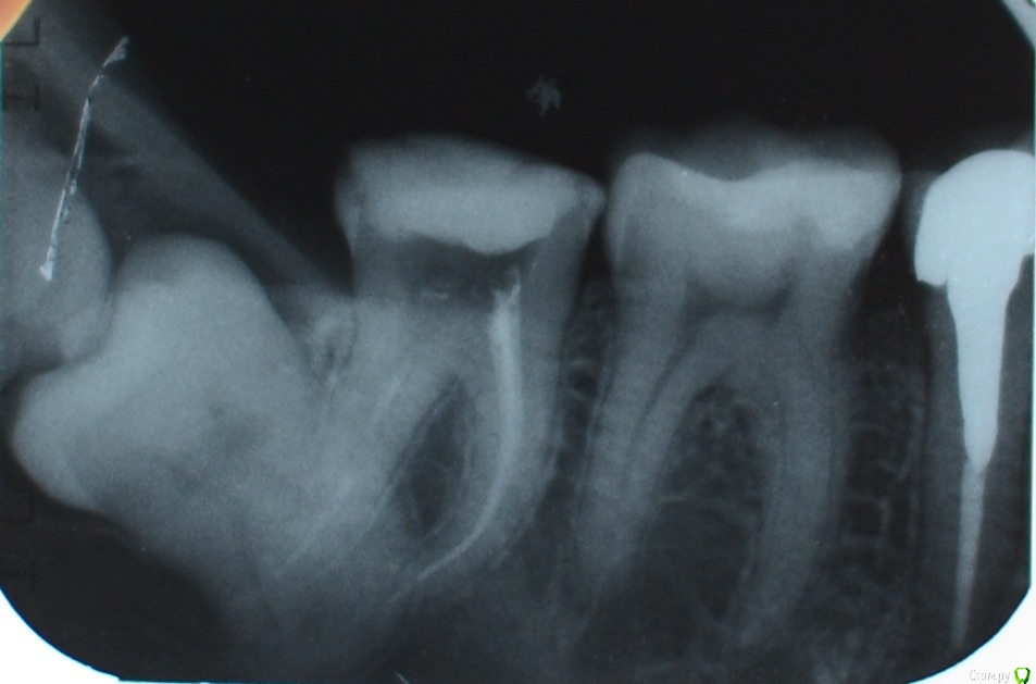
Kitten Опубликовано 22 декабря, 2014 Поделиться Опубликовано 22 декабря, 2014 Добрый день, После лечения глубокого кариеса зуба 4-7 остались только две тонкие стенки, перешла к протезированию. Врач предложил металлокерамику - металлическая культевая вкладка плюс коронка. Перед этим протезировала пятый зуб в другой клинике, обошлось без металла, поэтому засомневалась, стоит ли металлокерамику устанавливать. Специалисты, расскажите, пожалуйста, о плюсах и минусах металлокерамики и об альтернативных вариантах протезирования, если это имеет место. Спасибо! Ссылка на комментарий
SDC Опубликовано 22 декабря, 2014 Поделиться Опубликовано 22 декабря, 2014 Добрый день, После лечения глубокого кариеса зуба 4-7 остались только две тонкие стенки, перешла к протезированию. Врач предложил металлокерамику - металлическая культевая вкладка плюс коронка.Перед этим протезировала пятый зуб в другой клинике, обошлось без металла, поэтому засомневалась, стоит ли металлокерамику устанавливать. Специалисты, расскажите, пожалуйста, о плюсах и минусах металлокерамики и об альтернативных вариантах протезирования, если это имеет место. Спасибо!Простите, а какая конструкция на 5-м зубе предоставленного снимка (Вы об этом 5-м?)В Вашем случае необходимо сделать КТ, для выяснения положения 48 и 49 зубов и прогноза.Возможно, что показано их удаление перед протезированием 47.Культевая вкладка, на мой взгляд, в 47 не нужна. Для восстановления зуба под коронку я бы предложил композитный билдап со штифтом.Возможно протезирование этого зуба любым видом коронок, но предпочтение тонкостенным конструкциям (Преттау или цельнолитая золотая коронка), по причине истонченных стенок зуба. Ссылка на комментарий
Kitten Опубликовано 22 декабря, 2014 Автор Поделиться Опубликовано 22 декабря, 2014 С ходу затрудняюсь сказать о конструкции 5-ого зуба, нужно уточнить (именно он виден на снимке, да). КТ делала, вот ссылка на соседнюю ветку. http://forum.stom.ru/topic/27865-zub-mudrosti-lezhit-vertikalno-udaliatne-udal/ Мнения разные, но специалисты говорят, что 8 и 9 зуб можно удалить, не трогая 7, те продолжать протезирование 7 можно. Ссылка на комментарий
SDC Опубликовано 22 декабря, 2014 Поделиться Опубликовано 22 декабря, 2014 С ходу затрудняюсь сказать о конструкции 5-ого зуба, нужно уточнить (именно он виден на снимке, да). КТ делала, вот ссылка на соседнюю ветку.http://forum.stom.ru/topic/27865-zub-mudrosti-lezhit-vertikalno-udaliatne-udal/ Мнения разные, но специалисты говорят, что 8 и 9 зуб можно удалить, не трогая 7, те продолжать протезирование 7 можно.Дело в том, что при удалениях возможно повреждение коронки 7-го зуба или, что наиболее вероятно, изменится контур десны в области 7-го и край коронки окажется над десной, что не лучшим образом скажется на гигиене и сроках службы коронки 2 Ссылка на комментарий
Рекомендуемые сообщения
Для публикации сообщений создайте учётную запись или авторизуйтесь
Вы должны быть пользователем, чтобы оставить комментарий
Создать аккаунт
Зарегистрируйте новый аккаунт в нашем сообществе. Это очень просто!
Регистрация нового пользователяВойти
Уже есть аккаунт? Войти в систему.
Войти