Перейти к содержанию
Стоматология для всех

Протезирование + имплантация SOS


olegs777

Рекомендуемые сообщения

Уважаемы врачи, добрый день,

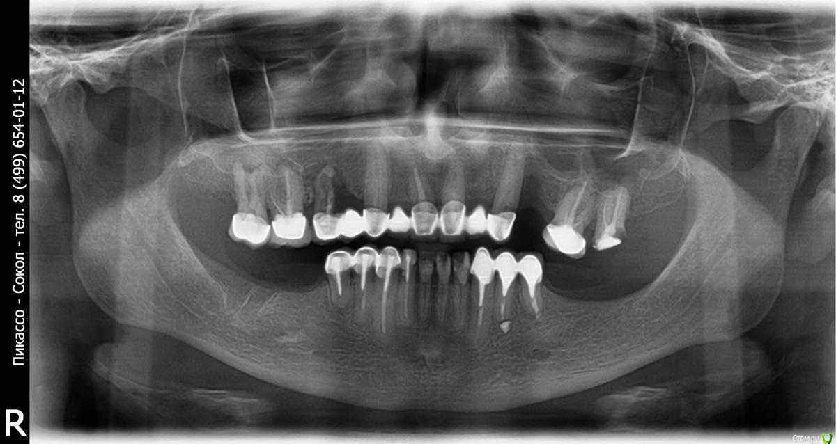
У меня в данный момент проблема с зубами и мне необходима помощь в выборе тактики протезирования. В данный момент в связи с воспалением корня зуба, у меня отпилили часть (один зуб с края) верхнего моста и удалили больной зуб. Из-за этого произошла разгерметизация соседнего зуба и мне предлагают теперь снять весь мост, хотя он у меня отлично стоит. Дырка вместо зуба удручающе выглядит...
В нижнем ряду ситуация также грустная...необходимо снять мост и перепротезировать. Во вложении мой панорамный снимок.
Помогите с тактикой лечения, боюсь остаться совсем без зубов http://forums.rusmedserv.com/images/smilies/frown.gif

 

ССылка на КТ https://yadi.sk/d/8yCNGcUZeJyBs

 

С уважением, Олег

post-41073-0-39726200-1423012304_thumb.jpg

Ссылка на комментарий

 

 

необходимо снять мост и перепротезировать.

 

необходимо снять мост и перепротезировать.

 

а если подробно:

анализ кт

все снимать

что то удалить с заменой имплантами сразу

установить импланты внизу с двух сторон

то что можно сохранить - перелечить

восстановить то что перелечили и временно запротезировать

открыть импланты с пластикой десны, временно нагрузить временными коронками

спротезировать весь рот одним махом 

Ссылка на комментарий

Для публикации сообщений создайте учётную запись или авторизуйтесь

Вы должны быть пользователем, чтобы оставить комментарий

Создать аккаунт

Зарегистрируйте новый аккаунт в нашем сообществе. Это очень просто!

Регистрация нового пользователя

Войти

Уже есть аккаунт? Войти в систему.

Войти
×
×
  • Создать...
Вверх