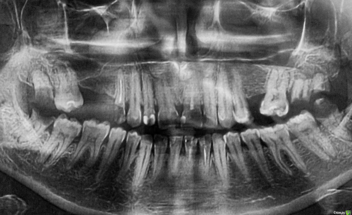
Mari475 Опубликовано 7 февраля, 2015 Поделиться Опубликовано 7 февраля, 2015 Добрый день! Помогите, пожалуйста, разобраться... Мой стоматолог сказал, что надо ставить мост на 4 верхних резца, а когда пригласили протезиста, он сказал, что надо делать дугу "от 6 до 6"... К слову: 21 зуб удалили. Сказали, что надо удалять еще 6 зубов (4 верхних и 2 нижних). Знаю, что зубы плохие и сама в этом виновата, но в данный момент не понимаю, как должно быть правильно, если действительно надо дугу ставить, то буду ставить. Заранее спасибо за ответ/совет! Ссылка на комментарий
SDC Опубликовано 7 февраля, 2015 Поделиться Опубликовано 7 февраля, 2015 Если рядом стоящие зубы не нуждаются в протезировании, то лучим решением будет имплантация и протезирование на имплантате, без протезирования коронками соседних зубов. Ссылка на комментарий
Mari475 Опубликовано 7 февраля, 2015 Автор Поделиться Опубликовано 7 февраля, 2015 Если рядом стоящие зубы не нуждаются в протезировании, то лучим решением будет имплантация и протезирование на имплантате, без протезирования коронками соседних зубов.Спасибо за совет! Я обсужу такой вариант со своим доктором. Ссылка на комментарий
Рекомендуемые сообщения
Для публикации сообщений создайте учётную запись или авторизуйтесь
Вы должны быть пользователем, чтобы оставить комментарий
Создать аккаунт
Зарегистрируйте новый аккаунт в нашем сообществе. Это очень просто!
Регистрация нового пользователяВойти
Уже есть аккаунт? Войти в систему.
Войти