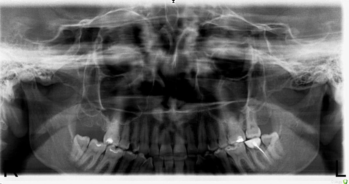
svetok8989 Опубликовано 9 января, 2015 Поделиться Опубликовано 9 января, 2015 Здравствуйте! У меня сильно болит челюсть с левой стороны да и с правой тоже, но с левой сильнее, как будто тянет к уху книзу. сделала рентген , никто не расшифровывает какие зубы могут быть проблемными, верхний 7 зуб справа удалили 2 месяца назад. подскажите пожалуйста, делала кт внчс всё нормально .в чём проблема? Ссылка на комментарий
AlexanderGudkov Опубликовано 9 января, 2015 Поделиться Опубликовано 9 января, 2015 Рентгенлаборанту выговор, переделать оптг в другом месте. Ну и слева снизу на 7 зубе снять пломбу и по результатам диагностики перелечить/удалить. Ссылка на комментарий
orthophil Опубликовано 12 января, 2015 Поделиться Опубликовано 12 января, 2015 Уточните пожалуйста жалобы. Какая челюсть болит верхняя или нижняя, характер болей, когда возникают- утро/вечер, в покое /при нагрузке и т.д.Только по снимку сказать трудно. Ссылка на комментарий
Рекомендуемые сообщения
Для публикации сообщений создайте учётную запись или авторизуйтесь
Вы должны быть пользователем, чтобы оставить комментарий
Создать аккаунт
Зарегистрируйте новый аккаунт в нашем сообществе. Это очень просто!
Регистрация нового пользователяВойти
Уже есть аккаунт? Войти в систему.
Войти