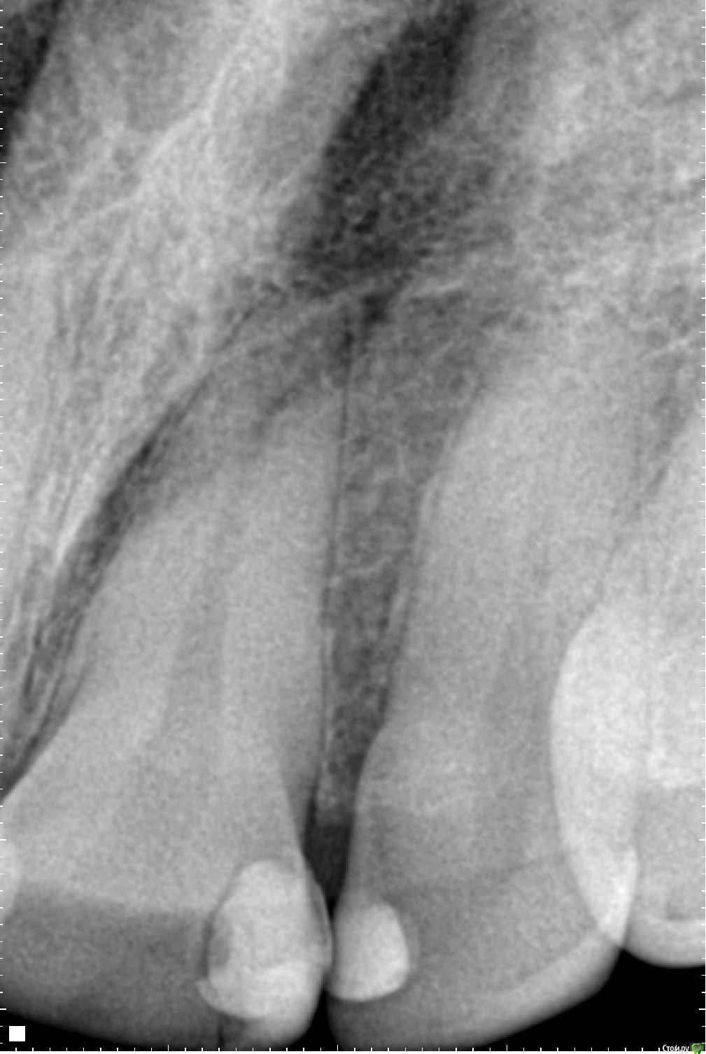
eizo Опубликовано 5 января, 2015 Поделиться Опубликовано 5 января, 2015 (изменено) Уважаемые специалисты и просто знатоки, помогите определиться по снимку на счёт наличия кариеса в 21м и/или 22м зубах. .Только что сделал снимок участка между 21м и 22м зубом (хотя снимок непонятный получился на мой взгляд).У меня уже 7 лет пломбав частив 21го зуба ближе к краю на границе с 22м. В середине ноября треснул 21й с нижней кромки, но болевых ощущений не было. Стоматолог в районнной ничего не смог предложить, ничего не обнаружил. Перед новым годом начали проявляться неприятные ощущения после приёма пищи, причём по собственным ощущениям именно на краю 22го со стороны примыкания к 21му.Сходил в другую клинику, терапевт сходу предположил рецидив кариеса в 21м, отвергая какие-либо дефекты в 22м.На снимке вроде бы ракурс с внутренней стороны челюсти (снимок производился с датчиком).Насколько я могу разобраться на 22м наблюдается дефект. А вот на счёт 21го -там где светлое пятно - это должна быть пломба. Изменено 5 января, 2015 пользователем eizo Ссылка на комментарий
SDC Опубликовано 5 января, 2015 Поделиться Опубликовано 5 января, 2015 Не самые лучшие фото и рг снимок, но однозначно есть дефект пломбы 21 зуба (нависание в придесневой области)и я почти уверен в том ,что есть рецидив кариеса. По 22 зубу - ничего сказать не могу. Ссылка на комментарий
eizo Опубликовано 6 января, 2015 Автор Поделиться Опубликовано 6 января, 2015 Ладно, готов смириться с переделкой пломбы 21го. 1 1 Ссылка на комментарий
Рекомендуемые сообщения
Для публикации сообщений создайте учётную запись или авторизуйтесь
Вы должны быть пользователем, чтобы оставить комментарий
Создать аккаунт
Зарегистрируйте новый аккаунт в нашем сообществе. Это очень просто!
Регистрация нового пользователяВойти
Уже есть аккаунт? Войти в систему.
Войти