SergeiVar Опубликовано 27 декабря, 2014 Поделиться Опубликовано 27 декабря, 2014 Возможно, тема не для хирургии а для ортодонтии, но всёже. Кто какие крутит, что посоветуете? Ссылка на комментарий
Дмитрий Никитюк Опубликовано 27 декабря, 2014 Поделиться Опубликовано 27 декабря, 2014 А зайти в ортодонтию, прежде чем создавать тему? http://forum.stom.ru/topic/6377-ortodonticheskie-mikroimplanty/ 1 Ссылка на комментарий
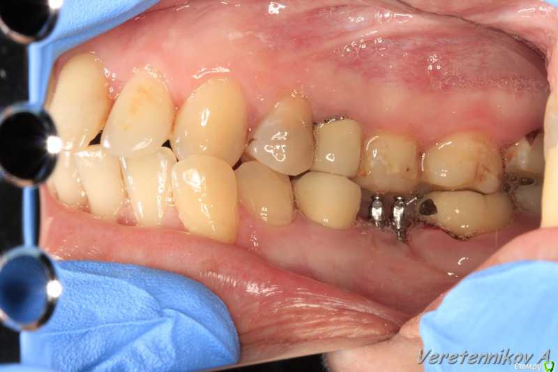
Карен Аванесов Опубликовано 27 декабря, 2014 Поделиться Опубликовано 27 декабря, 2014 http://s017.radikal.ru/i442/1412/2f/4652aaed3e8d.jpgЯ ставлю MIS. 2 Ссылка на комментарий
red_butler Опубликовано 27 декабря, 2014 Поделиться Опубликовано 27 декабря, 2014 Я ставлю MIS. + 1 Ссылка на комментарий
an_ver Опубликовано 28 декабря, 2014 Поделиться Опубликовано 28 декабря, 2014 Я ставлю корейские 2 Ссылка на комментарий
Mane Опубликовано 28 декабря, 2014 Поделиться Опубликовано 28 декабря, 2014 Конмет 2 Ссылка на комментарий
SDC Опубликовано 28 декабря, 2014 Поделиться Опубликовано 28 декабря, 2014 Конметза 1.5 мес. с конмет http://s019.radikal.ru/i608/1412/58/3f83f07d3de9.jpg 2 Ссылка на комментарий
SergeiVar Опубликовано 29 декабря, 2014 Автор Поделиться Опубликовано 29 декабря, 2014 что посоветуете почитать перед тем как начать работать с ними? Ссылка на комментарий
ILGAMSA Опубликовано 29 декабря, 2014 Поделиться Опубликовано 29 декабря, 2014 что посоветуете почитать перед тем как начать работать с ними?форум 4 Ссылка на комментарий
SergeiVar Опубликовано 30 декабря, 2014 Автор Поделиться Опубликовано 30 декабря, 2014 форумэто святое. )))еще что? Ссылка на комментарий
SDC Опубликовано 30 декабря, 2014 Поделиться Опубликовано 30 декабря, 2014 это святое. )))еще что?Смотрите на анонсы. Недавно Давидян совместно с ортодонтом Авроры проводили отличный курс. Ссылка на комментарий
SergeiVar Опубликовано 31 декабря, 2014 Автор Поделиться Опубликовано 31 декабря, 2014 Смотрите на анонсы. Недавно Давидян совместно с ортодонтом Авроры проводили отличный курс.вот хотелось бы эти нюансы здесь прочитать Ссылка на комментарий
Рекомендуемые сообщения
Для публикации сообщений создайте учётную запись или авторизуйтесь
Вы должны быть пользователем, чтобы оставить комментарий
Создать аккаунт
Зарегистрируйте новый аккаунт в нашем сообществе. Это очень просто!
Регистрация нового пользователяВойти
Уже есть аккаунт? Войти в систему.
Войти