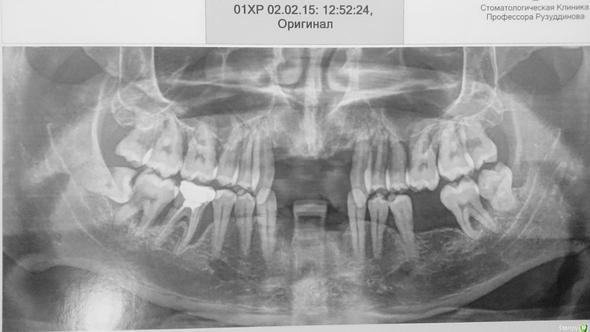
Vla Опубликовано 5 февраля, 2015 Поделиться Опубликовано 5 февраля, 2015 Именно такой диагноз поставил мне стоматолог в одном провинциальном городе Казахстана.У меня запущенный парадонтоз. Зубы практически все подвижные. Пару недель назад мне их подвигали так, что восемь передних ушло. Поехал в Алматы на консультацию. Врач смотрел мне в рот и говорил, что все очень плохо, а я смотрел в его глаза и видел там $$$. Вердикт следующий: удаление всех зубов, синус везде из-за плачевного состояния кости, 15 имплантов и протезирование. За все объявил 15000$. Я не горю желанием ремонтировать зубы в Казахстане, но местные жители утверждают, что цены на стоматологию у них не высокие. Сам Я из Москвы и собираюсь в скором времени вернутьсяУважаемые форумчане у меня к Вам несколько вопросов.1. Реально ли подчиниться в Москве за эту сумму [15000$]?2. Есть ли альтернативный план лечения? 3. И очень бы хотелось попасть к профессионалу, ибо мой случай "интересный". Посоветуйте... Ссылка на комментарий
SDC Опубликовано 5 февраля, 2015 Поделиться Опубликовано 5 февраля, 2015 Сколько Вам лет? Ссылка на комментарий
Vla Опубликовано 5 февраля, 2015 Автор Поделиться Опубликовано 5 февраля, 2015 41 Ссылка на комментарий
SDC Опубликовано 5 февраля, 2015 Поделиться Опубликовано 5 февраля, 2015 (изменено) 41Как Вы оцениваете уровень личной гигигены полости рта и что об этом же говорят стоматологи? Чем и зачем двигали зубы? Изменено 5 февраля, 2015 пользователем SDC Ссылка на комментарий
Vla Опубликовано 5 февраля, 2015 Автор Поделиться Опубликовано 5 февраля, 2015 Даже и не знаю как оценить. Наверное нормальный. Зубы то все целые и хорошие были и стоматолог так говорил. Единственная пломба была сделана первый раз еще в школе, а потом переделана лет 10 назад. А жевательный зуб был удален год назад из-за воспаления и опухоли десныПередние же зубы мне подвигали руками и ногами в ночном клубе Ссылка на комментарий
SDC Опубликовано 5 февраля, 2015 Поделиться Опубликовано 5 февраля, 2015 Количество кариозных зубов обратно пропорционально глубине пародонтальных карманов и поэтому не рассматривается, как ориентир для определения уровня гигиены. Ссылка на комментарий
Bier Опубликовано 5 февраля, 2015 Поделиться Опубликовано 5 февраля, 2015 В 15000 не уложитесь даже с новым курсом доллара, разве что с условно несъемными протезами. Рассчитывайте на 1,5-2 млн рублей в Москве 1 Ссылка на комментарий
Alejandro Опубликовано 6 февраля, 2015 Поделиться Опубликовано 6 февраля, 2015 Хроническими заболеваниями страдаете? Ссылка на комментарий
Рытов Станислав Опубликовано 6 февраля, 2015 Поделиться Опубликовано 6 февраля, 2015 вы потом планируете в Казахстан ездить , если возникнут проблемы.Делайте там где проживаете. Ссылка на комментарий
Рекомендуемые сообщения
Для публикации сообщений создайте учётную запись или авторизуйтесь
Вы должны быть пользователем, чтобы оставить комментарий
Создать аккаунт
Зарегистрируйте новый аккаунт в нашем сообществе. Это очень просто!
Регистрация нового пользователяВойти
Уже есть аккаунт? Войти в систему.
Войти