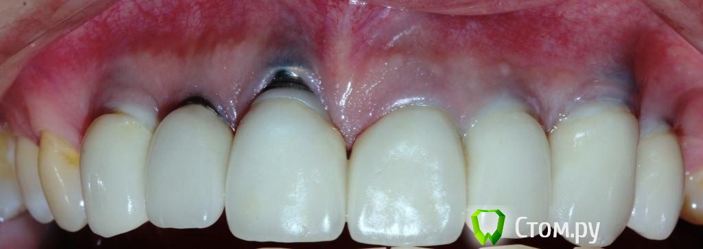
zzkz Опубликовано 27 ноября, 2014 Поделиться Опубликовано 27 ноября, 2014 2 года назад установили имплантаты, ДЦ абатменты и коронки. На сегодня такая ситуация. Имплантаты интегрированы.+ ко всему форма зубов не устраивает(крупные). Налета на фронтальных нет вообще(пользуется ирригатором только во фронте), на нижних дистальных околопришеечный налет и в области них совсем нет ЗКПД. Какая система имплантатов она не знает. Если придется снимать коронки, что посоветуете. Какой набор может универсальный приобрести? Насколько реально закрыть рецессии? В какой последовательности лучше идти? 1 Ссылка на комментарий
ILGAMSA Опубликовано 27 ноября, 2014 Поделиться Опубликовано 27 ноября, 2014 (изменено) это астра13, 11, 21, 23 - широкая платформа 4,512 - узкая платформа 3,0остальные - стандартная платформа 3,5/4,0отвертка обычная от любого израиля подходит.Только торки там другие. Изменено 27 ноября, 2014 пользователем ILGAMSA Ссылка на комментарий
ILGAMSA Опубликовано 27 ноября, 2014 Поделиться Опубликовано 27 ноября, 2014 все можно постараться исправить мягко-тканной аугментацией 1 Ссылка на комментарий
zzkz Опубликовано 27 ноября, 2014 Автор Поделиться Опубликовано 27 ноября, 2014 это астра13, 11, 21, 23 - широкая платформа 4,512 - узкая платформа 3,0остальные - стандартная платформа 3,5/4,0отвертка обычная от любого израиля подходит.Только торки там другие.спасибо! Какие торки на астре?Мягкотканную планирую.Стоит ли для этого снимать всю конструкцию или так же как при рецессии на зубах? Как думаете по поводу нижних. Там уже перимукозит. Есть легкая кровоточивость. Ссылка на комментарий
zzkz Опубликовано 27 ноября, 2014 Автор Поделиться Опубликовано 27 ноября, 2014 Так же планируем ортодонтию. ФДМ аналогичны у них? Думаю снять нижние пока Ссылка на комментарий
Фарид Расулыч Опубликовано 27 ноября, 2014 Поделиться Опубликовано 27 ноября, 2014 Плюсую за попытку попробовать мягкотканно Ссылка на комментарий
Den5 Опубликовано 27 ноября, 2014 Поделиться Опубликовано 27 ноября, 2014 Плюсую за попытку попробовать мягкотканноСработает тоннель+ССТ,только там где не оголены импланты Ссылка на комментарий
ILGAMSA Опубликовано 27 ноября, 2014 Поделиться Опубликовано 27 ноября, 2014 Какие торки на астре? Стоит ли для этого снимать всю конструкцию или так же как при рецессии на зубах? Как думаете по поводу нижних. Там уже перимукозит. Есть легкая кровоточивость. Лучше снять.Перимукозит обратим.Торки 3,0 - 153,5/4,0 - 204,5 - 25 2 Ссылка на комментарий
zzkz Опубликовано 27 ноября, 2014 Автор Поделиться Опубликовано 27 ноября, 2014 Убрать все коронки, ФДМ и платстика? ФДМ подходит ли к Израилю, у Астры вроде шестигранник? Ссылка на комментарий
zzkz Опубликовано 27 ноября, 2014 Автор Поделиться Опубликовано 27 ноября, 2014 Сработает тоннель+ССТ,только там где не оголены имплантыСделаю выложу. Думаю что слегка оголившийся реально закрыть. Ссылка на комментарий
Bier Опубликовано 27 ноября, 2014 Поделиться Опубликовано 27 ноября, 2014 Фдм у астры свои! Ничего не подходит Ссылка на комментарий
Bier Опубликовано 27 ноября, 2014 Поделиться Опубликовано 27 ноября, 2014 Я бы 6 раз подумал прежде чем браться... Но согласен, что только мягкими тканями можно выводить 1 Ссылка на комментарий
zzkz Опубликовано 27 ноября, 2014 Автор Поделиться Опубликовано 27 ноября, 2014 Я бы 6 раз подумал прежде чем браться... Но согласен, что только мягкими тканями можно выводитьПодумал и не 6 раз. Но очень хочу сделать. В хорошем смысле руки чешуться.Рецессии на зубах успешно, все для микрохирургии(кроме микроскопа) есть и не пылитсяНа отпротезированных имплантатах не делал еще. Вот почему бы нет? Скажите какие сложности могут ждать, чтобы во всеоружии. Ссылка на комментарий
zzkz Опубликовано 27 ноября, 2014 Автор Поделиться Опубликовано 27 ноября, 2014 Фдм у астры свои! Ничего не подходитможно прикупить, главное что отвертки аналогичные Ссылка на комментарий
Bier Опубликовано 27 ноября, 2014 Поделиться Опубликовано 27 ноября, 2014 Подумал и не 6 раз. Но очень хочу сделать. В хорошем смысле руки чешуться.Рецессии на зубах успешно, все для микрохирургии(кроме микроскопа) есть и не пылитсяНа отпротезированных имплантатах не делал еще. Вот почему бы нет? Скажите какие сложности могут ждать, чтобы во всеоружии. Имплантаты не зубы, запрсто может стать хуже, чем было. А так все тоже самое. 1 Ссылка на комментарий
Евгений Ходыкин Опубликовано 27 ноября, 2014 Поделиться Опубликовано 27 ноября, 2014 Подумал и не 6 раз. Но очень хочу сделать. В хорошем смысле руки чешуться.Рецессии на зубах успешно, все для микрохирургии(кроме микроскопа) есть и не пылитсяНа отпротезированных имплантатах не делал еще. Вот почему бы нет? Скажите какие сложности могут ждать, чтобы во всеоружии. Если пациент согласен на "эксперименты", то пробуйте. Но верно сказано, супраструктуры снять лучше. Перекручивать такое количество имплантатов мало какой пациент захочет... 1 Ссылка на комментарий
SashaDoc Опубликовано 27 ноября, 2014 Поделиться Опубликовано 27 ноября, 2014 Фдм у астры свои! Ничего не подходитОт Superline подходят, только размерность по каталогу не совпадает Ссылка на комментарий
Bier Опубликовано 27 ноября, 2014 Поделиться Опубликовано 27 ноября, 2014 От Superline подходят, только размерность по каталогу не совпадаетПод размеры 3.5 и 4.0 подходят заглушки/фдм-ы? Я слышал только под платформу 4,5? Ссылка на комментарий
SashaDoc Опубликовано 27 ноября, 2014 Поделиться Опубликовано 27 ноября, 2014 Под размеры 3.5 и 4.0 подходят заглушки/фдм-ы? Я слышал только под платформу 4,5?Да, под 4,5 точно подходят (вынужденно проверял). Насчет меньшего диаметра не в курсе Ссылка на комментарий
Rafael_Gogyan Опубликовано 28 ноября, 2014 Поделиться Опубликовано 28 ноября, 2014 Зуккеллии показывал подобные случаи с успешным закрытием десной. Ссылка на комментарий
pit Опубликовано 28 ноября, 2014 Поделиться Опубликовано 28 ноября, 2014 Я бы удалил 12,11 и 23 имплантаты (выкрутив по резьбе!!!!!), в их области поработал бы с десной и временными коронками. И сделал бы мост.Какая линия улыбки? 1 Ссылка на комментарий
zzkz Опубликовано 28 ноября, 2014 Автор Поделиться Опубликовано 28 ноября, 2014 Подскажите кто астрой торгует в Самаре и Москве астрой? Я бы удалил 12,11 и 23 имплантаты (выкрутив по резьбе!!!!!), в их области поработал бы с десной и временными коронками. И сделал бы мост.Какая линия улыбки?Линия улыбки низкая, там у нас еще ботакс присутствует, губки пухленькие.Имплантаты удаляете майзенгеровским набором? Ссылка на комментарий
AlexanderGudkov Опубликовано 28 ноября, 2014 Поделиться Опубликовано 28 ноября, 2014 Пухлость губок ботоксом не усиливается) Ссылка на комментарий
SashaDoc Опубликовано 28 ноября, 2014 Поделиться Опубликовано 28 ноября, 2014 Подскажите кто астрой торгует в Самаре и Москве астрой? В Москве денсплай, прогуглите контакты 1 Ссылка на комментарий
zzkz Опубликовано 28 ноября, 2014 Автор Поделиться Опубликовано 28 ноября, 2014 Пухлость губок ботоксом не усиливается)хз чем ей делали, она сама толком не поняла.Но сделали мне кажется не очень то и удачно 1 Ссылка на комментарий
Рекомендуемые сообщения
Для публикации сообщений создайте учётную запись или авторизуйтесь
Вы должны быть пользователем, чтобы оставить комментарий
Создать аккаунт
Зарегистрируйте новый аккаунт в нашем сообществе. Это очень просто!
Регистрация нового пользователяВойти
Уже есть аккаунт? Войти в систему.
Войти