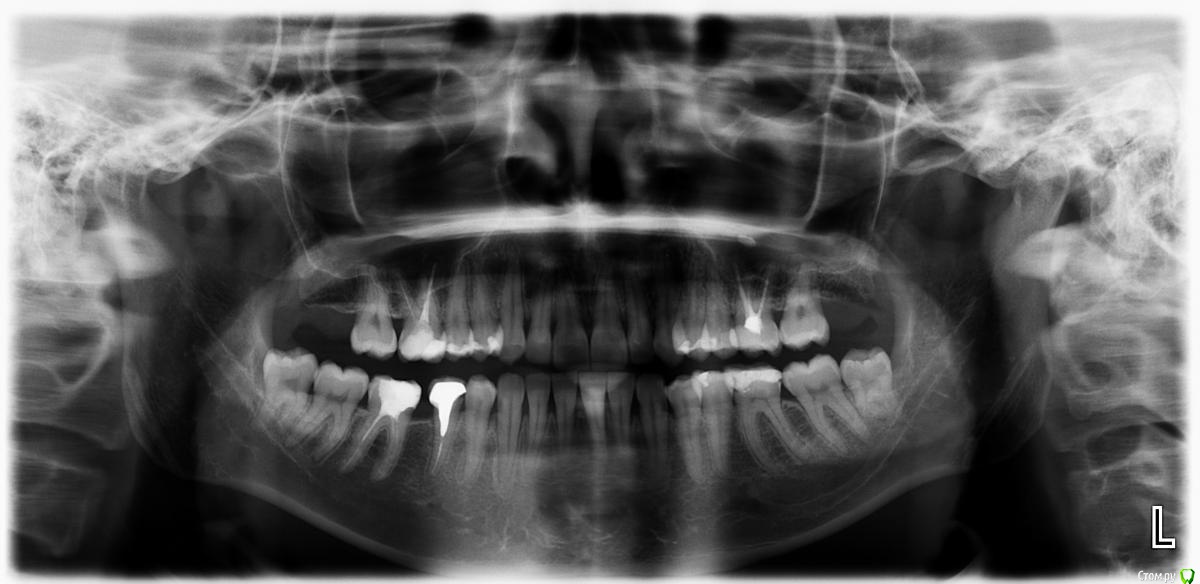
Iriss Опубликовано 24 января, 2015 Поделиться Опубликовано 24 января, 2015 Уже месяц болит зуб. В одной клинике залечили 5 и 6 слева ( на снимке справа ), боль не прошла, стало отдавать в ухо. Потом залечили маленький кариес на 5. Снова болит. Если стучат инструментами по зубам, боли нет. Реагирует на холодное, горячее и еду. Так же , когда чищу между 5 и 6 зубной нитью, неприятные ощущения, когда нить выходит вниз.Сделали еще снимок ( прилагается ), третий врач ничего не заметил, кроме белого пятна на снимке в десне , над 5 и 6 зубом. Отправил к Лору. До этого у Лора была , то же ничего не заметил. Что это и может ли из за этого болеть зуб? Спасибо. Ссылка на комментарий
red_butler Опубликовано 24 января, 2015 Поделиться Опубликовано 24 января, 2015 Боль появилась до или после лечения?Боль сверху или снизу? Ссылка на комментарий
Iriss Опубликовано 24 января, 2015 Автор Поделиться Опубликовано 24 января, 2015 Боль появилась до или после лечения?Боль сверху или снизу?До лечения и продолжает болеть. Сверху Ссылка на комментарий
red_butler Опубликовано 24 января, 2015 Поделиться Опубликовано 24 января, 2015 я бы уделил пристальное внимание зубу 3.6 (жевательный на нижней челюсти слева) 3 Ссылка на комментарий
Iriss Опубликовано 24 января, 2015 Автор Поделиться Опубликовано 24 января, 2015 я бы уделил пристальное внимание зубу 3.6 (жевательный на нижней челюсти слева)Там вроде бы не болит. Мне четко кажется что боль сверху . И что такое наверху на снимке справа( на десне ) , врач сказал забытый материал? Это не может болеть? Ссылка на комментарий
red_butler Опубликовано 24 января, 2015 Поделиться Опубликовано 24 января, 2015 нужно исключить пульпит, для которого как раз характерны боли от холодного-горячего Ссылка на комментарий
Iriss Опубликовано 24 января, 2015 Автор Поделиться Опубликовано 24 января, 2015 нужно исключить пульпит, для которого как раз характерны боли от холодного-горячегоИзвините за дотошность, пульпит снизу или сверху? И три разных врача не заметили проблемы. Я в Таиланде, уже и не знаю куда идти Ссылка на комментарий
Iriss Опубликовано 24 января, 2015 Автор Поделиться Опубликовано 24 января, 2015 нужно исключить пульпит, для которого как раз характерны боли от холодного-горячего [/quote Как его диагностировать? Ссылка на комментарий
red_butler Опубликовано 24 января, 2015 Поделиться Опубликовано 24 января, 2015 Извините за дотошность, пульпит снизу или сверху? на нижней челюсти Как его диагностировать? термопробы хладагентом, прикладываю к зубу валик охлажденный до - 40При обострении пульпита, боль будет иррадиировать в зубы противоположной челюсти, ухо, шею Ссылка на комментарий
Iriss Опубликовано 24 января, 2015 Автор Поделиться Опубликовано 24 января, 2015 на нижней челюститермопробы хладагентом, прикладываю к зубу валик охлажденный до - 40При обострении пульпита, боль будет иррадиировать в зубы противоположной челюсти, ухо, шеюСпасибо большое!! Те пятно на снимке не может быть причиной боли? Ссылка на комментарий
red_butler Опубликовано 24 января, 2015 Поделиться Опубликовано 24 января, 2015 Те пятно на снимке не может быть причиной боли? это пломбировочный материал и должен в первую очередь заботить ЛОРа, хорошо бы сделать Кт верхнечелюстного синуса.Но это к вашим жалобам отношения не имеет Ссылка на комментарий
shishok Опубликовано 24 января, 2015 Поделиться Опубликовано 24 января, 2015 А мне не нравится 38:ощущение,что на задней поверхности глубокая полость.Его бы проверить. 1 Ссылка на комментарий
Iriss Опубликовано 24 января, 2015 Автор Поделиться Опубликовано 24 января, 2015 А мне не нравится 38:ощущение,что на задней поверхности глубокая полость.Его бы проверить. скажите плиз, что такое 38? Ссылка на комментарий
Iriss Опубликовано 24 января, 2015 Автор Поделиться Опубликовано 24 января, 2015 это пломбировочный материал и должен в первую очередь заботить ЛОРа, хорошо бы сделать Кт верхнечелюстного синуса.Но это к вашим жалобам отношения не имеетСпасибо большое! Ссылка на комментарий
shishok Опубликовано 24 января, 2015 Поделиться Опубликовано 24 января, 2015 скажите плиз, что такое 38?Зуб мудрости внизу слева. Ссылка на комментарий
Iriss Опубликовано 25 января, 2015 Автор Поделиться Опубликовано 25 января, 2015 Зуб мудрости внизу слева.Спасибо! Ссылка на комментарий
Iriss Опубликовано 25 января, 2015 Автор Поделиться Опубликовано 25 января, 2015 Зуб мудрости внизу слева.А пятно на снимке не может быть причиной боли? Это не киста? Ссылка на комментарий
Iriss Опубликовано 25 января, 2015 Автор Поделиться Опубликовано 25 января, 2015 это пломбировочный материал и должен в первую очередь заботить ЛОРа, хорошо бы сделать Кт верхнечелюстного синуса.Но это к вашим жалобам отношения не имеетСкажите пожалуйста, это не может быть кистой? Ссылка на комментарий
shishok Опубликовано 25 января, 2015 Поделиться Опубликовано 25 января, 2015 А пятно на снимке не может быть причиной боли? Это не киста?Пятно на снимке -возможная скрытая кариозная полость(может быть причиной боли).Это не киста(киста расположена на верхушках корней). Ссылка на комментарий
Afffinity Опубликовано 25 января, 2015 Поделиться Опубликовано 25 января, 2015 нужно исключить пульпит, для которого как раз характерны боли от холодного-горячего [/quote Как его диагностировать?Попробуйте что то холодное приложить к зубу. Ссылка на комментарий
Рекомендуемые сообщения
Для публикации сообщений создайте учётную запись или авторизуйтесь
Вы должны быть пользователем, чтобы оставить комментарий
Создать аккаунт
Зарегистрируйте новый аккаунт в нашем сообществе. Это очень просто!
Регистрация нового пользователяВойти
Уже есть аккаунт? Войти в систему.
Войти