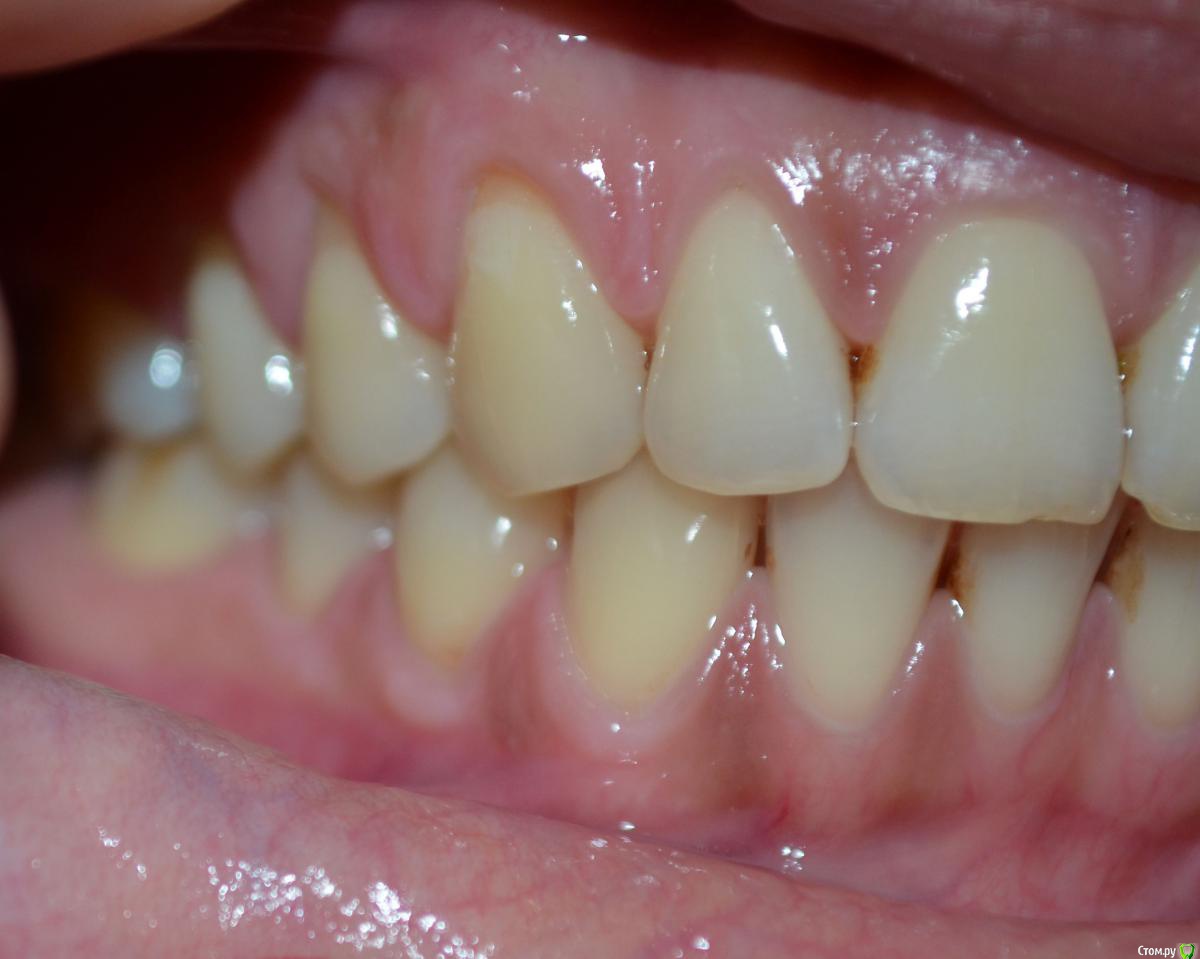
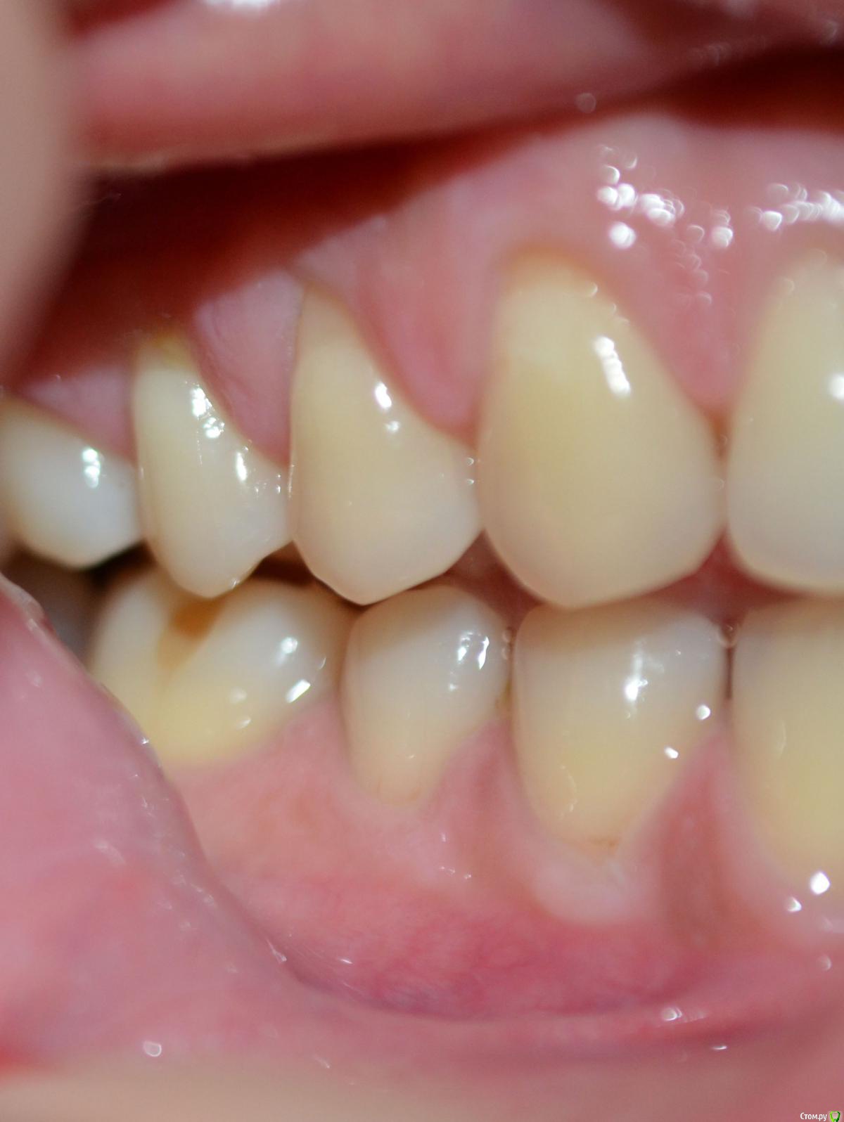
Евгения. Опубликовано 16 декабря, 2014 Поделиться Опубликовано 16 декабря, 2014 Здравствуйте! Уважаемые специалисты, помогите пожалуйста! Беспокоит рецессия десны. Осенью сказали, что это пародонтоз, снимков не делали. Закрыть рецессии предложили хирургическим путем, но оперирующий пародонтолог хочет сначала провести вестибулопластику, поскольку поставила диагноз: мелкое преддверие полости рта и складки Стильмана. Вопрос в следующем: действительно ли это пародонтоз, как лучше убрать рецессии и предотвратить их появление? Ссылка на комментарий
rivezico Опубликовано 16 декабря, 2014 Поделиться Опубликовано 16 декабря, 2014 я бы сделал без вестибулопластики. только пересадка сст , тоннельно 2 Ссылка на комментарий
Bier Опубликовано 16 декабря, 2014 Поделиться Опубликовано 16 декабря, 2014 вестибулопластика не нужна. 2 Ссылка на комментарий
Евгения. Опубликовано 17 декабря, 2014 Автор Поделиться Опубликовано 17 декабря, 2014 Спасибо за ответы! А по поводу диагноза "пародонтоз": нельзя без снимков определить? Кровоточивость десен отсутствует, из жалоб только оголение шеек зубов... Ссылка на комментарий
Bier Опубликовано 17 декабря, 2014 Поделиться Опубликовано 17 декабря, 2014 нет такого диагноза пародонтоз (т.е. вообще нет) ваш диагноз: "рецессия I класс по Миллеру." Есть диагноз пародонтит, но это не про Вас. 1 Ссылка на комментарий
Евгения. Опубликовано 17 декабря, 2014 Автор Поделиться Опубликовано 17 декабря, 2014 Большое Вам спасибо! Даже успокоили) Ссылка на комментарий
Рекомендуемые сообщения
Для публикации сообщений создайте учётную запись или авторизуйтесь
Вы должны быть пользователем, чтобы оставить комментарий
Создать аккаунт
Зарегистрируйте новый аккаунт в нашем сообществе. Это очень просто!
Регистрация нового пользователяВойти
Уже есть аккаунт? Войти в систему.
Войти