vitavita Опубликовано 4 февраля, 2015 Поделиться Опубликовано 4 февраля, 2015 Начну историю о 6 зубе с самого начала. Когда то давно - лет 30 назад , в советское время мне его кто то лечил , уже не помню кто и как, школьником был. Видимо были удалены нервы. Он меня не беспокоил практически никогда. На обычных ортопанорамных снимках ничего не видно было. 11 лет назад , перед тем как ставить на него коронку , мой доктор пытался пройти каналы, удалось только у принебноого пройти а у 2-х внешних не удалось . Долго пытался , сверла грелись и изнашивались. Сказал что материал там как стекло. Что если когда нибудь заболит то надо будет операцию делать сбоку для резекции корней. Шло время - зуб не болел , я на него нормально жевал и жую до сих пор. Вспоминаю только как то года 3 назад очень жесткое что то попалось и поболел пару дней и прошел. Не придал значения. И вот в ноябре 2014 у меня вдруг обнаружилась киста но на 4-м верхнем левом зубе - нарвало после небольшого ударо по нему сбоку. Хотя ничего не болело. Пошел естественно к врачу . На обычном ортопанорамном снимке толком не видно было. Поэтому отправил доктор меня на томограмму по поводу 4-го зуба и заодно и 6-го , т.к. помним что каналы там не были пройдены. И вот 21 ноября сдел томограмму (если интересно https://yadi.sk/d/Th2NbfMSeULRo). И на ней увидили большую кисту за 4 зубом и кисту у 6-го. Доктор предложил мне удалить 4-й , сделать резекцию 6-го с возможным синус-лифтингом и небольшую резекцию 5-го. И все это одновременно. Напугал возможным гайморитом с очень тяжелыми последствиями. Расстроившись я пошел к другому знакомому хирургу в один из стоматологических институтов. Он предложил сразу сделать резекцию 4-го зуба . Она была удачно проведена открытым способом. 2 месяца походил с йодоформной турундой (менял каждые 10 дней) . Все практически заросло. Теперь спустя 2 месяца встал вопрос о 6 зубе- как с ним быть. Посмотрев томограмму , посоветовашись с другим врачем сказал что все таки резекцию здесь делать нецелесообразно , т.к резать придется 2 корня под корешок , от зуба мало что останется и он долго не простоит. Не жилец. Надо удалять и потом как то протезировать. Послал к терапевту - может можно пройти . Терпавт сказал что для этого надо снимать коронку , но зуб то не болит. Ситуация дурацкая. Отправили к ортопеду , тот сказал что смысла снимать коронку нет , т.к. скорее всего лучше не сделают , а мучаться мне много и никакого результата. Зуб не качается , стоит твордо. И т.к через полгода мне повторно надо будет делать томограмму из-за 4 зуба , то посмотреть динамику развития и кисты и от этого делать выводы. На этом вроде остановились. Теперь у меня 2 выхода :1. или подождать полгода и потом скорее всего удалять2. идти к другому доктору и попытаться сделать резекцию 6-гоСтоит ли бороться за зуб , который к тому же не болит ? Ссылка на комментарий
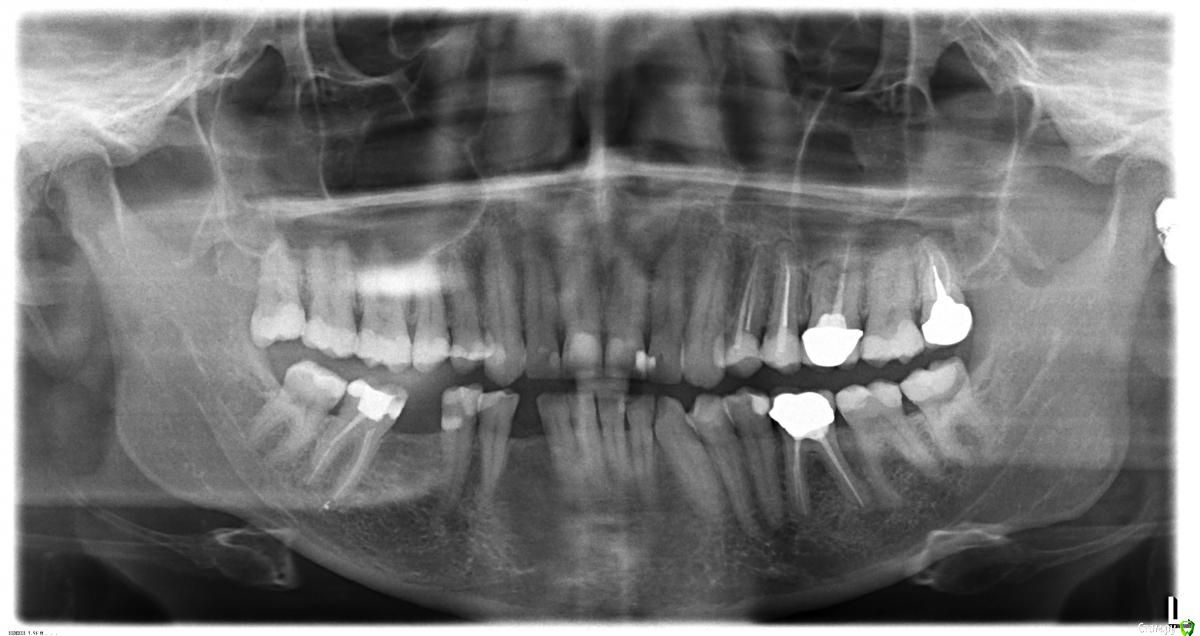
vitavita Опубликовано 5 февраля, 2015 Автор Поделиться Опубликовано 5 февраля, 2015 Вот загружаю еще панорамный снимок от 16 апреля 2014 года. Но там никакой кисты и не видно. Хотя очевидно что она там была - такие кисты за полгода не вырастают. Ссылка на комментарий
vitavita Опубликовано 5 февраля, 2015 Автор Поделиться Опубликовано 5 февраля, 2015 http://s018.radikal.ru/i502/1502/f9/d092b41cc891.jpg Ссылка на комментарий
Bier Опубликовано 7 февраля, 2015 Поделиться Опубликовано 7 февраля, 2015 Надо эндодонтически лечить все 3 зуба 1 Ссылка на комментарий
vitavita Опубликовано 8 февраля, 2015 Автор Поделиться Опубликовано 8 февраля, 2015 Надо эндодонтически лечить все 3 зуба4-ому уже резекцию сделали , удалили кисту (большая была - 1см). Вроде такого размера только операцией можно удалить. 5-й тоже поскоблили заодно, но без резекции. Все уже заросло нормально за 2 месяца. Так что с этим уже проблем никаких не должно быть. А вот с 6-м проблема - доктор 11 лет назад пытался пройти каналы , но там стекло говорит. Непроходимые. Зуб под коронкой. Чтобы проверить можно ли пройти еще раз надо снимать ее. Ортопед отсоветовал - намучитесь, а пройти скорее всего не сможете. Велел наблюдать просто. Делать же резекцию один хирург говорит не надо , т.к. зуб не проживет долго , опираться уже не на что будет. А другой все таки предлагает сделать резекцию 2 корней с вычисткой кисты.Вопрос - насколько есть вероятность все таки попробовать пройти каналы если там что то вроде стекла? Может кто то посоветует в Москве действительно хорошего эндодонтолога ? Ссылка на комментарий
Рекомендуемые сообщения
Для публикации сообщений создайте учётную запись или авторизуйтесь
Вы должны быть пользователем, чтобы оставить комментарий
Создать аккаунт
Зарегистрируйте новый аккаунт в нашем сообществе. Это очень просто!
Регистрация нового пользователяВойти
Уже есть аккаунт? Войти в систему.
Войти