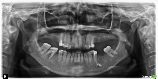
S-Sity Опубликовано 24 декабря, 2014 Поделиться Опубликовано 24 декабря, 2014 Добрый день! Подскажите что делать с зубом, у которого при лечении вывели пломбировочный материал?http://www.photohost.../400/752814.jpg Ссылка на комментарий
Salma Опубликовано 24 декабря, 2014 Поделиться Опубликовано 24 декабря, 2014 А что то беспокоит? Ссылка на комментарий
S-Sity Опубликовано 24 декабря, 2014 Автор Поделиться Опубликовано 24 декабря, 2014 До вчерашнего дня ничего не беспокоило. Но вчера почувствовала боль.Больно нажимать на десну под зубом.Зуб придется убрать? Ссылка на комментарий
Рекомендуемые сообщения
Для публикации сообщений создайте учётную запись или авторизуйтесь
Вы должны быть пользователем, чтобы оставить комментарий
Создать аккаунт
Зарегистрируйте новый аккаунт в нашем сообществе. Это очень просто!
Регистрация нового пользователяВойти
Уже есть аккаунт? Войти в систему.
Войти