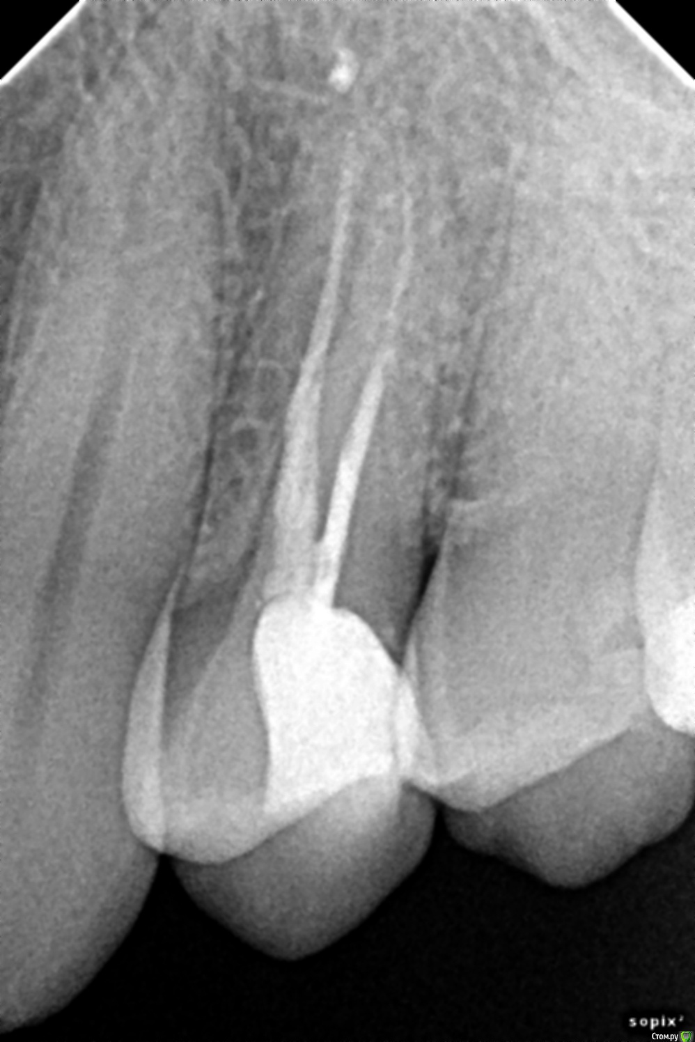
вдгиф Опубликовано 15 декабря, 2014 Поделиться Опубликовано 15 декабря, 2014 Здравствуйте,раскололся пополам зуб, стоит вопрос удалять или сохранять. Лечил 2 года назад.Посоветуйте, пожалуйста. Почему такое произошло, вроде на зубы особо не жалуюсь, всего 2 леченных в 37лет. Спасибо.Что теперь делать? 1 Ссылка на комментарий
anvladd Опубликовано 15 декабря, 2014 Поделиться Опубликовано 15 декабря, 2014 Имплант ставить Ссылка на комментарий
red_butler Опубликовано 15 декабря, 2014 Поделиться Опубликовано 15 декабря, 2014 Причина перелома в отсутствии протезирования. Зуб срочно удаляйте, возможно с непосредственной имплантацией Ссылка на комментарий
вдгиф Опубликовано 15 декабря, 2014 Автор Поделиться Опубликовано 15 декабря, 2014 (изменено) Причина перелома в отсутствии протезирования. Зуб срочно удаляйте, возможно с непосредственной имплантациейА что значит отсутствие протезирования? Коронка? Почему на снимке один корень светлее- хорошо ли залечены каналы? Изменено 15 декабря, 2014 пользователем вдгиф Ссылка на комментарий
red_butler Опубликовано 15 декабря, 2014 Поделиться Опубликовано 15 декабря, 2014 А что значит отсутствие протезирования? Коронка? Почему на снимке один корень светлее- хорошо ли залечены каналы?Да, нужно было протезировать зуб искуственной коронкойНормально пролечены каналы, но это уже не важно 1 Ссылка на комментарий
вдгиф Опубликовано 15 декабря, 2014 Автор Поделиться Опубликовано 15 декабря, 2014 Да, нужно было протезировать зуб искуственной коронкойНормально пролечены каналы, но это уже не важноСпасибо Ссылка на комментарий
Рекомендуемые сообщения
Для публикации сообщений создайте учётную запись или авторизуйтесь
Вы должны быть пользователем, чтобы оставить комментарий
Создать аккаунт
Зарегистрируйте новый аккаунт в нашем сообществе. Это очень просто!
Регистрация нового пользователяВойти
Уже есть аккаунт? Войти в систему.
Войти