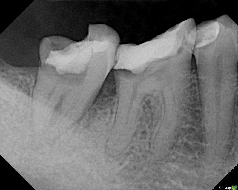
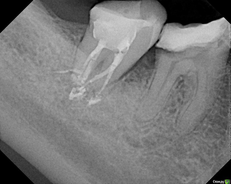
St616 Опубликовано 1 декабря, 2014 Поделиться Опубликовано 1 декабря, 2014 (изменено) Добрый день ! Прошу вас посмотрите пломбировку каналов метапексом После пломбировки 2 дня сильная боль при нажатии и вообще.Сегодня пятый день, зуб поднывает и еще качается. Дело в том что у меня грудной ребенок, я его кормлю и поэтому не хотелось может более сильных, но не безопасных средств. Нервы удаляли с анастезией без лекарств. Тк был предложен только мышьяк. А у меня ребенок га гв. Пломбировка каналов и окончатильная очистка уже через 7 дней в другой клинике, хотели гуттаперчей. Но тк зуб качался сделали метапексом, врач вроде хоть и молодой но оч грамотный. Меня волнует небольшое темное пятно в одном канале под пломбой, это что воздух там? Не из ха этого ди боль сохраняется, сейчас уже небольшая. Воач по снимку сказал, что всё хорошо, а боль из за того что метапекс вышел за пределы. Фото до и после Изменено 1 декабря, 2014 пользователем St616 Ссылка на комментарий
Salma Опубликовано 1 декабря, 2014 Поделиться Опубликовано 1 декабря, 2014 не вижу снимка Ссылка на комментарий
St616 Опубликовано 1 декабря, 2014 Автор Поделиться Опубликовано 1 декабря, 2014 не вижу снимкасСнимок в предыдущей теме , посмотрите пжл Ссылка на комментарий
St616 Опубликовано 1 декабря, 2014 Автор Поделиться Опубликовано 1 декабря, 2014 не вижу снимкаСнимок прикоепила Ссылка на комментарий
Рекомендуемые сообщения
Для публикации сообщений создайте учётную запись или авторизуйтесь
Вы должны быть пользователем, чтобы оставить комментарий
Создать аккаунт
Зарегистрируйте новый аккаунт в нашем сообществе. Это очень просто!
Регистрация нового пользователяВойти
Уже есть аккаунт? Войти в систему.
Войти