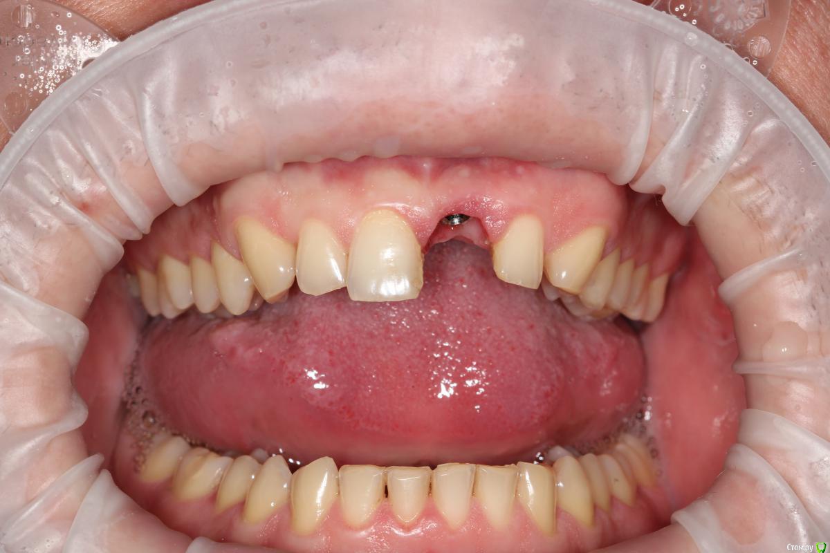
Популярный пост Mane Опубликовано 8 февраля, 2015 Популярный пост Поделиться Опубликовано 8 февраля, 2015 Зафиксировал в субботу. Собственно удалось размоделировать десну просто временной коронкой с заданным профилем прорезывания. Но для этого необходимо было выполнить ряд условий. Каких, доктора? http://i1218.photobucket.com/albums/dd412/Edikn73/emergence%20profile/Emergenceprofile001_zps040f2603.jpg http://i1218.photobucket.com/albums/dd412/Edikn73/emergence%20profile/Emergenceprofile002_zpsaa7acb0b.jpg http://i1218.photobucket.com/albums/dd412/Edikn73/emergence%20profile/Emergenceprofile003_zps259f0885.jpg http://i1218.photobucket.com/albums/dd412/Edikn73/emergence%20profile/Emergenceprofile004_zps6a15b901.jpg http://i1218.photobucket.com/albums/dd412/Edikn73/emergence%20profile/Emergenceprofile005_zps51a41bc2.jpg http://i1218.photobucket.com/albums/dd412/Edikn73/emergence%20profile/Emergenceprofile006_zps3c83a34d.jpg http://i1218.photobucket.com/albums/dd412/Edikn73/emergence%20profile/Emergenceprofile007_zpsba4d3d78.jpg 26 Ссылка на комментарий
carloss Опубликовано 8 февраля, 2015 Поделиться Опубликовано 8 февраля, 2015 (изменено) хорошо)) немного спорен правда дизайн вкладки вестибулярное, восстановленный контакт между зубами)) а абатмент литой или фрезеруемый.. в смысле есть уверенность в точности соединения с имплантатом? Изменено 8 февраля, 2015 пользователем carloss 1 Ссылка на комментарий
M@estro Опубликовано 8 февраля, 2015 Поделиться Опубликовано 8 февраля, 2015 классная работа, Эд ! 3 Ссылка на комментарий
komar56 Опубликовано 8 февраля, 2015 Поделиться Опубликовано 8 февраля, 2015 Отлично! 1 Ссылка на комментарий
Mane Опубликовано 8 февраля, 2015 Автор Поделиться Опубликовано 8 февраля, 2015 хорошо)) немного спорен правда дизайн вкладки вестибулярное, восстановленный контакт между зубами)) а абатмент литой или фрезеруемый.. в смысле есть уверенность в точности соединения с имплантатом? фрезеруемый цельный одним куском вместе с внутриимплантной частью. есть уверенность. спасибо Ссылка на комментарий
Mane Опубликовано 8 февраля, 2015 Автор Поделиться Опубликовано 8 февраля, 2015 классная работа, Эд !спс Ссылка на комментарий
Mane Опубликовано 8 февраля, 2015 Автор Поделиться Опубликовано 8 февраля, 2015 Отлично! спс Отлично! 1 Ссылка на комментарий
-SAE-Dantist_32 Опубликовано 8 февраля, 2015 Поделиться Опубликовано 8 февраля, 2015 Здравия желаю парни,прелестно 1 Ссылка на комментарий
Dmitriy84 Опубликовано 8 февраля, 2015 Поделиться Опубликовано 8 февраля, 2015 хорошо)) немного спорен правда дизайн вкладки вестибулярное..Для лучшей эстетики. Ссылка на комментарий
SDC Опубликовано 8 февраля, 2015 Поделиться Опубликовано 8 февраля, 2015 (изменено) Собственно удалось размоделировать десну просто временной коронкой с заданным профилем прорезывания. Но для этого необходимо было выполнить ряд условий. Каких, доктора? Снять слепок, черкануть на наряде и позвонить в лабу.)) Все, что ниже - детали. А в следующий раз надо завернуть на переделку вкладку с пятым бугорком смоделированным дистально и фиссуры вестибулярная и лингвильная не должны стремиться друг к другу по кратчайшему пути )) - окклюзионная пропеллером смоделирована.И еще бы фиссуры на 7-м я бы завернул заодно - хорош красить кариес - так нам не продать тотал )))) Надо как на 4-м зубе, не больше Надеюсь, что на пользу P.S. И для протокола прицельный в стандартной проекции Изменено 8 февраля, 2015 пользователем SDC Ссылка на комментарий
SDC Опубликовано 8 февраля, 2015 Поделиться Опубликовано 8 февраля, 2015 (изменено) Собственно, удалось размоделировать десну просто временной коронкой с заданным профилем прорезывания.Сорри, можно пару слов об иных способах? (индивидуализированный ФДМ пропустим) P.S. c днем стоматолога! Изменено 8 февраля, 2015 пользователем SDC Ссылка на комментарий
dent-a Опубликовано 9 февраля, 2015 Поделиться Опубликовано 9 февраля, 2015 фрезеруемый цельный одним куском вместе с внутриимплантной частью. есть уверенность. спасибоЭдуард, вопрос не по теме, если можно, с какой лабораторией работаете Вы/Клиника ? Ссылка на комментарий
Dr.Sham Опубликовано 9 февраля, 2015 Поделиться Опубликовано 9 февраля, 2015 после курса по формообразованию тоже первым делом бросился в глаза пятый бугор на моляре, прокрутил наверх, изначально четыре). Так же после курса по микропротезированию (очень догматичный был курс), только время рассудит, кто прав, а кто нет, но интересны окклюзионные контакты и ведения.По поводу профиля прорезывание интересен Ваш протокол. Менялся ли ФДМ на более широкий, делались ли насечки на десне во время фиксации времяхи? Ссылка на комментарий
Mane Опубликовано 10 февраля, 2015 Автор Поделиться Опубликовано 10 февраля, 2015 По поводу профиля прорезывание интересен Ваш протокол. Менялся ли ФДМ на более широкий, делались ли насечки на десне во время фиксации времяхи? Во первых - это заглубление платформы импланта - от будущего зенита до платформы - 3,5 мм . если этого не сделать - ничего не полуитсяпосле тонкого фдм зафиксировал временную коронку с небольшим надрезом по контактам. отдыхала с времянкой 1,5 мес.далее вы видели 1 Ссылка на комментарий
Evikrol Опубликовано 10 февраля, 2015 Поделиться Опубликовано 10 февраля, 2015 Что значит "надрез по контактам" это как? Ссылка на комментарий
Евгений Ходыкин Опубликовано 10 февраля, 2015 Поделиться Опубликовано 10 февраля, 2015 Что значит "надрез по контактам" это как?Это когда у вас манжета десневая достаточно высокая от платформы имплантата, чтобы не создавать лишней ишемии при установке временной коронки, да и банально чтобы села, делаются послабляющие разрезы. На н.ч. апроксимально. 3 Ссылка на комментарий
Mane Опубликовано 10 февраля, 2015 Автор Поделиться Опубликовано 10 февраля, 2015 Это когда у вас манжета десневая достаточно высокая от платформы имплантата, чтобы не создавать лишней ишемии при установке временной коронки, да и банально чтобы села, делаются послабляющие разрезы. На н.ч. апроксимально.верно Ссылка на комментарий
Dr.Sham Опубликовано 10 февраля, 2015 Поделиться Опубликовано 10 февраля, 2015 как раз хотел спросить, какой должна быть высота десны, чтобы мы из 4 мм имплантата вывели 10-12 мм коронку с оптимальным дизайном поддесневой части. если есть переключение, то еще глубже, например, на анкилосе 2,5 мм, ведь так? а кератинизированной сколько должно быть? Ссылка на комментарий
Dr.Sham Опубликовано 11 февраля, 2015 Поделиться Опубликовано 11 февраля, 2015 На анкилосе я имел в виду 2.5 мм диаметр внутриимплантной части абатмента, соответственно, заглубляем плюс еще на 1мм относительно зенита, итого 4.5? И учитываем, что при этом он должен быть субкрестально.Эдуард, а как техник моделирует времяху, ведь десна же ы объеме не увеличивается, а "разжимается" времяхой. При этом зенит по идее должен сместиться апикальнее. или чего-то не понимаю? Т.е. как тхник решает, где будеь экватор, где шейка коронки, на каком уровне вообще видимая часть коронки заканчивается? Или он делает в соответствии с планируемым зенитом зуб (например, относительно соседнего зуба), а далее под десной плавно уодит широкую клронку к узкому импланту. А если есть убыль кости по вертикали и соседний зуб не будет ориентиром... немного недопонимаю. Разъясните, плиз, какие рекомендации даете технику. Спасибо. сорри за опечатки. Ссылка на комментарий
Ibulat_1986 Опубликовано 16 февраля, 2015 Поделиться Опубликовано 16 февраля, 2015 хорошая работа, Эдуард. Как я понял уступ на абатменте субгингивальный, насколько глубоко вы делаете такие уступы? Ссылка на комментарий
artemov Опубликовано 19 февраля, 2015 Поделиться Опубликовано 19 февраля, 2015 Здорово! Дабы не создавать новую тему, добавлю пару фото. Тоже без пластики десны, тоже субкрестально, только временные коронки! Толстый биотип решает 4 Ссылка на комментарий
Dr.Sham Опубликовано 20 февраля, 2015 Поделиться Опубликовано 20 февраля, 2015 Врачи, ответьте, плиз, на вопоосы выше. Какие д.б.исходники, кроме 3.5 мм? Ссылка на комментарий
Евгений Ходыкин Опубликовано 20 февраля, 2015 Поделиться Опубликовано 20 февраля, 2015 Врачи, ответьте, плиз, на вопоосы выше. Какие д.б.исходники, кроме 3.5 мм?3.5 мм, как уже было сказано, это идеальное расстояние от зенита будущей реставрации до платформы имплантата. Но, как показывает практика, это, к сожалению, не всегда достижимо. Поэтому лучше всё-таки делать десневую аугментацию для максимального нивелирования возможных расхождений. имхо... 2 Ссылка на комментарий
Dmitriy84 Опубликовано 20 февраля, 2015 Поделиться Опубликовано 20 февраля, 2015 (изменено) Мясо! Просто много мяса) и платформа по центру. Если проще) Изменено 20 февраля, 2015 пользователем Dmitriy84 Ссылка на комментарий
Ibulat_1986 Опубликовано 23 февраля, 2015 Поделиться Опубликовано 23 февраля, 2015 (изменено) Толстый решала! Изменено 23 февраля, 2015 пользователем Ibulat_1986 Ссылка на комментарий
Рекомендуемые сообщения
Для публикации сообщений создайте учётную запись или авторизуйтесь
Вы должны быть пользователем, чтобы оставить комментарий
Создать аккаунт
Зарегистрируйте новый аккаунт в нашем сообществе. Это очень просто!
Регистрация нового пользователяВойти
Уже есть аккаунт? Войти в систему.
Войти