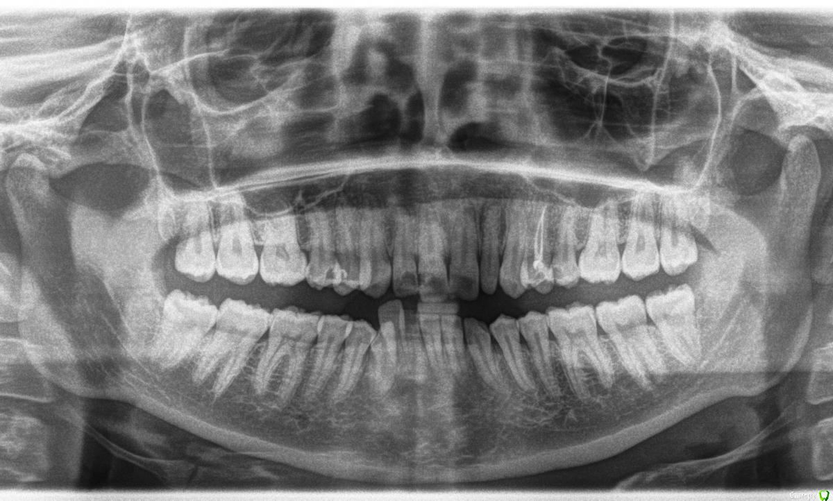
Человек Опубликовано 13 января, 2015 Поделиться Опубликовано 13 января, 2015 Здравствуйте! Требуется удалить боковой нижний резец, зуб 42. 1. Насколько сложная ситуация?2. Насколько велик риск повреждения соседних зубов?3. Можно ли при удалении этого зуба передвинуть на его место соседний клык, так чтобы он встал в зубной ряд? или лучше не рисковать? Спасибо. Ссылка на комментарий
kladoffka Опубликовано 14 января, 2015 Поделиться Опубликовано 14 января, 2015 1. Не сложная2. Не велик вообще.3. Смысл удалять этот зуб? Проконсультируйтесь с ортодонтом, думаю не стоит удалять резец. Ссылка на комментарий
Человек Опубликовано 14 января, 2015 Автор Поделиться Опубликовано 14 января, 2015 kladoffka, огромное спасибо за ответ. Зуб этот стал мне мешать после того как заменили старые пломбы на четырех верхних премолярах.Теперь остается выбирать только меньшее из двух зол: рисковать, исправляя прикус хирургическим путем или удалять зуб. Ссылка на комментарий
red_butler Опубликовано 14 января, 2015 Поделиться Опубликовано 14 января, 2015 человек, начните с консультации ортодонта 3 Ссылка на комментарий
Рекомендуемые сообщения
Для публикации сообщений создайте учётную запись или авторизуйтесь
Вы должны быть пользователем, чтобы оставить комментарий
Создать аккаунт
Зарегистрируйте новый аккаунт в нашем сообществе. Это очень просто!
Регистрация нового пользователяВойти
Уже есть аккаунт? Войти в систему.
Войти