Mel18 Опубликовано 23 декабря, 2014 Поделиться Опубликовано 23 декабря, 2014 Добрый день, уважаемые знатоки! Безмерно признателен тому, что вы делаете и хочу немного искупаться в лучах ваших тайных знаний Пришла пора заняться реставрацией передних зубов. Собрал рекомендации, нашел чудо-доктора (данный факт подтвердится или опровергнется после проведенных работ, но пока в это свято верю). Сходил на консультацию, всё шло хорошо. До того момента, как доктор не сказала мне о том, о чем никто до нее даже не думал. Внимание вопрос:1. Два передних зубах. Доктор настоятельно рекомендует, что для достижения максимальной эстетики нужно бы немного "подрезать" десну, что эти зубы расположены ниже, чем следует, особенно на фоне соседних. Говорит, что процедура безболезненная и пойдет только на пользу. Никогда раньше в голову даже не приходила эта мысль. Теперь вот смотрю в зеркало и думаю, что что-то есть в её словах. При этом представляю, что если зуб "увеличить" таким образом, не станут ли они уж слишком массивными? В общем, каково ваше мнение, следует ли делать это мини-хирургическое вмешательство или можно обойтись малой кровью (важнее всего именно эстетическая сторона)? Происходит ли это сразу в момент реставрации и какие могут быть негативные последствия? 2. Вопрос по снимку, касающийся 7-к и 8-к, которые лезут-лезут да вылезти не могут уже лет 6. Хожу себе со своими 24,5 зубов и представить не могу, куда еще больше. Мнения докторов разделяются: часть предлагают разрезать десну, чтобы прорезались, часть - ничего не делать. Заранее безмерно благодарен за любую информацию и профессиональный взгляд! Ссылка на комментарий
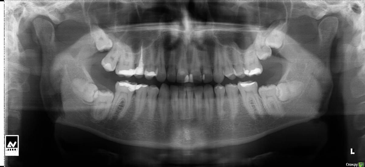
Чертков Александр Опубликовано 24 декабря, 2014 Поделиться Опубликовано 24 декабря, 2014 (изменено) Доброго времени суток. 1. Фото не очень информативное, но даже по этой фотографии я могу сказать что удлинение клинических коронок ("подрезание" десны) не нужная процедура. Есть некоторые эстетические ....правила что ли... когда это действительно делать нужно. В Вашем случае я бы этого делать не стал. Скорее показано удлинение зубов вниз - восстановление режущего края.2. Проблему ретенции (задержки прорезывания) 7,8 надо решать, поскольку невмешательство сейчас, приведет к бОльшим проблема потом. И, оценивая тот небольшой объем информации который Вы предоставили, могу сказать что реставрация передних зубов не тот этап с которого следует начать. Удачного дня. Изменено 24 декабря, 2014 пользователем Чертков Александр 2 Ссылка на комментарий
Mel18 Опубликовано 24 декабря, 2014 Автор Поделиться Опубликовано 24 декабря, 2014 Доброго времени суток. 1. Фото не очень информативное, но даже по этой фотографии я могу сказать что удлинение клинических коронок ("подрезание" десны) не нужная процедура. Есть некоторые эстетические ....правила что ли... когда это действительно делать нужно. В Вашем случае я бы этого делать не стал. Скорее показано удлинение зубов вниз - восстановление режущего края.2. Проблему ретенции (задержки прорезывания) 7,8 надо решать, поскольку невмешательство сейчас, приведет к бОльшим проблема потом. И, оценивая тот небольшой объем информации который Вы предоставили, могу сказать что реставрация передних зубов не тот этап с которого следует начать. Удачного дня. Доброго утра и спасибо за ответ! 1. Этот ответ мне нравится По поводу удлинения зубов вниз - пытались еще раньше. Проблемы с прикусом - я в итоге их (края) очень оперативно "съедаю", очень интересный прикус. 2.Можете, чуть-чуть поподробнее. Какие именно это будут проблемы? Ну а тут Вы вообще заинтриговали. и оставили в думах посерьезнее) С какого этапа бы начали Вы? Ссылка на комментарий
Чертков Александр Опубликовано 24 декабря, 2014 Поделиться Опубликовано 24 декабря, 2014 Доброго утра и спасибо за ответ! 1. Этот ответ мне нравится По поводу удлинения зубов вниз - пытались еще раньше. Проблемы с прикусом - я в итоге их (края) очень оперативно "съедаю", очень интересный прикус. 2.Можете, чуть-чуть поподробнее. Какие именно это будут проблемы? Ну а тут Вы вообще заинтриговали. и оставили в думах посерьезнее) С какого этапа бы начали Вы?Если детально оценить рентгенограмму, то видно, что 7е зубы в "полупрорезавшемся" положении, т.е. в полости рта их еще нет, но частичное их примыкание к задней поверхности 6х говорит о их непосредственном контакте со средой полости рта, соответственно вероятность проникновения микрофлоры к ним высока и риски кариеса и локального (местного) пародонтита тоже. По поводу "благополучного съедания" всего наращиваемого...это проблема прикуса, с него, а точнее с диагностики и надо начинать. А если уж прямым текстом, то нужны консультации ортодонта, ортопеда и хирурга. Предполагаемый план действий: удаление 8х, "вытягивание" 7х, восстановление правильного и естественного прикуса, а уж потом "эстетика", как логичное завершение. 1 Ссылка на комментарий
Mel18 Опубликовано 24 декабря, 2014 Автор Поделиться Опубликовано 24 декабря, 2014 Если детально оценить рентгенограмму, то видно, что 7е зубы в "полупрорезавшемся" положении, т.е. в полости рта их еще нет, но частичное их примыкание к задней поверхности 6х говорит о их непосредственном контакте со средой полости рта, соответственно вероятность проникновения микрофлоры к ним высока и риски кариеса и локального (местного) пародонтита тоже. По поводу "благополучного съедания" всего наращиваемого...это проблема прикуса, с него, а точнее с диагностики и надо начинать. А если уж прямым текстом, то нужны консультации ортодонта, ортопеда и хирурга. Предполагаемый план действий: удаление 8х, "вытягивание" 7х, восстановление правильного и естественного прикуса, а уж потом "эстетика", как логичное завершение. охх..вот это уже, безусловно, не самые радостные и ожидаемые действия! но я Вас услышал и непременно приму к сведению! Огромное спасибо! Ссылка на комментарий
Чертков Александр Опубликовано 25 декабря, 2014 Поделиться Опубликовано 25 декабря, 2014 охх..вот это уже, безусловно, не самые радостные и ожидаемые действия! но я Вас услышал и непременно приму к сведению! Огромное спасибо!На здоровье. Удачи и "грамотных" специалистов в решении проблем! Ссылка на комментарий
Рекомендуемые сообщения
Для публикации сообщений создайте учётную запись или авторизуйтесь
Вы должны быть пользователем, чтобы оставить комментарий
Создать аккаунт
Зарегистрируйте новый аккаунт в нашем сообществе. Это очень просто!
Регистрация нового пользователяВойти
Уже есть аккаунт? Войти в систему.
Войти