Tatyanka Опубликовано 9 января, 2015 Поделиться Опубликовано 9 января, 2015 (изменено) Здравствуйте, уважаемые фанаты своего дела, помогите разобраться в ситуации.В начале декабря обратилась к стоматологу с ноющей болью в районе 4.6-4.7. Оба зуба запломбированы - был кариес. 4.7 было решено перепломбировать, после чего доктор направил меня на рентген - заподозрил дистопию и ретенцию 4.8. Опасения подтвердились - зуб лежал в десне и упирался в 7, решили, что именно он был причиной боли, восьмерку удалили. И вот уже месяц не могу жить без "Кетанова": днем боль терпимая, не постоянная - приступами, к вечеру/ночи становится очень сильной. Первый врач утверждает, что это последствия сложного удаления, после праздников обещал направить на физио-лечение. Второй (тот, что удалял 8) после осмотра сказал, что лунка уже благополучно зажила и болеть не может, это пульпит, вопрос только - какого зуба (либо 6, либо 7)? Сделала снимок 4.6-4.7, врач сможет принять только в понедельник Второй день держится температура ок. 37,2. Так что же это все-таки: пульпит или последствия удаления? Как дожить до понедельника - нужно ли что-нибудь принимать, полоскать?PS прошу прощения за качество снимка. Изменено 9 января, 2015 пользователем Tatyanka Ссылка на комментарий
SDC Опубликовано 9 января, 2015 Поделиться Опубликовано 9 января, 2015 А что там в лунке 8-го рентгеноконстрастное? Ссылка на комментарий
Tatyanka Опубликовано 9 января, 2015 Автор Поделиться Опубликовано 9 января, 2015 В лунку клали что-то с йодоформом - возможно, оно? Десна в районе 8 не воспалена, безболезненная. Прицельный снимок 4.8 не делали. Ссылка на комментарий
Stomart Опубликовано 9 января, 2015 Поделиться Опубликовано 9 января, 2015 А что там в лунке 8-го рентгеноконстрастное?Порошок йодоформа. Ссылка на комментарий
shishok Опубликовано 9 января, 2015 Поделиться Опубликовано 9 января, 2015 В 46 пломба близко прилегает к пульпе.Неплохо бы сделать ОПТГ,может дело и не в нижних зубах. 1 Ссылка на комментарий
Tatyanka Опубликовано 10 января, 2015 Автор Поделиться Опубликовано 10 января, 2015 В 46 пломба близко прилегает к пульпе.Неплохо бы сделать ОПТГ,может дело и не в нижних зубах.Ок, спасибо. Постараюсь в понедельник сделать снимок. Ссылка на комментарий
Tatyanka Опубликовано 14 января, 2015 Автор Поделиться Опубликовано 14 января, 2015 К сожалению, у нас не делают ОПТГ... совсем. Нигде... Понимаю, что без него сказать нечего, так что вопрос снимаю. Извиняюсь за беспокойство. Ссылка на комментарий
shishok Опубликовано 14 января, 2015 Поделиться Опубликовано 14 января, 2015 А в ближайшем крупном городе? Ссылка на комментарий
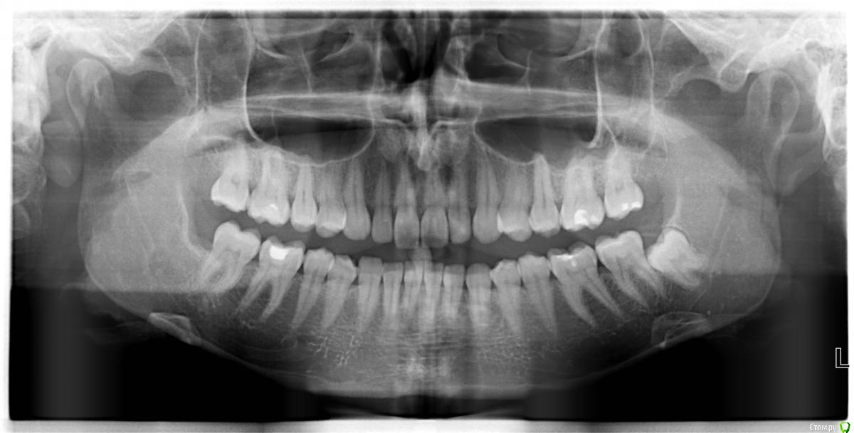
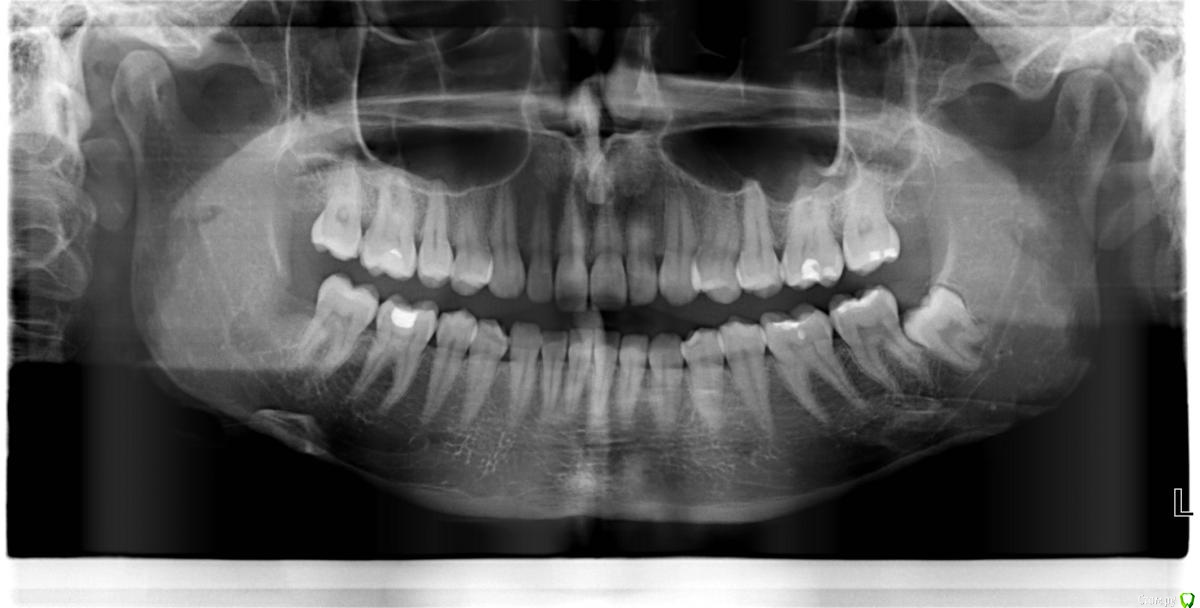
Tatyanka Опубликовано 9 марта, 2015 Автор Поделиться Опубликовано 9 марта, 2015 И снова здравствуйте! Все же доктор решил, что удаление было травматичным, т.к. 6, 7 и остальные зубы опасений не вызвали. В процессе лечения сразу стало легче, но даже сейчас, через 3 месяца после удаления, иногда беспокоит терпимая ноющая боль в районе 6, 7 и лунки 8. Удалось сделать ОПТГ - можете что-нибудь подсказать по снимку? Ссылка на комментарий
shishok Опубликовано 9 марта, 2015 Поделиться Опубликовано 9 марта, 2015 Заживает хорошо. Ссылка на комментарий
Tatyanka Опубликовано 9 марта, 2015 Автор Поделиться Опубликовано 9 марта, 2015 Спасибо большущее! Как камень с души Ссылка на комментарий
St. Опубликовано 9 марта, 2015 Поделиться Опубликовано 9 марта, 2015 стало легче, но даже сейчас, через 3 месяца после удаления, иногда беспокоит терпимая ноющая боль в районе 6, 7 и лунки 8. Удалось сделать ОПТГ - можете что-нибудь подсказать по снимку?По снимку всё неплохо. Не переживайте! Скорее всего все неприятные ощущения постепенно пройдут, просто нужно время. Ссылка на комментарий
Tatyanka Опубликовано 10 марта, 2015 Автор Поделиться Опубликовано 10 марта, 2015 По снимку всё неплохо. Не переживайте! Скорее всего все неприятные ощущения постепенно пройдут, просто нужно время.Спасибо! Успокоили Ээх... Люди с большой буквы, здоровья вам! 1 Ссылка на комментарий
Tatyanka Опубликовано 30 ноября, 2015 Автор Поделиться Опубликовано 30 ноября, 2015 Всем доброго времени суток! С момента удаления той злостчастной восьмерки прошел год - и до сих пор время от времени возникает ноющая боль в районе удаленного зуба. Довольно слабая, но волнует само наличие неприятных ощущений - ведь что-то их вызывает спустя такое время, если есть проблема - не хотелось бы сильно запускать. Стоматолог, у которого наблюдаюсь, на снимке ничего криминального не заметил. Хотелось бы узнать ваше мнение. Извините, если я слишком мнительна. Ссылка на комментарий
shishok Опубликовано 30 ноября, 2015 Поделиться Опубликовано 30 ноября, 2015 Лунка зажила хорошо.Криминала действительно нет.Не переживайте. Ссылка на комментарий
red_butler Опубликовано 30 ноября, 2015 Поделиться Опубликовано 30 ноября, 2015 Проверить бы на витальность 1.6 и 4.6 Ссылка на комментарий
Tatyanka Опубликовано 2 декабря, 2015 Автор Поделиться Опубликовано 2 декабря, 2015 Лунка зажила хорошо.Криминала действительно нет.Не переживайте.Спасибо большое! Ссылка на комментарий
Tatyanka Опубликовано 2 декабря, 2015 Автор Поделиться Опубликовано 2 декабря, 2015 Проверить бы на витальность 1.6 и 4.6Спасибо за совет - намекну своему доктору. В 1.6 полгода назад меняли пломбу, 4.6 лечили очень давно, но пока советовали не заморачиваться. Ссылка на комментарий
Рекомендуемые сообщения
Для публикации сообщений создайте учётную запись или авторизуйтесь
Вы должны быть пользователем, чтобы оставить комментарий
Создать аккаунт
Зарегистрируйте новый аккаунт в нашем сообществе. Это очень просто!
Регистрация нового пользователяВойти
Уже есть аккаунт? Войти в систему.
Войти