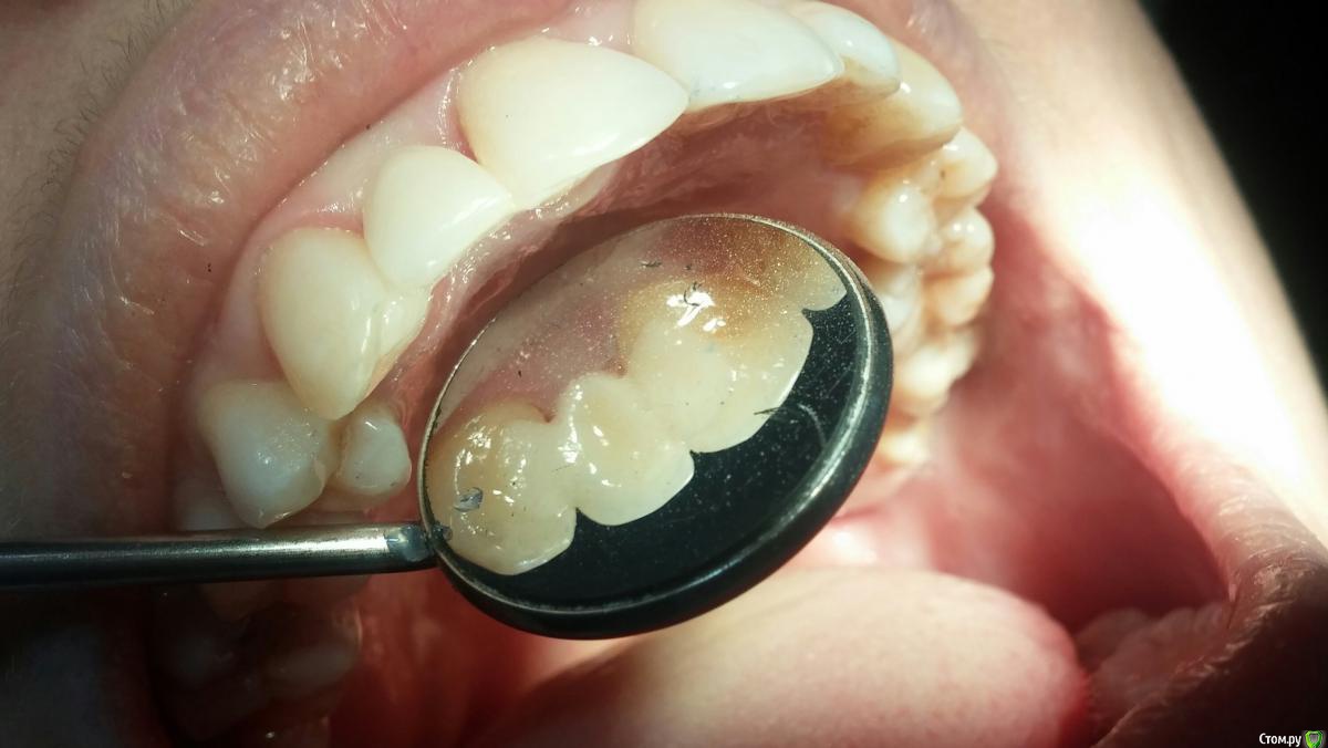
stomalolog Опубликовано 27 февраля, 2015 Автор Поделиться Опубликовано 27 февраля, 2015 (изменено) Есть пациентка, стоматолог. Имеем адентию 12. Лет 8 назад носила брекеты, планировали имплант. Ортодонты что то намудрили, корни 11 и 13 расположены рядом, снимок позже скину. После ортодонтии 4 года съемное, сейчас адгезивный мост, который периодически отпадает. Что можно придумать, если хочется и эстетики и по возможности зубы соседние не трогать.В общем решили эксперимент провести. По небной минимальный преп на 13 и 11, cad-cam emax, на таких, импровизированых крылышках) Плюс бором овоид пытаемся сформировать, правда ее там очень мало. Уже е-макс и отожмем. Как зафиксирую, сфоткаю. Изменено 27 февраля, 2015 пользователем stomalolog Ссылка на комментарий
Dr.Zoom Опубликовано 27 февраля, 2015 Поделиться Опубликовано 27 февраля, 2015 Клык поставить на место 2ки, тем более что корень уже там и на место клыка нормальный винт. Из клыка двойка получается прекрастно)) Ссылка на комментарий
Dr.Zoom Опубликовано 27 февраля, 2015 Поделиться Опубликовано 27 февраля, 2015 (изменено) как-то так Изменено 27 февраля, 2015 пользователем Dr.Zoom Ссылка на комментарий
stomalolog Опубликовано 28 февраля, 2015 Автор Поделиться Опубликовано 28 февраля, 2015 Клык поставить на место 2ки, тем более что корень уже там и на место клыка нормальный винт. Из клыка двойка получается прекрастно))Да, это был бы идеальный вариант, но пациент сама доктор, и не мотивирована. Ссылка на комментарий
Dr.Zoom Опубликовано 28 февраля, 2015 Поделиться Опубликовано 28 февраля, 2015 Если сама доктор, то дожна понимать, что даже минимальный преп хуже в перспективе))) Ссылка на комментарий
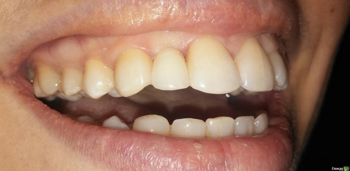
stomalolog Опубликовано 6 марта, 2015 Автор Поделиться Опубликовано 6 марта, 2015 Вчера зафиксировал работу, вариолинк. Посмотрим как себя поведет. Сорри за качество фото Ссылка на комментарий
Рекомендуемые сообщения
Для публикации сообщений создайте учётную запись или авторизуйтесь
Вы должны быть пользователем, чтобы оставить комментарий
Создать аккаунт
Зарегистрируйте новый аккаунт в нашем сообществе. Это очень просто!
Регистрация нового пользователяВойти
Уже есть аккаунт? Войти в систему.
Войти