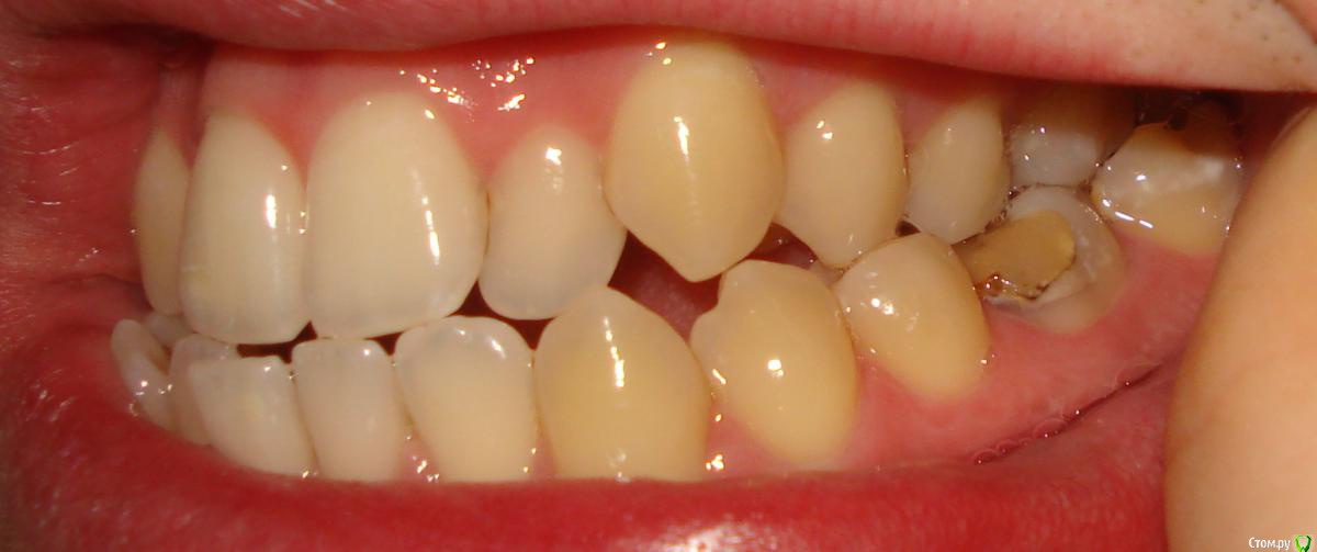
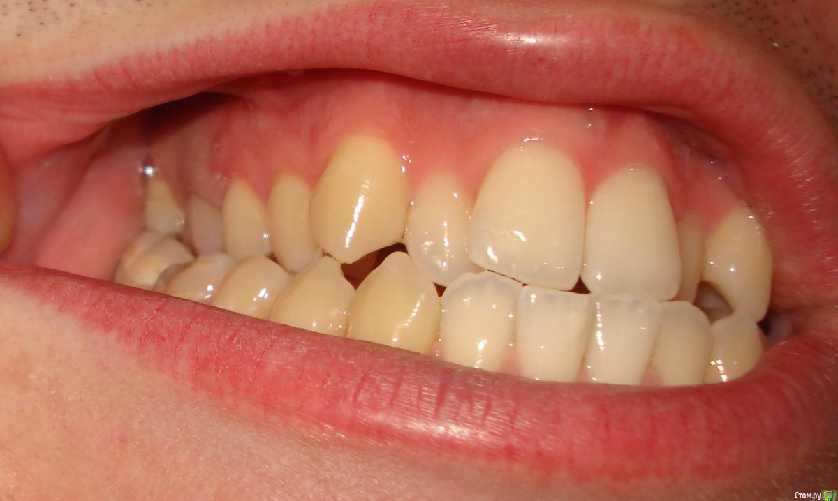
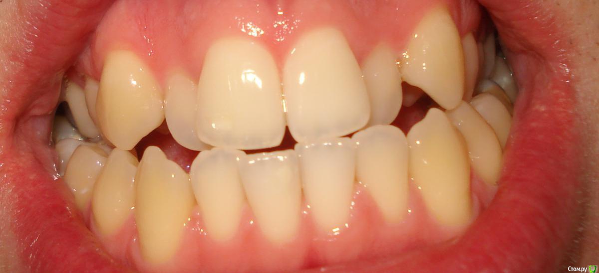
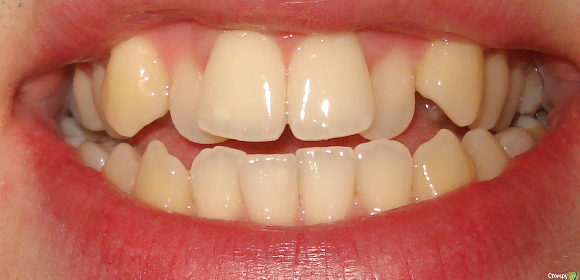
fulcrum Опубликовано 27 января, 2015 Поделиться Опубликовано 27 января, 2015 (изменено) Здравствуйте, уважаемые участники форума! Подскажите пожалуйста, можно ли более-менее подровнять зубы в данном случае? Был у ортодонта, вердикт таков: удалять 8-ки, после чего на верхнюю челюсть ставить пластину, затем брекеты на обе челюсти, чтобы нижние зубы наклонить внутрь,а верхние-наружу, с тем чтобы уместить двойки.Верен ли данный план, либо есть ещё какие-то варианты? Меня смущает конечный наклон зубов, не будет ли зубной ряд выглядеть ещё более убого, чем сейчас? Спасибо всем откликнувшимся! Изменено 27 января, 2015 пользователем fulcrum Ссылка на комментарий
m.d.n Опубликовано 28 января, 2015 Поделиться Опубликовано 28 января, 2015 Нужно больше информации- в частности снимок ТРГ и кт , кт ВНЧС , аксиография ,модели в артикулятор поставить,а также фото лица фас и профиль . лечиться вам надо при помощи брекетов - но для качественного и самое главное стабильного результата - вам нужен ортогнатический хирург и операция. для простой компенсации - очень грамотный ортодонт владеющий техникой MEAW . Тут есть на форуме нормальные специалисты. Может кто нибудь Вас возьмет.Ко мне Вам далековато будет . Ссылка на комментарий
ReaperGanzA Опубликовано 28 января, 2015 Поделиться Опубликовано 28 января, 2015 Бейте по рукам докторам которые пытаются рисовать на снимках. 2 Ссылка на комментарий
IvanK Опубликовано 28 января, 2015 Поделиться Опубликовано 28 января, 2015 Бейте по рукам докторам которые пытаются рисовать на снимках.а что тут такого? конечно, на файлике аккуратнее, но все же.. Ссылка на комментарий
fulcrum Опубликовано 28 января, 2015 Автор Поделиться Опубликовано 28 января, 2015 Спасибо всем откликнувшимся! Нужно больше информации- в частности снимок ТРГ и кт , кт ВНЧС , аксиография ,модели в артикулятор поставить,а также фото лица фас и профиль . лечиться вам надо при помощи брекетов - но для качественного и самое главное стабильного результата - вам нужен ортогнатический хирург и операция. для простой компенсации - очень грамотный ортодонт владеющий техникой MEAW . Тут есть на форуме нормальные специалисты. Может кто нибудь Вас возьмет.Ко мне Вам далековато будет . Подскажите пожалуйста поподробнее, если возможно, какого плана операция? Что она даст? А что имеется в виду под компенсацией? Простите, не силён в терминах... Мне идеала не надо, мне бы двойки по максимуму на место поставить... Нижнюю челюсть в любом случае ворошить нужно? Одной верхней не обойтись? А если не до конца двойки втискивать? Или их совсем не подвинуть без серьёзных вмешательств? Беспокоит только их положение...И вообще, возможно ли в моём случае добиться хоть какого-то улучшения? К сожалению всю доп. информацию, которую Вы просили, предоставить на данный момент не могу, но кое-что есть: http://fotoifolder.ru/thumbnail/20150128/7/p42852377_1345844_1345843.jpg http://fotoifolder.ru/thumbnail/20150128/7/p42852257_1345807_1345806.jpg http://fotoifolder.ru/thumbnail/20150128/8/p42852258_1345809_1345808.jpg http://fotoifolder.ru/thumbnail/20150128/9/p42852259_1345811_1345810.jpg http://fotoifolder.ru/thumbnail/20150128/0/p42852260_1345813_1345812.jpg Огромное спасибо за ответы! С Уважением. Ссылка на комментарий
fulcrum Опубликовано 9 февраля, 2015 Автор Поделиться Опубликовано 9 февраля, 2015 Ребята, подскажите пожалуйста, возможно ли убрать, хотябы частично, скученность на нижней челюсти, после удаления восьмёрок, не прибегая к технике MEAW? И встанут ли, на Ваш профессиональный взгляд, двойки на место, если просто наклонить единицы и тройки, хватит ли им места? Ортодонт говорит, что хватит, но хотелось бы Ваше мнение услышать. Спасибо! Ссылка на комментарий
m.d.n Опубликовано 9 февраля, 2015 Поделиться Опубликовано 9 февраля, 2015 если вы хотите результат а не сам процес -то я уже ответил на ваш вопрос. Попросите доктора составить план ечения поэтапно - в письменном виде. И трг выложите. а так это гадание на гуще. Ссылка на комментарий
fulcrum Опубликовано 11 февраля, 2015 Автор Поделиться Опубликовано 11 февраля, 2015 если вы хотите результат а не сам процес -то я уже ответил на ваш вопрос. Попросите доктора составить план ечения поэтапно - в письменном виде. И трг выложите. а так это гадание на гуще. План таков: -залечивание всего того, чего необходимо (кариес, замена некоторых пломб)-удаление восьмёрок-установка БС на зубной ряд верхней челюсти-установка пластины на зубной ряд нижней челюсти-далее, в зависимости от хода лечения -установка БС на зубной ряд нижней челюсти Ссылка на комментарий
Рекомендуемые сообщения
Для публикации сообщений создайте учётную запись или авторизуйтесь
Вы должны быть пользователем, чтобы оставить комментарий
Создать аккаунт
Зарегистрируйте новый аккаунт в нашем сообществе. Это очень просто!
Регистрация нового пользователяВойти
Уже есть аккаунт? Войти в систему.
Войти