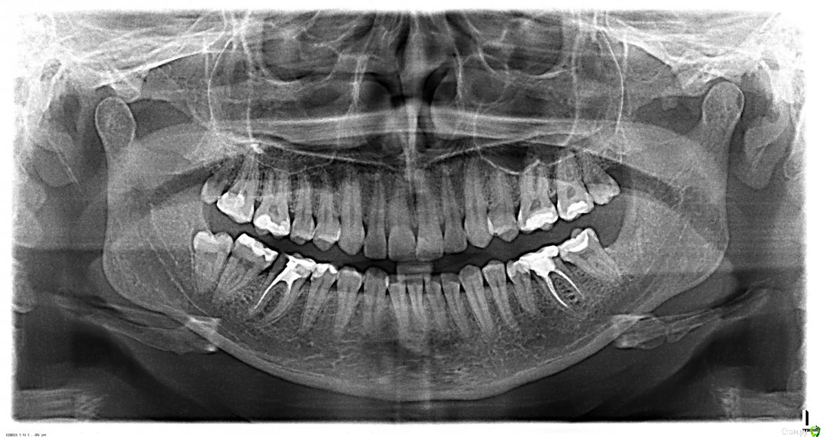
vovovna Опубликовано 21 января, 2015 Поделиться Опубликовано 21 января, 2015 Добрый день, Есть ли возможность по панорамному снимку определить, какие зубы требуют протезирования, а заодно и другого лечения? Сходила на консультацию в клинику рядом с домом (т.е. врачей не знаю совершенно, отзывов предварительно не читала, мнения о них не имею), заодно впала в печаль по поводу рекомендации протезировать 8 зубов. Более того, на верхней правой 6 (которая в настоящее время болит) речь идет об удалении нервов (что не вызывает вопросов), но рядом стоящая 7 была "пролечена" летом с удалением нерва. По ней сказали, что удален 1 нерв из 4, плюс остатки инструмента, говорят, в несчастном пролеченном канале. Естественно, на перелечивание. В довершение, настоятельно рекомендуется ортодонтическое лечение (о чем я наслышана давно, но все откладываю принятие решения по нему). Что бы вы сказали своему близкому родственнику по данному вопросу - надо? Можете ли вы как-то прокомментировать такой план лечения. Спасибо Ссылка на комментарий
AlexanderGudkov Опубликовано 21 января, 2015 Поделиться Опубликовано 21 января, 2015 (изменено) Родственнику я бы посоветовал:16 - пломбирование каналов + коронка (если при осмотре выяснится, что это необходимо)17,46 - перелечивание + коронки36 - коронка (предварительно посмотреть в каналы)Удалить оставшиеся зубы мудростиОртодонтия. Остальное по этому снимку плоховато видно, после очного осмотра и прицельных снимков еще что-то может потребовать лечения Изменено 21 января, 2015 пользователем AlexanderGudkov Ссылка на комментарий
Romanson Опубликовано 21 января, 2015 Поделиться Опубликовано 21 января, 2015 Насчет болей нужно более детально диагностировать, какой именно зуб дает симптомы. Вполне вероятно, что болит семерка, т.к. судя по снимку пролечена она неважно. Насчет коронок - вероятно, вам их рекомендовали как замену пломбам. Тут нужно смотреть на состоятельность пломб, если их краевое прилегание не нарушено, сколов пломбировочного материала нет - то можно и не короновать. Из проблемных зубов, которые видно по снимку - это две нижние шестерки и левая верхняя семерка, которые точно требуют ортопедической конструкции, причем шестерка, которая слева (на снимке) нуждается в повторном эндодонтическом лечении как и верхняя левая семерка. Ещё возможна проблема в верхней правой и нижней левой семерках, по снимку похоже на вторичный кариес под пломбой. Ссылка на комментарий
vovovna Опубликовано 22 января, 2015 Автор Поделиться Опубликовано 22 января, 2015 Спасибо большое! Ясно, что врача надо искать другого, чем и занялась. Ссылка на комментарий
Рекомендуемые сообщения
Для публикации сообщений создайте учётную запись или авторизуйтесь
Вы должны быть пользователем, чтобы оставить комментарий
Создать аккаунт
Зарегистрируйте новый аккаунт в нашем сообществе. Это очень просто!
Регистрация нового пользователяВойти
Уже есть аккаунт? Войти в систему.
Войти