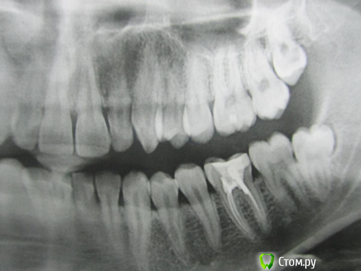
lainux Опубликовано 29 ноября, 2014 Поделиться Опубликовано 29 ноября, 2014 (изменено) Уважаемые врачи, добрый вечер. Два месяца назад установили штифт, зуб периодически стал беспокоит, чувствуется при постукивании по нему небольшая боль. Пошёл к врачу которая делала со снимком, платный кабинет, переделывать отказалась, что её ошибки нет и каналы запломбированы хорошо, сказала попить антибиотики, что продлит неудаление зуба, расстроился нереально. По пути проконсультировался в другой стоматологии, сказали что не долечен канал со штифтом который и надо переделывать, но никак не удалять. Прошу помочь и проконсультировать как быть Изменено 29 ноября, 2014 пользователем lainux Ссылка на комментарий
IvanK Опубликовано 30 ноября, 2014 Поделиться Опубликовано 30 ноября, 2014 Здравствуйте, лечение с последующим протезированием Ссылка на комментарий
Shaid Опубликовано 30 ноября, 2014 Поделиться Опубликовано 30 ноября, 2014 Зуб перелечивать(желательно у эндодонтиста). Ссылка на комментарий
lainux Опубликовано 30 ноября, 2014 Автор Поделиться Опубликовано 30 ноября, 2014 (изменено) А какие могут быть аргументы? Врач который делала говорит, что всё правильно сделала, гарантийный ли это случай Изменено 30 ноября, 2014 пользователем lainux Ссылка на комментарий
Бобр Опубликовано 30 ноября, 2014 Поделиться Опубликовано 30 ноября, 2014 Зуб перелечивать и далее ортопедическое восстановление коронки зуба. Антибиотики этот зуб не вылечат, это точно Ссылка на комментарий
lainux Опубликовано 30 ноября, 2014 Автор Поделиться Опубликовано 30 ноября, 2014 Зуб перелечивать и далее ортопедическое восстановление коронки зуба. Антибиотики этот зуб не вылечат, это точното есть который стоматолог делал, тот и должен переделывать? Ссылка на комментарий
red_butler Опубликовано 30 ноября, 2014 Поделиться Опубликовано 30 ноября, 2014 то есть который стоматолог делал, тот и должен переделывать?Это Вы решайте сами. Если хотите сохранить зуб, нужен специалист владеющий современными протоколами эндодонтического лечения, работающий с коффердамом и в идеале микроскопом, и после лечения зуб протезировать. Ссылка на комментарий
lainux Опубликовано 30 ноября, 2014 Автор Поделиться Опубликовано 30 ноября, 2014 (изменено) Это Вы решайте сами. Если хотите сохранить зуб, нужен специалист владеющий современными протоколами эндодонтического лечения, работающий с коффердамом и в идеале микроскопом, и после лечения зуб протезировать.благодарю за ответ. этот стоматолог наверно не владеет. просто смысл браться было, деньги только. не стоит думаю так оставлять это. Изменено 30 ноября, 2014 пользователем lainux Ссылка на комментарий
Shaid Опубликовано 3 декабря, 2014 Поделиться Опубликовано 3 декабря, 2014 Возможно что техническое оснащение клиники(м.б. бюджетная или эконом-класс), в которой был пролечен зуб, не такое высокое.Зуб лучше перелечить(скорее всего, уже в другом месте). нужен специалист владеющий современными протоколами эндодонтического лечения, работающий с коффердамом и в идеале микроскопом +1 Ссылка на комментарий
Рекомендуемые сообщения
Для публикации сообщений создайте учётную запись или авторизуйтесь
Вы должны быть пользователем, чтобы оставить комментарий
Создать аккаунт
Зарегистрируйте новый аккаунт в нашем сообществе. Это очень просто!
Регистрация нового пользователяВойти
Уже есть аккаунт? Войти в систему.
Войти