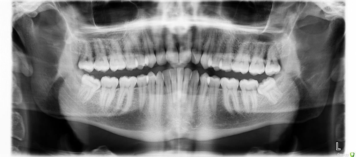
VasiliyM Опубликовано 1 февраля, 2015 Поделиться Опубликовано 1 февраля, 2015 Здравствуйте! У меня такая проблема: начали расти зубы мудрости в неправильном направлении, они растут под наклоном и упираются в зубной ряд. Давят на него, приносят болевые ощущения. Решил удалить их(нижние). Но тут есть еще такая проблема: я хочу в дальнейшем устанавливать брекеты, и у меня возникает вопрос, не требуется ли устанавливать брекеты не позднее определенного срока после удаления зубов мудрости? А то может быть после удаления зубов м. другие зубы без брекетов начнут заполнять освободившееся пространство и дальше для установки брекетов понадобится удалять нужные зубы. Подскажите пожалуйста что делать. И что вы можете еще сказать по поводу удаления зубов мудрости, насколько их необходимо удалять, и насколько это будет сложно?Панорамный снимок прилагаю прикрепленным файлом. Ссылка на комментарий
red_butler Опубликовано 2 февраля, 2015 Поделиться Опубликовано 2 февраля, 2015 удаляйте как можно скорее, на нижней челюсти слева на седьмом зубе похоже уже пульпит от мудрого Ссылка на комментарий
orthophil Опубликовано 4 февраля, 2015 Поделиться Опубликовано 4 февраля, 2015 Удаление зубов мудрости и начало ортодонтического лечения в Вашем случае не взаимосвязаны. Удаляйте сначала нижние, а потом обязательно верхние. В противном случае верхние восьмерки будут со временем опускаться и блокировать полноценное движение нижней челюсти.PS похоже и с правой нижней семеркой не все в порядке. Ссылка на комментарий
Рекомендуемые сообщения
Для публикации сообщений создайте учётную запись или авторизуйтесь
Вы должны быть пользователем, чтобы оставить комментарий
Создать аккаунт
Зарегистрируйте новый аккаунт в нашем сообществе. Это очень просто!
Регистрация нового пользователяВойти
Уже есть аккаунт? Войти в систему.
Войти