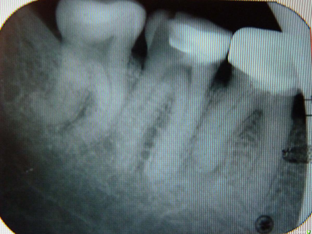
Робинзон Опубликовано 12 декабря, 2014 Поделиться Опубликовано 12 декабря, 2014 От 47-го откололся кусок (часть внутренней стенки), не депульпирован, под большой пломбой. 46-й под коронкой, не беспокоит. Какие посоветуете варианты восстановления? Ссылка на комментарий
red_butler Опубликовано 12 декабря, 2014 Поделиться Опубликовано 12 декабря, 2014 1. Удалить зуб мудрости2. Пролечит седьмой зуб3. снять коронку с шестого зуба и лечить корневые каналы4. протезировать шестой и седьмой зубы 1 Ссылка на комментарий
SDC Опубликовано 12 декабря, 2014 Поделиться Опубликовано 12 декабря, 2014 1. Удалить зуб мудрости2. Пролечит седьмой зуб3. снять коронку с шестого зуба и лечить корневые каналы4. протезировать шестой и седьмой зубы+скороее всего потребуется депульпирование 7-го Ссылка на комментарий
Робинзон Опубликовано 13 декабря, 2014 Автор Поделиться Опубликовано 13 декабря, 2014 Спасибо.Подскажите, а 8-ку по какой причине нужно удалять? Ссылка на комментарий
red_butler Опубликовано 13 декабря, 2014 Поделиться Опубликовано 13 декабря, 2014 Спасибо.Подскажите, а 8-ку по какой причине нужно удалять?ухудшает гигиену, и по сути привела к кариесу седьмого зуба. Если пересмотрите отношение к индивидуальной гигиене, и будете вылизывать восьмой зуб как... у кота - то можно и оставить Ссылка на комментарий
Рекомендуемые сообщения
Для публикации сообщений создайте учётную запись или авторизуйтесь
Вы должны быть пользователем, чтобы оставить комментарий
Создать аккаунт
Зарегистрируйте новый аккаунт в нашем сообществе. Это очень просто!
Регистрация нового пользователяВойти
Уже есть аккаунт? Войти в систему.
Войти