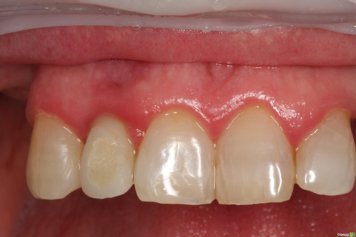
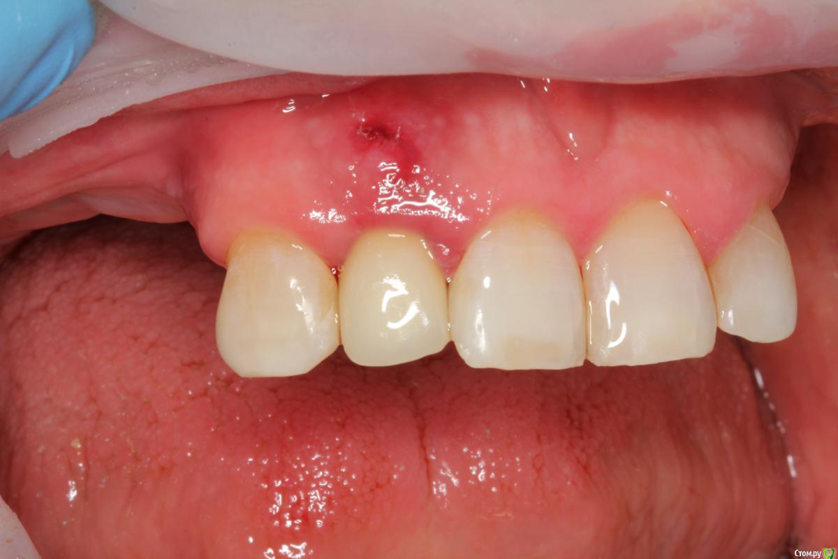
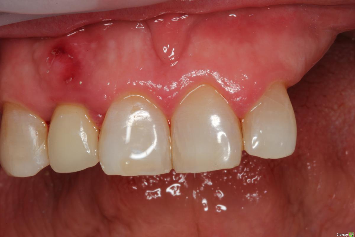
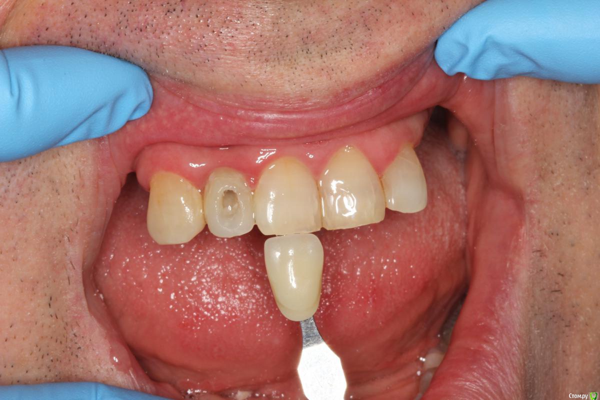
Den5 Опубликовано 24 декабря, 2014 Поделиться Опубликовано 24 декабря, 2014 (изменено) извините за сумбур,первый раз пишу,задвоил снимки.ССТ подкинул во время примерки.Сдача через 8 дней,цвет коронки темнее-свои зубы пересохли.Придет в след.раз сфотаю Изменено 24 декабря, 2014 пользователем Den5 5 Ссылка на комментарий
AlexanderGudkov Опубликовано 24 декабря, 2014 Поделиться Опубликовано 24 декабря, 2014 Половина фоток не увеличивается... Заливайте фото на радикал Ссылка на комментарий
Den5 Опубликовано 24 декабря, 2014 Автор Поделиться Опубликовано 24 декабря, 2014 (изменено) на радикал залил,а дальше как с него сливать,ась? Изменено 24 декабря, 2014 пользователем Den5 3 Ссылка на комментарий
Евгений Ходыкин Опубликовано 24 декабря, 2014 Поделиться Опубликовано 24 декабря, 2014 А дальше радикал даёт набор ссылок. Вам нужно выбрать ту, где написано картинка в тексте) Ссылка на комментарий
SDC Опубликовано 24 декабря, 2014 Поделиться Опубликовано 24 декабря, 2014 А дальше радикал даёт набор ссылок. Вам нужно выбрать ту, где написано картинка в тексте)А должен ли Врач разбираться в компьтере?Я знаю некоторых очень и очень хороших хирургов, комку КТ на диске не нужна, а подай нарезку на пленке-ватмане.Поэтому помогу с подробной инструкцией: http://s017.radikal.ru/i441/1412/ba/5abb2395f48c.png http://s012.radikal.ru/i320/1412/35/ec50cbf7afbf.png http://s017.radikal.ru/i424/1412/ff/fa90041748b7.png http://s019.radikal.ru/i644/1412/ce/e80408fab5a2.png 3 Ссылка на комментарий
Евгений Ходыкин Опубликовано 24 декабря, 2014 Поделиться Опубликовано 24 декабря, 2014 SDC, должен я считаю. Современная медицина вся в цифре... 2 Ссылка на комментарий
SDC Опубликовано 24 декабря, 2014 Поделиться Опубликовано 24 декабря, 2014 SDC, должен я считаю. Современная медицина вся в цифре...Ну а что со староверами делать? Это, кстати, самые безопасные для пациентов Доктора ))) 2 Ссылка на комментарий
Den5 Опубликовано 25 декабря, 2014 Автор Поделиться Опубликовано 25 декабря, 2014 Ну а что со староверами делать? Это, кстати, самые безопасные для пациентов Доктора ))) дубль 2,житие мое.....http://radikal.ru/users/Den5#alb=&img=6071475456http://radikal.ru/users/Den5#alb=&img=6071475599http://radikal.ru/users/Den5#alb=&img=6071475681http://radikal.ru/users/Den5#alb=&img=6071475876http://radikal.ru/users/Den5#alb=&img=6071475967http://radikal.ru/users/Den5#alb=&img=6071476083http://radikal.ru/users/Den5#alb=&img=6071476174http://radikal.ru/users/Den5#alb=&img=6071476313http://radikal.ru/users/Den5#alb=&img=6071476423http://radikal.ru/users/Den5#alb=&img=6071476629http://radikal.ru/users/Den5#alb=&img=6071476629http://radikal.ru/users/Den5#alb=&img=6071476743http://radikal.ru/users/Den5#alb=&img=6071476995http://radikal.ru/users/Den5#alb=&img=6071476995 Ссылка на комментарий
Евгений Ходыкин Опубликовано 25 декабря, 2014 Поделиться Опубликовано 25 декабря, 2014 Ну а что со староверами делать? Это, кстати, самые безопасные для пациентов Доктора )))Пусть живут, скоро сами кончатся... Ссылка на комментарий
SDC Опубликовано 25 декабря, 2014 Поделиться Опубликовано 25 декабря, 2014 дубль 2,житие мое.....Давайте третий,)) каждая фотка со своей ссылкой Ссылка на комментарий
Den5 Опубликовано 26 декабря, 2014 Автор Поделиться Опубликовано 26 декабря, 2014 (изменено) Давайте третий,)) каждая фотка со своей ссылкойhttp://s020.radikal.ru/i701/1412/d2/c0c2d97e3977.jpg http://s019.radikal.ru/i628/1412/4e/0c8022680317.jpg http://s017.radikal.ru/i408/1412/19/ac8e67f095df.jpg .radikal.ru/i628/1412/4e/0c8022680317.jpg]http://s016.radikal.ru/i336/1412/dc/0c9a0b369e43.jpg http://s020.radikal.ru/i703/1412/24/3b707cbfe477.jpghttp://s020.radikal.ru/i709/1412/3c/3d89cad38c99.jpghttp://s52.radikal.ru/i135/1412/6b/c9b9c78c69a0.jpghttp://s012.radikal.ru/i319/1412/0f/b306d81382a2.jpghttp://s013.radikal.ru/i322/1412/35/46625cdc2ad3.jpghttp://s017.radikal.ru/i418/1412/7d/3380334b8679.jpghttp://s019.radikal.ru/i644/1412/9e/13b131d140f0.jpg Изменено 26 декабря, 2014 пользователем Den5 1 Ссылка на комментарий
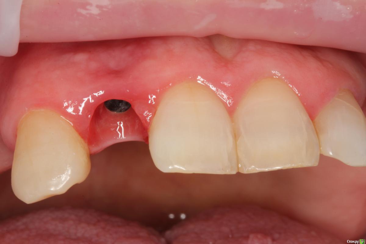
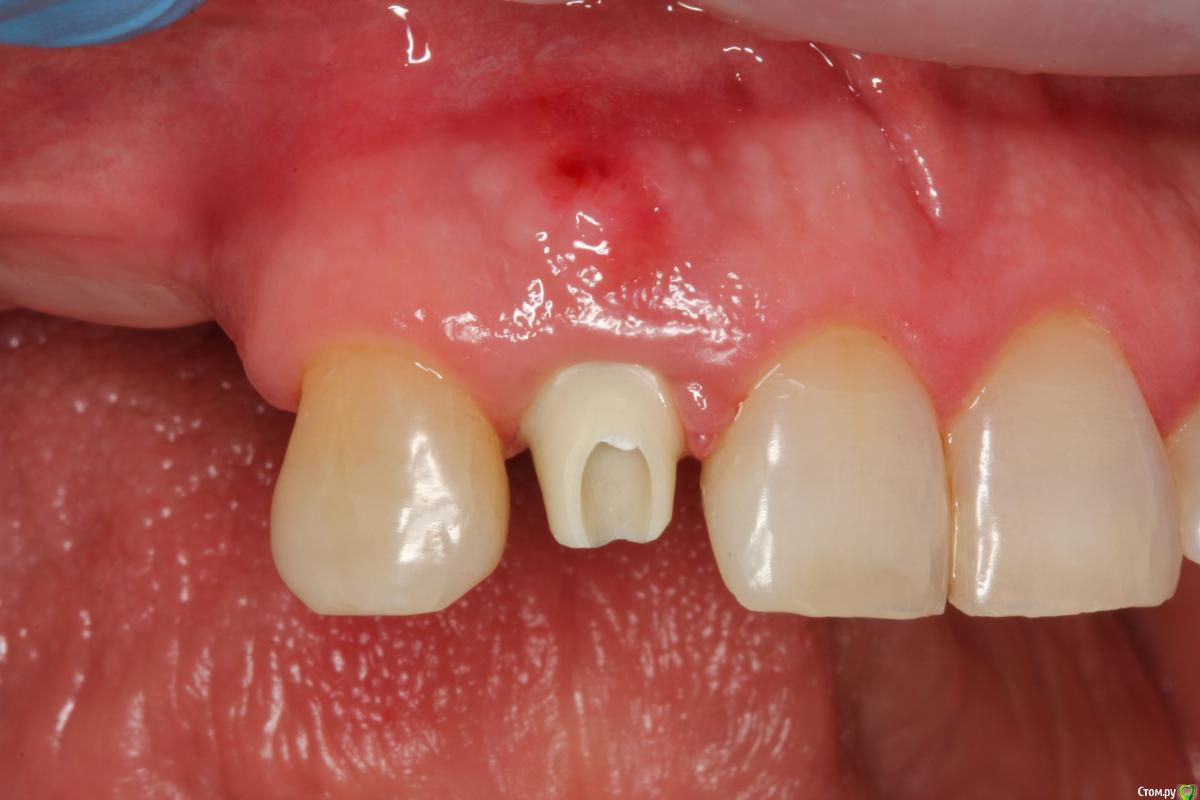
Den5 Опубликовано 26 декабря, 2014 Автор Поделиться Опубликовано 26 декабря, 2014 (изменено) http://s017.radikal.ru/i420/1412/87/2ae56af3c61d.jpgпришел через10дней Изменено 26 декабря, 2014 пользователем Den5 3 Ссылка на комментарий
SDC Опубликовано 26 декабря, 2014 Поделиться Опубликовано 26 декабря, 2014 пришел через10днейА Вы очень высоко фиксировали ССТ. Он там практически не нужен.Нужно фиксировать по краю лоскута + между имплантатом и зубами, видели в недавних темах Владмира? Ссылка на комментарий
Den5 Опубликовано 26 декабря, 2014 Автор Поделиться Опубликовано 26 декабря, 2014 А Вы очень высоко фиксировали ССТ. Он там практически не нужен.Нужно фиксировать по краю лоскута + между имплантатом и зубами, видели в недавних темах Владмира?согласен,сбило с толку углубление,посмотрите фото до ..хотел его заполнить и зафиксировал по его центру Ссылка на комментарий
Ibulat_1986 Опубликовано 29 декабря, 2014 Поделиться Опубликовано 29 декабря, 2014 to Den5какой протез пациент носит? планируете в боковых участках что-нибудь? Ссылка на комментарий
Den5 Опубликовано 30 декабря, 2014 Автор Поделиться Опубликовано 30 декабря, 2014 to Den5какой протез пациент носит? планируете в боковых участках что-нибудь?носит нейлон,ничего больше не хочет.имел очень неудачный опыт с пластинчатами имплантами в 90-х,все вывалилось.слева кости нет,в смысле вообще нет -просто "бубен" из лоскута под синусом Ссылка на комментарий
Рекомендуемые сообщения
Для публикации сообщений создайте учётную запись или авторизуйтесь
Вы должны быть пользователем, чтобы оставить комментарий
Создать аккаунт
Зарегистрируйте новый аккаунт в нашем сообществе. Это очень просто!
Регистрация нового пользователяВойти
Уже есть аккаунт? Войти в систему.
Войти