Loaa Опубликовано 7 февраля, 2015 Поделиться Опубликовано 7 февраля, 2015 Добрый день. Вчера мне удали зуб. Сразу обмолвлюсь, что у меня дикий страх, который граничит с фобией, потому не сочтите мои вопросы слишком глупыми. =) Краткая предыстория: Был зуб, левая семерка. В далеком прошлом запломбирован, а года 3-4 назад раскрошившийся. Значению не предавала до недавнего времени (он, к информации, тихими темпами был раскрошен на 1/3 и чернючий внутри). В очередной раз, после еды, доставала оттуда зубочисткой попавший кусочек пищи. И зуб начал кровить. С истерикой в душе поняла, что нужно идти лечить.Пошла в частную клинику, сразу к хирургу. Сделали панорамный снимок (откуда я узнала, что у меня только один зуб мудрости, да и еще ровный такой, что врач сказал, что мне необычайно повезло =) ), показали ортопеду - да, восстановлению не подлежит, только удаление. Со слезами на глазах и медведем на коленях (мне почти 22 ...) мне его удалили. Спасибо большое хирургу, поддержал меня и понимал мои эмоции. Доктор дал рекомендации, сказал, какие таблетки принимать, дал лед и отпустил. В общем, в чем суть. Вчера я рассматривала лунку, она была больше, чем на фото ниже и был сгусток. Сегодня вот такая картина, сгустка нет и непонятно что это такое страшное и белое внутри. Ела йогурты без добавок, пюрешки детские, яйцо вареное утром скушала, пила теплый чай и заваренную в пакетиках ромашку. Зубы чистила утром, но аккуратно, дабы не задеть "дыру". Курю, менее полпачки в день.Десна побаливает только при нажатии на щеку, есть несущественный дискомфорт, редкими временами есть недлительные болевые ощущения в месте удаления, весь день спала и температура 37-37,2.Ниже прикрепила фото (ну, насколько смогла рот открыть). В чем суть вопросов. 1) Нормально ли это? Может ли это быть фибрин или это кость/гной/осколок и надо срочно бежать к стоматологу, дабы не стало хуже? 2) С доктором обговаривался вариант прийти на консультацию спустя два месяца по поводу имплантов. Обязательно ли он нужен? Насмотрелась этих шурупов в интернете, теперь паника... 3) Так же поднялся вопрос по поводу "начинающегося парадонтита" (вроде как). Ну бывает, что при чистке (не всегда конечно) из десны идет кровь. Мне сказали, нужно проводить гигиену полости рта в стоматологии каждые полгода. Что еще неплохо было бы поделать, кроме гигиены, чистки зубов и полоскания жидкостями для рта? 1 Ссылка на комментарий
diesel87 Опубликовано 7 февраля, 2015 Поделиться Опубликовано 7 февраля, 2015 Не надо паниковать:1. Суды по вашему рассказу у вас заживает хорошо2. Имплант с коронкой на нем для вас было бы желательно3. Профгигиена раз в пол года, самостоятельно проводить дома гигиену, щетка, паста, ирригатор вам в помощь. 2 Ссылка на комментарий
SDC Опубликовано 7 февраля, 2015 Поделиться Опубликовано 7 февраля, 2015 А снимок выложите?И не курите больше 3 Ссылка на комментарий
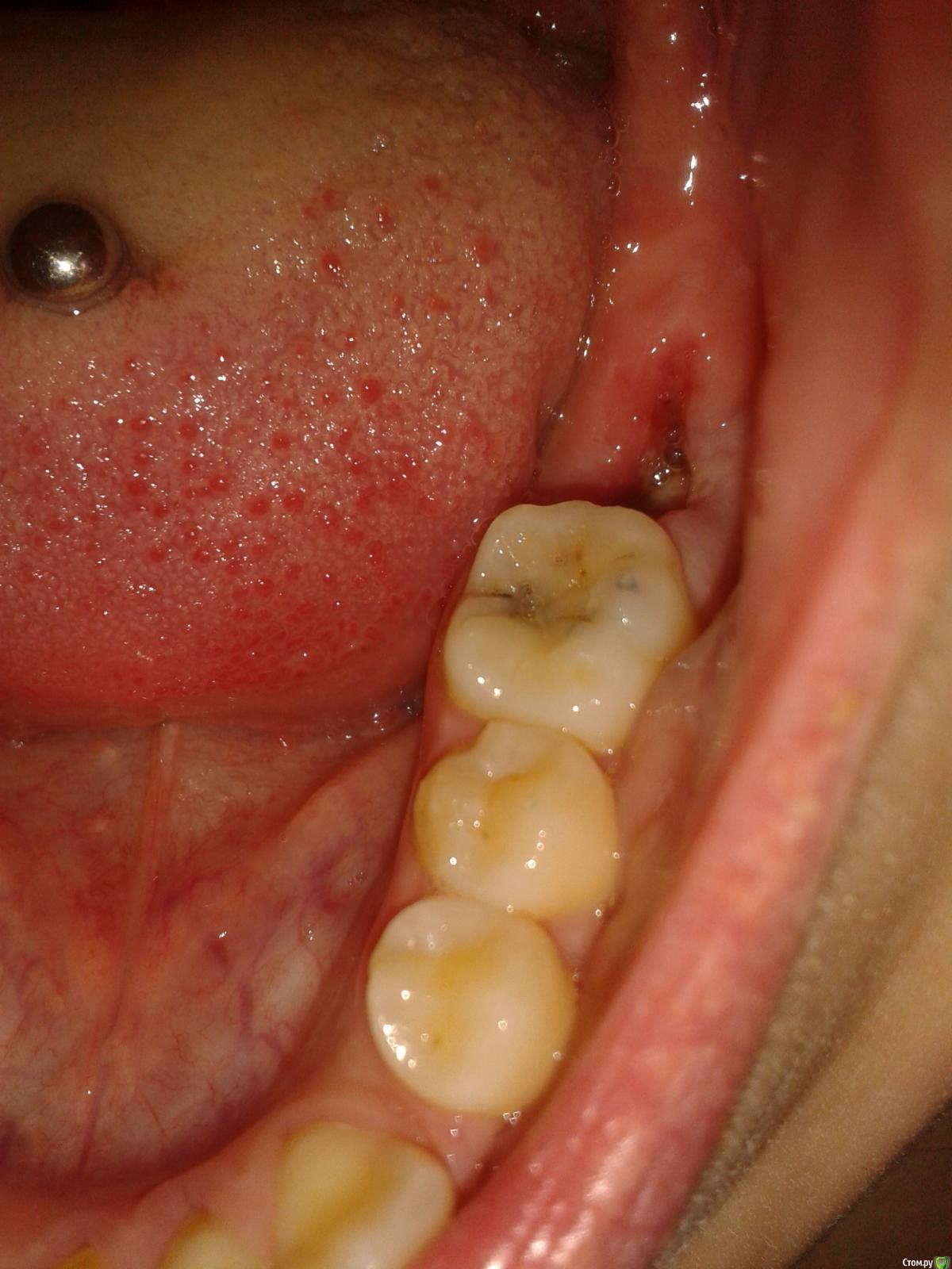
Loaa Опубликовано 7 февраля, 2015 Автор Поделиться Опубликовано 7 февраля, 2015 (изменено) Спасибо за уделенное время!Не надо паниковать:1. Суды по вашему рассказу у вас заживает хорошо2. Имплант с коронкой на нем для вас было бы желательно3. Профгигиена раз в пол года, самостоятельно проводить дома гигиену, щетка, паста, ирригатор вам в помощь.Уже вроде и не так страшно =) Профилактикой буду обязательно заниматься. А снимок выложите?И не курите больше Курение в процессе бросания =)Снимок выложу конечно, завтра запрос в клинике сделаю. Только вопрос остался - что это такое белое? Оно сейчас еще больше в лунке по моему стало =) Изменено 7 февраля, 2015 пользователем Loaa Ссылка на комментарий
Loaa Опубликовано 8 февраля, 2015 Автор Поделиться Опубликовано 8 февраля, 2015 Определено, образование стало больше и ярче намного. =( Ссылка на комментарий
Рытов Станислав Опубликовано 8 февраля, 2015 Поделиться Опубликовано 8 февраля, 2015 Только вопрос остался - что это такое белое? Оно сейчас еще больше в лунке по моему стало =)это фибрин все нормальноот пирсинга языка лучше избавиться 2 Ссылка на комментарий
Loaa Опубликовано 8 февраля, 2015 Автор Поделиться Опубликовано 8 февраля, 2015 это фибрин все нормальноот пирсинга языка лучше избавиться Спасибо большое =)Я приму к сведению.А в целом, ношение этого чем-то опасным чревато? Серьга мед.сталь, должный уход присутствует. Ссылка на комментарий
Рекомендуемые сообщения
Для публикации сообщений создайте учётную запись или авторизуйтесь
Вы должны быть пользователем, чтобы оставить комментарий
Создать аккаунт
Зарегистрируйте новый аккаунт в нашем сообществе. Это очень просто!
Регистрация нового пользователяВойти
Уже есть аккаунт? Войти в систему.
Войти