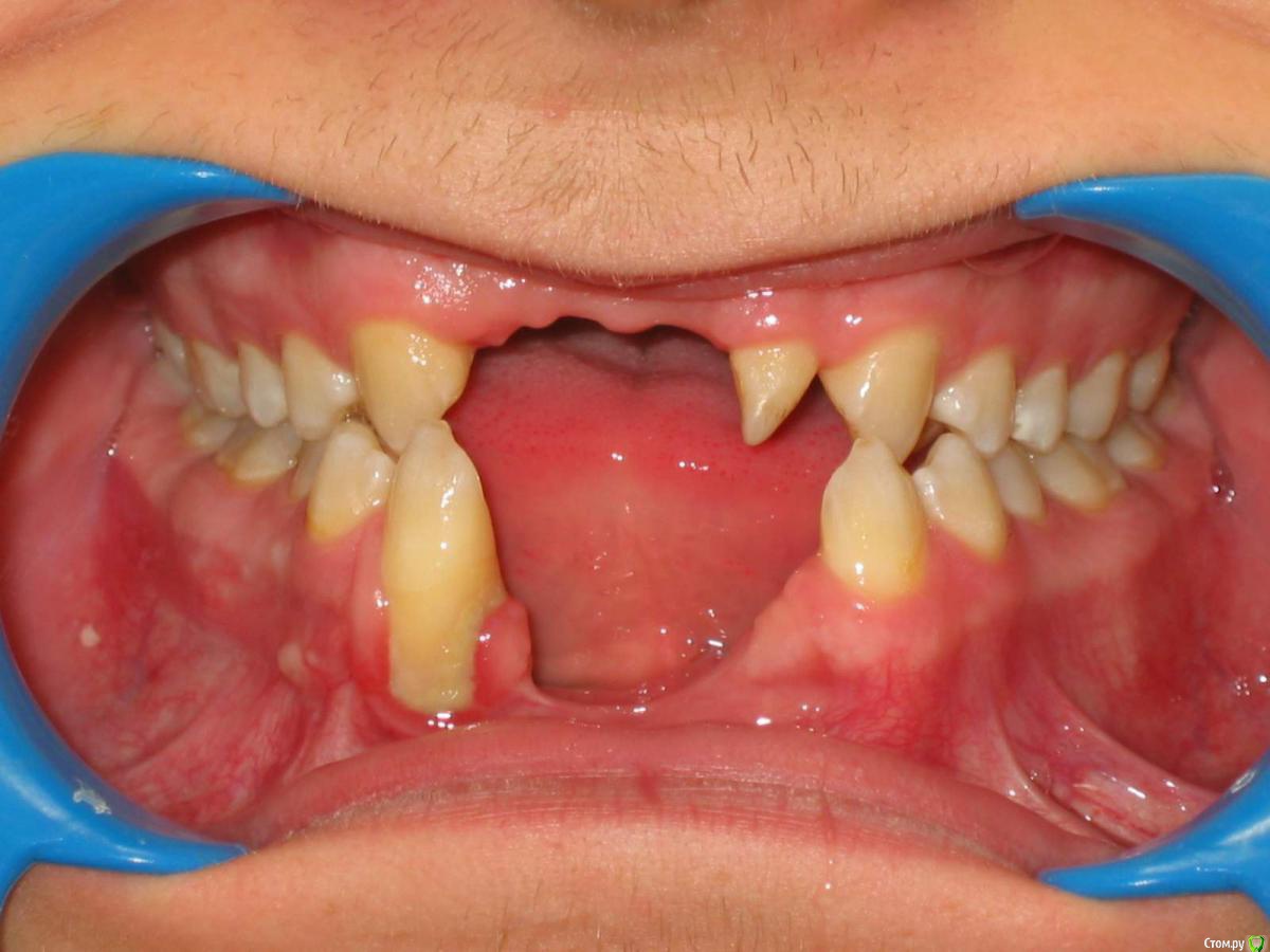
Популярный пост Большой Зеленый Опубликовано 21 декабря, 2014 Популярный пост Поделиться Опубликовано 21 декабря, 2014 Вот такой молодой человек попал ко мне .Травма пол года назад. Падение с 5 этажа лицом в строительный мусор. Многооскольчатые множественные переломы н\ч. Тогда вопрос стоял только о сохранении жизни ,а потому удалили все фрагменты и собрали "как есть" Сейчас приступили к восстановлению.Надкостницу на поднимаемом фрагменте постарался оставить по максимуму..http://s017.radikal.ru/i432/1412/cd/a7b2e8eba10d.jpg http://s019.radikal.ru/i621/1412/79/833d07f7a96e.jpg http://i057.radikal.ru/1412/b4/e9a86f583549.jpg http://s017.radikal.ru/i431/1412/92/63fac10cd8d8.jpg http://s015.radikal.ru/i332/1412/61/9ce2b02ba695.jpg http://s018.radikal.ru/i523/1412/ea/27f760548194.jpg 20 Ссылка на комментарий
Mane Опубликовано 21 декабря, 2014 Поделиться Опубликовано 21 декабря, 2014 Маловато блин Или вы планируете поднимать два раза?Не многовато от зубов отступили? 1 Ссылка на комментарий
Большой Зеленый Опубликовано 21 декабря, 2014 Автор Поделиться Опубликовано 21 декабря, 2014 Маловато блин Или вы планируете поднимать два раза?Не многовато от зубов отступили?Да ,планируется в два этапа .Слишком большой дифицит по высоте ,а отрывать крышку сундука не хотелосьСправа там есть косточка. Ссылка на комментарий
Mane Опубликовано 21 декабря, 2014 Поделиться Опубликовано 21 декабря, 2014 Я про отступ от зуба слева Ссылка на комментарий
Большой Зеленый Опубликовано 21 декабря, 2014 Автор Поделиться Опубликовано 21 декабря, 2014 Я думаю все будет хорошо. Ссылка на комментарий
Bier Опубликовано 21 декабря, 2014 Поделиться Опубликовано 21 декабря, 2014 Не фиксировали дополнительно? Ссылка на комментарий
Большой Зеленый Опубликовано 21 декабря, 2014 Автор Поделиться Опубликовано 21 декабря, 2014 Не фиксировали дополнительно?Нет.Ничего не фиксировал.Очень плотно забил губку.А еще это вошебный материал Патти .Он твердеет после выдавливания из тюбика .Я только успел его нанести и упрессовать Ссылка на комментарий
ILGAMSA Опубликовано 21 декабря, 2014 Поделиться Опубликовано 21 декабря, 2014 Маловато блин Сорвал с языка. Швы снял уже? Ссылка на комментарий
Большой Зеленый Опубликовано 21 декабря, 2014 Автор Поделиться Опубликовано 21 декабря, 2014 Сорвал с языка. Швы снял уже?Да снял . Ссылка на комментарий
carloss Опубликовано 21 декабря, 2014 Поделиться Опубликовано 21 декабря, 2014 а что за Патти, что -то новенькое? Ссылка на комментарий
Большой Зеленый Опубликовано 21 декабря, 2014 Автор Поделиться Опубликовано 21 декабря, 2014 а что за Патти, что -то новенькое?Фирма остеобиол производит. Ссылка на комментарий
carloss Опубликовано 21 декабря, 2014 Поделиться Опубликовано 21 декабря, 2014 Фирма остеобиол производит. а результаты были? Ссылка на комментарий
Большой Зеленый Опубликовано 21 декабря, 2014 Автор Поделиться Опубликовано 21 декабря, 2014 а результаты были?Пока нет.Пока только слепая вера Патрику Палаччи. На второй день он спросил у нас "Доктора,Вы видели что я делал на операциях, я похож на идиота ?" Ссылка на комментарий
Mane Опубликовано 21 декабря, 2014 Поделиться Опубликовано 21 декабря, 2014 У меня патти рассасывался Ссылка на комментарий
Большой Зеленый Опубликовано 21 декабря, 2014 Автор Поделиться Опубликовано 21 декабря, 2014 У меня патти рассасывался Ну он и должен рассасываться якобы стимулируя остеогенез.) Ссылка на комментарий
Bier Опубликовано 21 декабря, 2014 Поделиться Опубликовано 21 декабря, 2014 Я как то не заметил чтобы патти твердел... Ссылка на комментарий
Mane Опубликовано 21 декабря, 2014 Поделиться Опубликовано 21 декабря, 2014 Я как то не заметил чтобы патти твердел...Я кстати тоже Ссылка на комментарий
Большой Зеленый Опубликовано 21 декабря, 2014 Автор Поделиться Опубликовано 21 декабря, 2014 Я как то не заметил чтобы патти твердел...Ну может не насмерть, но очень плотный делается. Ссылка на комментарий
SDC Опубликовано 21 декабря, 2014 Поделиться Опубликовано 21 декабря, 2014 Как называется эта губка? Ссылка на комментарий
Maxfac Опубликовано 21 декабря, 2014 Поделиться Опубликовано 21 декабря, 2014 (изменено) Здесь бы дистрактор, имхо.Хотя без КТ сложно сказать. Изменено 21 декабря, 2014 пользователем Maxfac Ссылка на комментарий
Bier Опубликовано 21 декабря, 2014 Поделиться Опубликовано 21 декабря, 2014 Дистрактор - очень ненадежная штука. Ссылка на комментарий
Евгений30-06 Опубликовано 21 декабря, 2014 Поделиться Опубликовано 21 декабря, 2014 У меня патти рассасывался у меня он растекался Ссылка на комментарий
Maxfac Опубликовано 21 декабря, 2014 Поделиться Опубликовано 21 декабря, 2014 Дистрактор - очень ненадежная штука.За альвеолярные ничего не скажу, но на ветви работают прекрасно. Судить о выраженности дефекта без КТ не хочется. 1 Ссылка на комментарий
Большой Зеленый Опубликовано 21 декабря, 2014 Автор Поделиться Опубликовано 21 декабря, 2014 Как называется эта губка?SP-BLOCK Ссылка на комментарий
Doc Опубликовано 21 декабря, 2014 Поделиться Опубликовано 21 декабря, 2014 http://s017.radikal.ru/i432/1412/cd/a7b2e8eba10d.jpgБлизнец. Правда с разницей в 15 лет и еще верх ему почикало трубой.Мы точно такого делали в 1999 году. )) Ссылка на комментарий
Рекомендуемые сообщения
Для публикации сообщений создайте учётную запись или авторизуйтесь
Вы должны быть пользователем, чтобы оставить комментарий
Создать аккаунт
Зарегистрируйте новый аккаунт в нашем сообществе. Это очень просто!
Регистрация нового пользователяВойти
Уже есть аккаунт? Войти в систему.
Войти