Хомячок Опубликовано 30 января, 2015 Поделиться Опубликовано 30 января, 2015 Добрый день! Очень прошу помощи, ситуация в следующем:Три года назад залечила много зубов в платной клинике. Зубы болели, лечила много.Сейчас эти же зубы начали один за другим болеть вновь. Пошла к другому врачу, вскрываем больной зуб,а там в каждом воспаление и киста. Ставили временную пломбу с лекарством, по пол года ходила меняла...Сейчас очень сильно (как никогда) заболела верхняя 7ка, тоже залеченная когда-то три года назад тем же "врачом". Доктор к которому в последнее время хожу не принимала в этот день, поэтому пошла в первую ближайшую клинику. Там мне сделали снимок, сказали "обострение хронического периодонтита, прикорневая киста, удалять". Решила не спешить удалять, пришла к своему врачу, она мне его вскрыла, оттуда пошел мерзкий запах и гной. Что-то там почистили, и так и оставили. Т.е. сейчас на зубе ничего нет, голая десна. Боль моя не уменьшилась, вот уже неделю живу на кетанове. Как только действие заканчивается, болит пол головы (висок, затылок, глаз...)В моем нынешнем враче меня смущает то, что по моим снимкам она не говорит мне что делать следующим, что перелечить, что полечить. Прихожу по факту-болит-лечим. А так чтобы увидеть и предотвратить - нет такого. Хотя, мне кажется, что перелечивать еще там очень много надо. Сейчас она мне сказала мол, посмотрим, если станет хуже - то удалять, а если нет то будем лечить как раньше (временная, менять, и тд) Мне хуже не стало, ничего не раздуло и тп, но болит все так же невыносимо. Помогите, что мне сейчас делать? Вырывать 7ку?Я слышала такое мнение, что если удалять зуб, то на его место надо обязательно что-то ставить, иначе остальные зубы "лягут" или "поедут". Правда ли это или у всех по-разному? Дело в том, что у меня сахарный диабет 1-го типа, скорее всего мне нельзя ставить имплантаты? (Диабету 7 лет, мне 25) Помогите, пожалуйста. Прошу прощения, что много написала, но я уже не могу, плачу каждый день. 25 лет, а зубы как у старого деда(((( 1 Ссылка на комментарий
IvanK Опубликовано 30 января, 2015 Поделиться Опубликовано 30 января, 2015 Снимок плохого качества.. На Форуме много классных терапевтов, сходите на очную консультацию Ссылка на комментарий
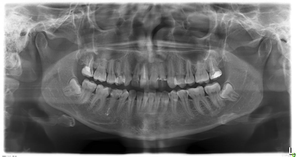
Хомячок Опубликовано 30 января, 2015 Автор Поделиться Опубликовано 30 января, 2015 За снимок отдала 700 руб, мне его распечатали на обычной бумажке, поэтому просто сфотографировала... Я пока новичок на форуме, пока не понимаю как тут врача найти Ссылка на комментарий
red_butler Опубликовано 31 января, 2015 Поделиться Опубликовано 31 января, 2015 За снимок отдала 700 руб, мне его распечатали на обычной бумажке, поэтому просто сфотографировала... Я пока новичок на форуме, пока не понимаю как тут врача найти заберите снимок в электронном виде, его могут например выслать на электронную почту 1 Ссылка на комментарий
IvanK Опубликовано 31 января, 2015 Поделиться Опубликовано 31 января, 2015 Я пока новичок на форуме, пока не понимаю как тут врача найти загляните в врачебный раздел терапии Ссылка на комментарий
Хомячок Опубликовано 31 января, 2015 Автор Поделиться Опубликовано 31 января, 2015 заберите снимок в электронном виде, его могут например выслать на электронную почту Большое спасибо, полезный совет! Я не знала, что так можно, позвонила в клинику, они мне на почту выслали снимок. Ссылка на комментарий
red_butler Опубликовано 31 января, 2015 Поделиться Опубликовано 31 января, 2015 Большое спасибо, полезный совет! Я не знала, что так можно, позвонила в клинику, они мне на почту выслали снимок. выкладывайте через радикалhttp://forum.stom.ru/topic/1640-snimok-zubov/ Ссылка на комментарий
Хомячок Опубликовано 31 января, 2015 Автор Поделиться Опубликовано 31 января, 2015 загляните в врачебный раздел терапииСпасибо, попробую. Вы мне не подскажете, как в верхнем сообщении заменить снимок на нормальный? Ссылка на комментарий
Хомячок Опубликовано 31 января, 2015 Автор Поделиться Опубликовано 31 января, 2015 выкладывайте через радикалhttp://forum.stom.ru/topic/1640-snimok-zubov/Я чуть ниже прикрепила в сообщении, так видно? Ссылка на комментарий
red_butler Опубликовано 31 января, 2015 Поделиться Опубликовано 31 января, 2015 Вы мне не подскажете, как в верхнем сообщении заменить снимок на нормальный? уже не получиться Я чуть ниже прикрепила в сообщении, так видно? так будет лучше http://s019.radikal.ru/i611/1501/a3/fabfadcebce8.jpg 2 Ссылка на комментарий
red_butler Опубликовано 31 января, 2015 Поделиться Опубликовано 31 января, 2015 Какой из седьмых зубов беспокоит? Снимок сделан уже после последнего лечения зуба? Ссылка на комментарий
Хомячок Опубликовано 31 января, 2015 Автор Поделиться Опубликовано 31 января, 2015 Спасибо)) 1 Ссылка на комментарий
Хомячок Опубликовано 31 января, 2015 Автор Поделиться Опубликовано 31 января, 2015 Какой из седьмых зубов беспокоит? Снимок сделан уже после последнего лечения зуба?Беспокоит тот, что у меня находится наверху справа. На снимке, как понимаю, он наверху слева. (если что простите, я чайник). Снимок сделан до того, как мне его вскрыли, со старой пломбой трехлетней давности. Сейчас он у меня открыт и болит(Еще беспокоит 4ка, которая у меня наверху справа, ( На снимке там временная пломба, сейчас он тоже вскрытый и там ничего нет, болит(( Ссылка на комментарий
IvanK Опубликовано 31 января, 2015 Поделиться Опубликовано 31 января, 2015 нужен новый снимок, (после лечения) - прицельный, в идеале кт Сейчас он у меня открыт это очень плохо Ищите хорошего терапевта... Ссылка на комментарий
IvanK Опубликовано 31 января, 2015 Поделиться Опубликовано 31 января, 2015 8ки нужно удалить Ссылка на комментарий
Хомячок Опубликовано 31 января, 2015 Автор Поделиться Опубликовано 31 января, 2015 нужен новый снимок, (после лечения) - прицельный, в идеале кт Просто именно после этого снимка меня отправили на удаление в ЧЛХ в 1ый мед. Типа там киста, которая уходит в гайморову пазуху. Т.е. они даже его не трогали, сразу удалять. После этого другой врач зуб вскрыла, распломбировала (?), промыла. Нужен теперь новый снимок? Я сделаю. Если можно, подскажите где в Спб сделать эту комп.томограмму?Я правильно понимаю, что по этому снимку нельзя однозначно сказать что зуб надо удалять? Ссылка на комментарий
IvanK Опубликовано 31 января, 2015 Поделиться Опубликовано 31 января, 2015 Просто именно после этого снимка меня отправили на удаление в ЧЛХ в 1ый мед. Типа там киста, которая уходит в гайморову пазуху. Т.е. они даже его не трогали, сразу удалять. После этого другой врач зуб вскрыла, распломбировала (?), промыла. Нужен теперь новый снимок? Я сделаю. Если можно, подскажите где в Спб сделать эту комп.томограмму?Я правильно понимаю, что по этому снимку нельзя однозначно сказать что зуб надо удалять? ответ в личке Ссылка на комментарий
Хомячок Опубликовано 31 января, 2015 Автор Поделиться Опубликовано 31 января, 2015 ответ в личкеБольшое спасибо! не поняла, как в лс ответить. Попробую... ))) Ссылка на комментарий
IvanK Опубликовано 6 февраля, 2015 Поделиться Опубликовано 6 февраля, 2015 Не за что. Ссылка на комментарий
Рекомендуемые сообщения
Для публикации сообщений создайте учётную запись или авторизуйтесь
Вы должны быть пользователем, чтобы оставить комментарий
Создать аккаунт
Зарегистрируйте новый аккаунт в нашем сообществе. Это очень просто!
Регистрация нового пользователяВойти
Уже есть аккаунт? Войти в систему.
Войти