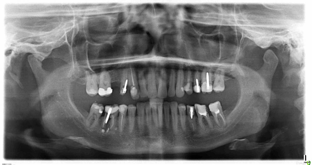
alexloco Опубликовано 15 декабря, 2014 Поделиться Опубликовано 15 декабря, 2014 (изменено) Добрый день, уважаемые доктора.У жены развалился 13 и 14, сделали снимок, пошли к докторам.И тут нас напугали: на удаление 14 и 46, а также под вопросом 25, 26 и 35. Решил посоветоваться с Вами, действительно все так плохо, или можно с этим жить?? Зубы вроде не болят. Штифты ставились лет 7 назад.Есть ли где нибудь парадантоз, или надо делать точечные снимки?Может где поставить коронки, или ввернуть имплантант? Изменено 15 декабря, 2014 пользователем alexloco Ссылка на комментарий
red_butler Опубликовано 15 декабря, 2014 Поделиться Опубликовано 15 декабря, 2014 1.4 и 4.6 точноудалять, еще несколько зубов по вопросом Ссылка на комментарий
alexloco Опубликовано 15 декабря, 2014 Автор Поделиться Опубликовано 15 декабря, 2014 (изменено) Спасибо, я наверно считаю не правильно. верхний левый на фото это 1 четверть? поменял номера в первом сообщении.1.4 корни здоровые, стоит лет 8-9, подриставрировать и пусть стоит себе?? Или это чревато чем-то? Ведь если там не правильно вкручен штифт, то его надо было удалять сразу после лечения, однако стоит и не болит. Может что с переспективой съемки не то, может под другим углом снять?? По 4.6 в принципе согласен, но может, опять же, пусть стоит, пока не начнет разваливаться?? Изменено 15 декабря, 2014 пользователем alexloco Ссылка на комментарий
Korel Опубликовано 15 декабря, 2014 Поделиться Опубликовано 15 декабря, 2014 Навскидку набросал проблемы видимые на ОРТО http://s009.radikal.ru/i310/1412/95/e7d0300c7d20.jpg Всё зависит от того что Вы хотите делать? 1. Оставить всё так как есть - следствие: различные вяло или остро протекающие осложнения.2. Планируете сделать рот , что называется "под ключ" - как уже писал выше коллега - удалять 14 и 46, в 46 уже есть резорбция(убыль) костной ткани. Чем дольше этот зуб остаётся тем больше будет прогрессировать резорбция. + полная санация полости рта, т.е. разбор зелёных стрелок и кружков. А вот затем можно думать о коронках и имплантах) 3 Ссылка на комментарий
alexloco Опубликовано 15 декабря, 2014 Автор Поделиться Опубликовано 15 декабря, 2014 Огромное спасибо.Глубоко задумался... 2 Ссылка на комментарий
Рекомендуемые сообщения
Для публикации сообщений создайте учётную запись или авторизуйтесь
Вы должны быть пользователем, чтобы оставить комментарий
Создать аккаунт
Зарегистрируйте новый аккаунт в нашем сообществе. Это очень просто!
Регистрация нового пользователяВойти
Уже есть аккаунт? Войти в систему.
Войти