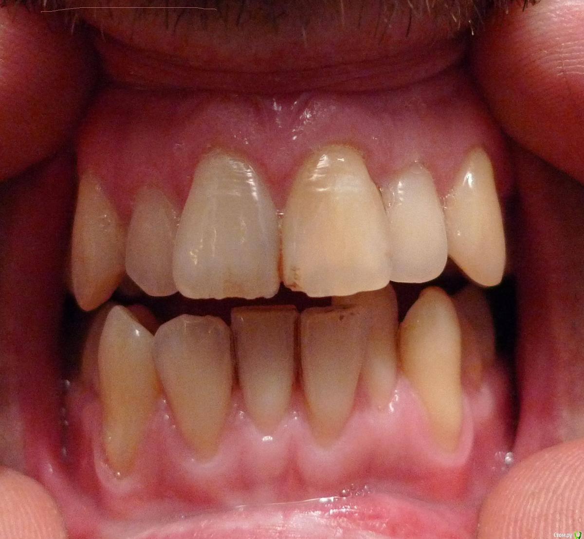
Изя Ш Опубликовано 9 декабря, 2014 Поделиться Опубликовано 9 декабря, 2014 День добрый!Год назад сделал вистибулопластику так как вряч сказал что проблемма с опусканием десны в будущем возможно. За последний год после операции десна опустилась на 2мм -4 мм где-то и оголились шейки зубов . Особенно нижней челюсти. На вопрос что это и почему ортадонты отвечают что надо выравнивать прикус. Якобы в этом пичина. Прикус действительно не ровны особенно нижний челюсти. Подскажите как поступить? 1 Ссылка на комментарий
SashaDoc Опубликовано 11 декабря, 2014 Поделиться Опубликовано 11 декабря, 2014 Ортодонтическое лечение + закрытие рецессий десны. Ссылка на комментарий
Ayrat_zub Опубликовано 11 декабря, 2014 Поделиться Опубликовано 11 декабря, 2014 День добрый!Год назад сделал вистибулопластику так как вряч сказал что проблемма с опусканием десны в будущем возможно. За последний год после операции десна опустилась на 2мм -4 мм где-то и оголились шейки зубов . Особенно нижней челюсти. На вопрос что это и почему ортадонты отвечают что надо выравнивать прикус. Якобы в этом пичина. Прикус действительно не ровны особенно нижний челюсти. Подскажите как поступить?http://forum.stom.ru/topic/4655-patcientam/ Ссылка на комментарий
Ayrat_zub Опубликовано 11 декабря, 2014 Поделиться Опубликовано 11 декабря, 2014 Ортодонтическое лечение + закрытие рецессий десны.я бы местами поменял) 3 Ссылка на комментарий
Изя Ш Опубликовано 13 декабря, 2014 Автор Поделиться Опубликовано 13 декабря, 2014 Понял с начало делать закрытие десен. Какие технологии есть расскажите пожалуйста ? Ссылка на комментарий
IvanK Опубликовано 15 декабря, 2014 Поделиться Опубликовано 15 декабря, 2014 Понял с начало делать закрытие десен. Какие технологии есть расскажите пожалуйста ? поищите через поискили в ручную в разделе для Врачай , хирургическая стоматология 1 Ссылка на комментарий
red_butler Опубликовано 16 декабря, 2014 Поделиться Опубликовано 16 декабря, 2014 если не страшно - посмотрите здесь http://forum.stom.ru/topic/18245-klinicheskie-sluchai/ 1 Ссылка на комментарий
Рекомендуемые сообщения
Для публикации сообщений создайте учётную запись или авторизуйтесь
Вы должны быть пользователем, чтобы оставить комментарий
Создать аккаунт
Зарегистрируйте новый аккаунт в нашем сообществе. Это очень просто!
Регистрация нового пользователяВойти
Уже есть аккаунт? Войти в систему.
Войти