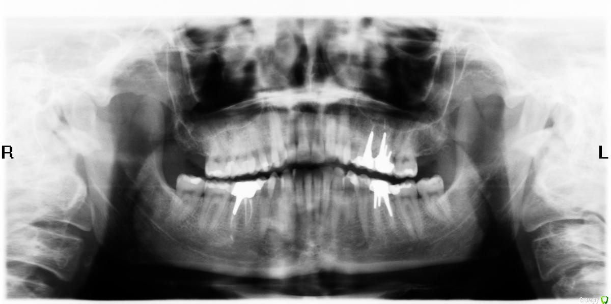
TAP Опубликовано 11 января, 2015 Поделиться Опубликовано 11 января, 2015 Добрый день! Прокомментируйте, пожалуйста, ортопантомограмму! Ссылка на комментарий
Maxfac Опубликовано 11 января, 2015 Поделиться Опубликовано 11 января, 2015 Охренительная ортопантомограмма. 6 Ссылка на комментарий
red_butler Опубликовано 11 января, 2015 Поделиться Опубликовано 11 января, 2015 похоже на снимок зубов 2 Ссылка на комментарий
AlexanderGudkov Опубликовано 11 января, 2015 Поделиться Опубликовано 11 января, 2015 Охренительная ортопантомограмма.=)))))) Ссылка на комментарий
diesel87 Опубликовано 12 января, 2015 Поделиться Опубликовано 12 января, 2015 Нет двух верхних восьмерок 2 Ссылка на комментарий
TAP Опубликовано 12 января, 2015 Автор Поделиться Опубликовано 12 января, 2015 Прошу прощения, что неконкретно задал вопрос - есть какие-нибудь проблемы? требуется ли какое-либо вмешательство? Ссылка на комментарий
red_butler Опубликовано 12 января, 2015 Поделиться Опубликовано 12 января, 2015 снимок плохого качества Ссылка на комментарий
IvanK Опубликовано 12 января, 2015 Поделиться Опубликовано 12 января, 2015 Кто хочет найти проблемы, то найдет) Ссылка на комментарий
TAP Опубликовано 12 января, 2015 Автор Поделиться Опубликовано 12 января, 2015 Так значит из-за кач-ва невозможно понять все ли хорошо, и нужно сделать снимок хорошего кач-ва? Или всё же нет видимых, причин для того, чтобы заморачиваться дальше с этим? Ссылка на комментарий
Lolopop Опубликовано 12 января, 2015 Поделиться Опубликовано 12 января, 2015 Так значит из-за кач-ва невозможно понять все ли хорошо, и нужно сделать снимок хорошего кач-ва? Или всё же нет видимых, причин для того, чтобы заморачиваться дальше с этим?начните с того - есть ли у вас жалобы? Ссылка на комментарий
TAP Опубликовано 12 января, 2015 Автор Поделиться Опубликовано 12 января, 2015 Да нет, жалоб нет, просто если какие-то нехорошие процессы могут начаться, то хотелось бы заняться этим на более ранней стадии, а не когда уже поздно пить Боржоми. Ссылка на комментарий
SDC Опубликовано 12 января, 2015 Поделиться Опубликовано 12 января, 2015 Да нет, жалоб нет, просто если какие-то нехорошие процессы могут начаться, то хотелось бы заняться этим на более ранней стадии, а не когда уже поздно пить Боржоми.А заняться зубами у какого врача планируете? Ссылка на комментарий
TAP Опубликовано 13 января, 2015 Автор Поделиться Опубликовано 13 января, 2015 Да пока нет конкретных вариантов Ссылка на комментарий
SDC Опубликовано 13 января, 2015 Поделиться Опубликовано 13 января, 2015 Да пока нет конкретных вариантовСначала нужно определиться с Доком, затем к нему на осмотр и очную консультацию.Ортопантомограмма не самый лучший вид рентгендиагностики, а Ваша не самая качественная из них.Явных и заметных проблем на снимке нет, но Ваш подход к состоянию здоровья требует иной диагностики. 1 Ссылка на комментарий
TAP Опубликовано 13 января, 2015 Автор Поделиться Опубликовано 13 января, 2015 Пока едиственное дополнительное пожелание, помимо общего состояния здоровья, это найти врача, которому можно доверить извлечение серебряно-палладиевой вкладки из двухканального зуба в москве. Ссылка на комментарий
SDC Опубликовано 13 января, 2015 Поделиться Опубликовано 13 января, 2015 Красит мягкие ткани? Ссылка на комментарий
TAP Опубликовано 13 января, 2015 Автор Поделиться Опубликовано 13 января, 2015 Да, если дальше еще не так заметно, то хотя бы на 25м. Ссылка на комментарий
SDC Опубликовано 13 января, 2015 Поделиться Опубликовано 13 января, 2015 Да, если дальше еще не так заметно, то хотя бы на 25м.у вкладки, которой восстановлен 25 зуб, довольно мощный и длинный штифт, будьте заочно готовы к замене зуба на имплантат - в случае разбора 25 весьма вероятен такой финал. Ссылка на комментарий
TAP Опубликовано 13 января, 2015 Автор Поделиться Опубликовано 13 января, 2015 Честно говоря, мне тоже вкладка показалась большой. Значит, всвязи с этим очень большая вероятность все испортить... Понятно. Жаль... Ссылка на комментарий
Рекомендуемые сообщения
Для публикации сообщений создайте учётную запись или авторизуйтесь
Вы должны быть пользователем, чтобы оставить комментарий
Создать аккаунт
Зарегистрируйте новый аккаунт в нашем сообществе. Это очень просто!
Регистрация нового пользователяВойти
Уже есть аккаунт? Войти в систему.
Войти