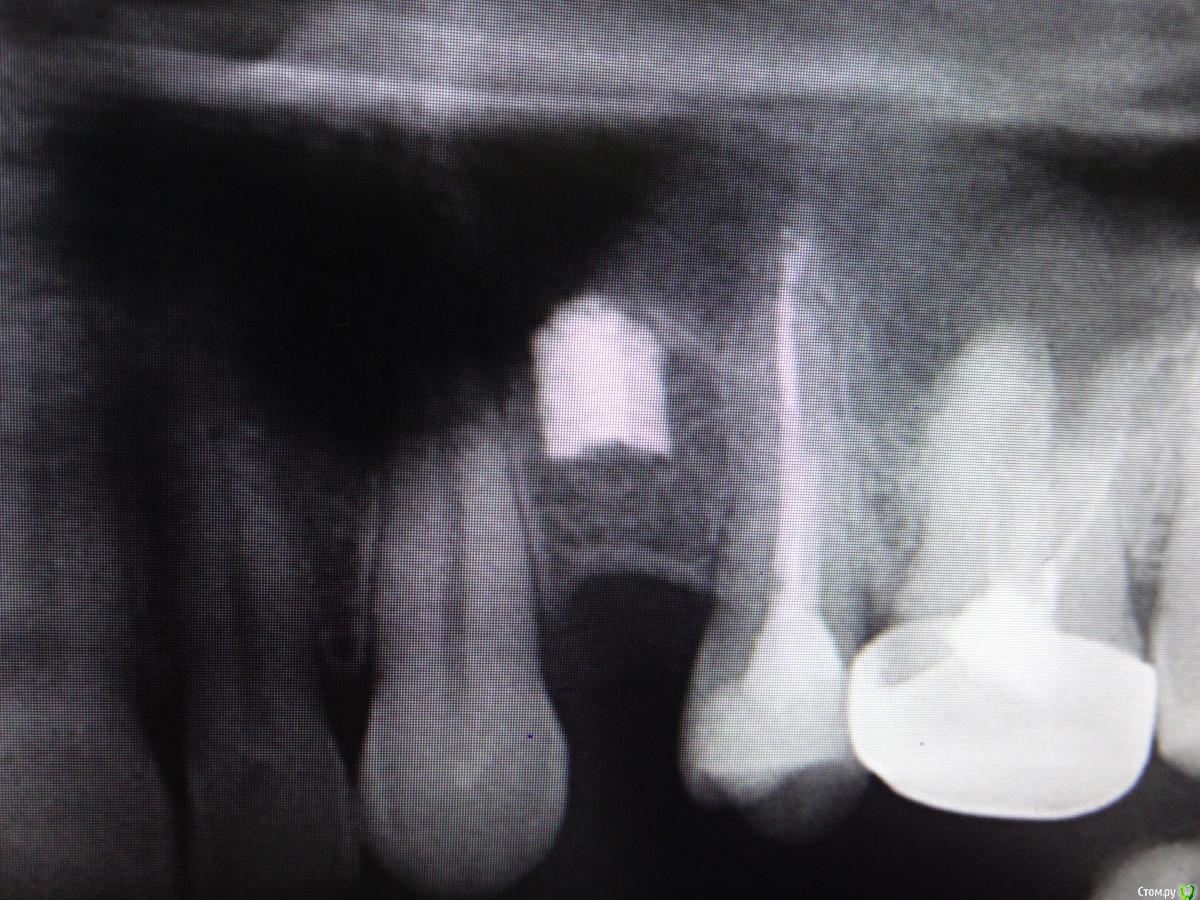
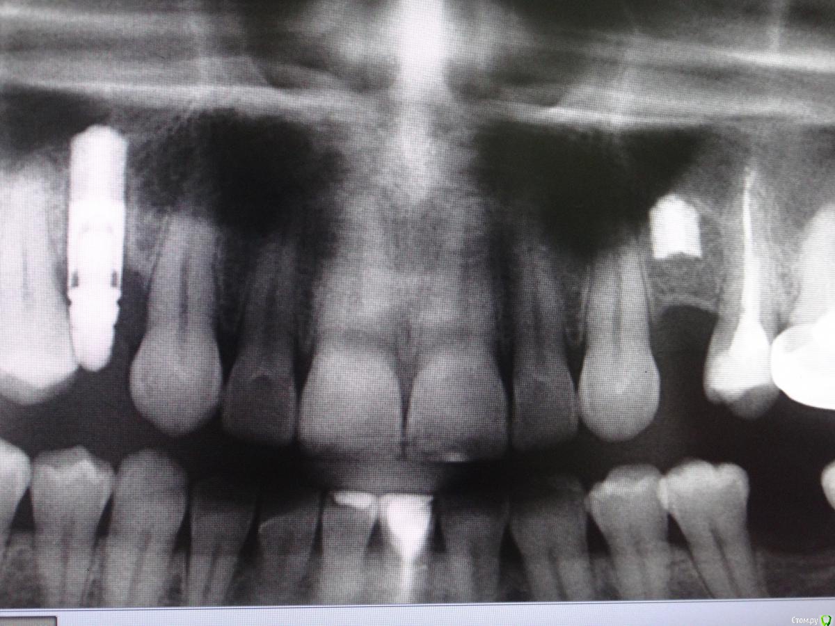
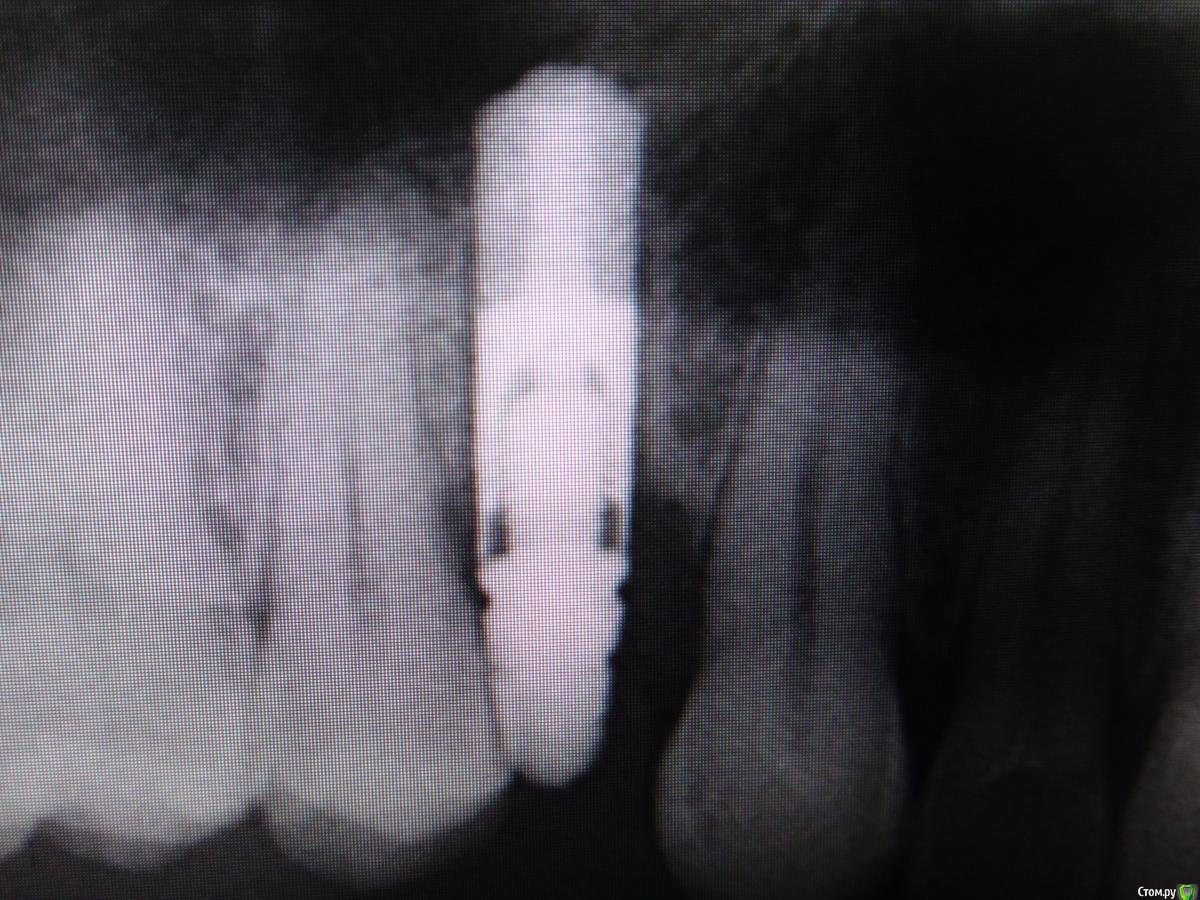
johniola Опубликовано 16 января, 2015 Поделиться Опубликовано 16 января, 2015 Мужики,что за импланты?от израиля ключи не подходят. Ссылка на комментарий
Alejandro Опубликовано 17 января, 2015 Поделиться Опубликовано 17 января, 2015 Хотя на mis seven сильно похожи Ссылка на комментарий
Alejandro Опубликовано 17 января, 2015 Поделиться Опубликовано 17 января, 2015 А сколько стоят времени? Ссылка на комментарий
johniola Опубликовано 17 января, 2015 Автор Поделиться Опубликовано 17 января, 2015 (изменено) Сколько времени стоят не знаю,говорит 4 года.На них стояли абатменты золотистого цвета,но без шестигранника и без конуса,держались за счёт винта.Я таких не видел.Отвёртки нобель,штрауман,мис не подошли,еле выкрутил.Вроде говорит как итальянские. Изменено 17 января, 2015 пользователем johniola Ссылка на комментарий
johniola Опубликовано 18 января, 2015 Автор Поделиться Опубликовано 18 января, 2015 вот такие абатменты стояли. Ссылка на комментарий
SDC Опубликовано 18 января, 2015 Поделиться Опубликовано 18 января, 2015 вот такие абатменты стояли.Похоже глухо. Или запрос от клиники, или от пациентки в клинику, где проходила имплантацию.Планируете сохранять? Ссылка на комментарий
johniola Опубликовано 18 января, 2015 Автор Поделиться Опубликовано 18 января, 2015 Похоже глухо. Или запрос от клиники, или от пациентки в клинику, где проходила имплантацию.Планируете сохранять?нет,планирую убирать,но хотелосьбы ключ иметь Ссылка на комментарий
SDC Опубликовано 18 января, 2015 Поделиться Опубликовано 18 января, 2015 нет,планирую убирать,но хотелосьбы ключ иметьЕсть набор для удаления любых типов импл. http://www.implantium.ru/USERFILES/BBSDATA/HelpKit_1005_Rev.2.pdf Ссылка на комментарий
johniola Опубликовано 18 января, 2015 Автор Поделиться Опубликовано 18 января, 2015 имею.правда немного другой Ссылка на комментарий
Alejandro Опубликовано 19 января, 2015 Поделиться Опубликовано 19 января, 2015 Узнали или нет? Я что-то похожее сегодня видел, только устанавливали их в Самаре. Ссылка на комментарий
johniola Опубликовано 19 января, 2015 Автор Поделиться Опубликовано 19 января, 2015 узнал,это 3i , уже всё достал 2 Ссылка на комментарий
Alejandro Опубликовано 20 января, 2015 Поделиться Опубликовано 20 января, 2015 Gracias) Как информация добыта? Ссылка на комментарий
johniola Опубликовано 20 января, 2015 Автор Поделиться Опубликовано 20 января, 2015 путём допроса с нецензурной браню 3 Ссылка на комментарий
gum Опубликовано 21 января, 2015 Поделиться Опубликовано 21 января, 2015 Да на 3 Ай похоже но у них еще лепестки есть а здесь что то не видно Ссылка на комментарий
Slaggy Опубликовано 24 января, 2015 Поделиться Опубликовано 24 января, 2015 Господа, что за система имплантов, кто торгует запчастями?Раскрутилсо. Знакомая. Просит восстановить зуппчик наместо. Ссылка на комментарий
Kurz1981 Опубликовано 28 января, 2015 Поделиться Опубликовано 28 января, 2015 Похоже действительно Biomet3i http://whatimplantisthat.com/wp-content/uploads/2012/03/OSSEOTITE-Tapered-Certain-4.jpg Ссылка на комментарий
Kurz1981 Опубликовано 28 января, 2015 Поделиться Опубликовано 28 января, 2015 (изменено) Господа, что за система имплантов, кто торгует запчастями?DSC01829.JPGDSC01830.JPGDSC01831.JPGРаскрутилсо. Знакомая. Просит восстановить зуппчик наместо.Очень сильно похоже на кейстоун http://whatimplantisthat.com/wp-content/uploads/2012/03/Restore-TPS-Coated.jpg Что то больше похожего судя по вашему рентгену я не нашел. Изменено 28 января, 2015 пользователем Kurz1981 Ссылка на комментарий
Slaggy Опубликовано 28 января, 2015 Поделиться Опубликовано 28 января, 2015 Возможно наши - Томск, Екатеринбург.Пациент сказал сегодня.Пойду порою яндыкс. Ссылка на комментарий
Slaggy Опубликовано 21 февраля, 2015 Поделиться Опубликовано 21 февраля, 2015 Господа, что за система имплантов, кто торгует запчастями?DSC01829.JPGDSC01830.JPGDSC01831.JPGРаскрутилсо. Знакомая. Просит восстановить зуппчик наместо. Оказались Новокузнецкими старыми. Ссылка на комментарий
Рекомендуемые сообщения
Для публикации сообщений создайте учётную запись или авторизуйтесь
Вы должны быть пользователем, чтобы оставить комментарий
Создать аккаунт
Зарегистрируйте новый аккаунт в нашем сообществе. Это очень просто!
Регистрация нового пользователяВойти
Уже есть аккаунт? Войти в систему.
Войти