Соколов Виктор Опубликовано 18 января, 2015 Поделиться Опубликовано 18 января, 2015 Добрый день! Мне 58 лет. Решил заняться лечением зубов. Хочу поставить импланты на 5 и 6 зубы наверху слева. Возможно ли это, учитывая возраст и нужен ли синус-лифтинг? И что делать с верхним 6 зубом справа? Попытаться перелечить или только удаление? Профгигиену сделал. Прошу проконсультировать по объёму работ. Заранее благодарен. Ссылка на комментарий
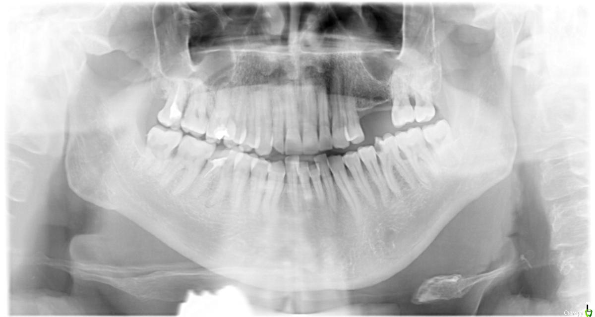
SDC Опубликовано 18 января, 2015 Поделиться Опубликовано 18 января, 2015 http://s017.radikal.ru/i427/1501/0a/678eebf2ac62.png Синие стрелки - зубной камень и локализованный пародонтит.Фиолетовая - кариесКрасные - периодонтит. Скорее всего перелечивание с последующим протезированием возможны.Салатовые - имплантатыУстановка имплантата в обл. 25 зуба возможна без синус-лифтинга, в обл. 26 есть варианты, которые можно рассмотреть после исследования КТ: короткий имплантат без синус-лифтинга, имплантат 8-10 мм, с закрытым синус-лифтингом и открытый синус-лифтинг с установкой имплантата любой длины.27 зуб сместился вперед, поэтому на имплантатах 2 коронки с размерами премоляров. 1 Ссылка на комментарий
diesel87 Опубликовано 18 января, 2015 Поделиться Опубликовано 18 января, 2015 С имплантацией думаю проблем не будем, необходим очный осмотр или КТ Ссылка на комментарий
Bier Опубликовано 18 января, 2015 Поделиться Опубликовано 18 января, 2015 Тут синуслифтинг не нужен, без кт все ясно 2 Ссылка на комментарий
Рекомендуемые сообщения
Для публикации сообщений создайте учётную запись или авторизуйтесь
Вы должны быть пользователем, чтобы оставить комментарий
Создать аккаунт
Зарегистрируйте новый аккаунт в нашем сообществе. Это очень просто!
Регистрация нового пользователяВойти
Уже есть аккаунт? Войти в систему.
Войти