Перейти к содержанию
Стоматология для всех

ВНЧС - есть ли проблема, как определиться с тактикой


doctoresse

Рекомендуемые сообщения

Коллеги! Прошу совета по дальнейшей тактике. Есть ли здесь симптоматика ВНЧС, связаны ли симптомы с протезированием в/ч?

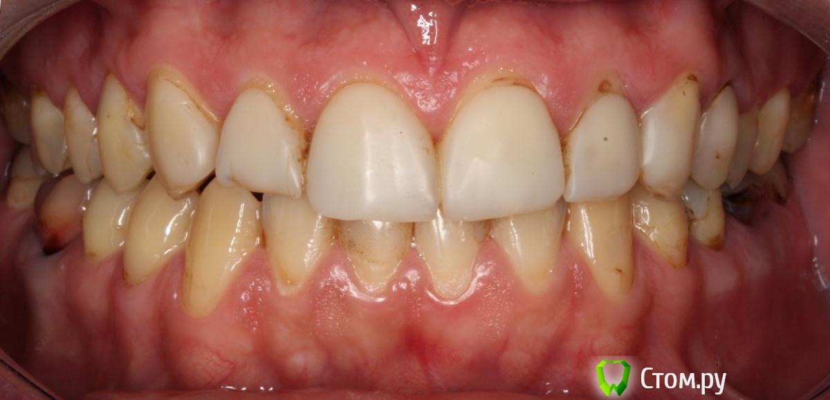
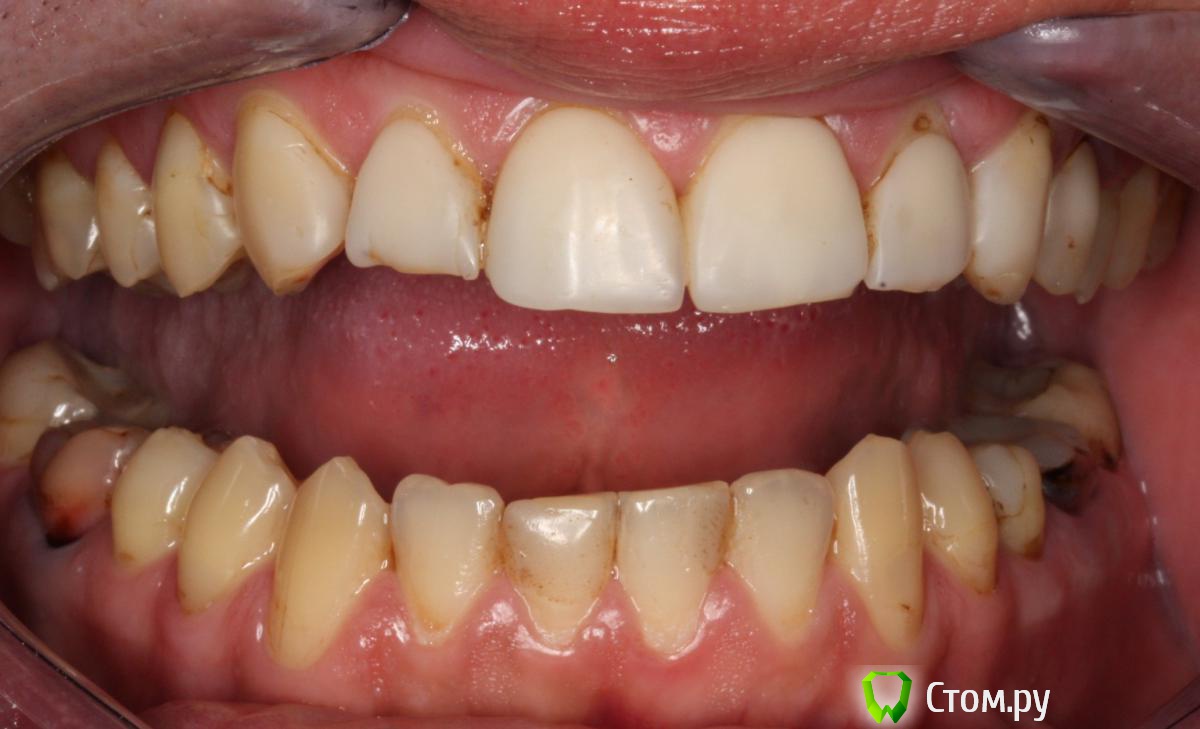
Пациент обратился с целью санации полости рта и тотального эстетического цельнокерамического протезирования.

Жалобы: на множественные дефекты ранее выполненных композитных реставраций, застревание пищи между зубами, запах из полости рта, неудовлетворительную эстетику улыбки

Анамнез: стоматологическое лечение проходил более 5 лет назад; наблюдается у терапевта по поводу гипертонической болезни, принимает постоянно гипотензивные препараты (давление 130/80 при приеме препаратов); курит.

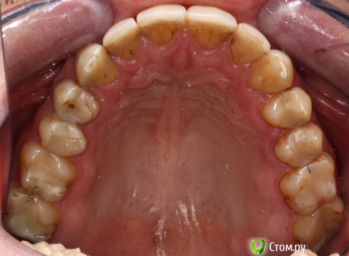
Диагноз: хронический генерализованный пародонтит лёгкой степени тяжести;множественный глубокий кариес;осложнённый кариес 16, 14, 26, 27, 37, 34 зубовстетический дефект улыбки

Лечение:

- проф гигиена п/р;

- эндодонтическое лечение 16, 14, 26, 27, 37, 34;

- диагностический Wax-Up в/ч, н/ч (в привычной окклюзии);

- цельнокерамическое протезирование 15, 13, 12, 11, 21, 22, 23, 24, 25 зубов IPS e.Max (высота прикуса не менялась, препарирование по силикон ключу, оттиски с использованием лицевой дуги, временное протезирование зубов в/ч по Wax-Up, на временном  протезировании находился 2 месяца);

- временное протезирование 17, 16, 14, 26, 27 зубов Protemp 4.

 

     Лечение 17 и 47 зубов временно отложено в связи с отъездом пациента в отпуск. Планируется цельнокерамическое протезирование зубов н/ч. Коронки 14, 16, 26, 27 на этапе изготовления. На момент перерыва в лечении жалобы на какие-либо боли, дискомфорт при смыкании зубов и приёме пищи пациент не предъявлял.

                                           ____________________________________

 

Спустя около 4х недель после фиксации реставраций на в/ч и перерыве в лечении, пациент сообщил о следующей симптоматике (со слов пациента):

 

«Около 10 дней назад начали болеть зубы…причем ВСЕ!!! Сначала ощущение такое что они чешутся, потом как будто тесно им и боль нарастает, местный ибупрофен помогает на 3 часа, потом все повторяется. Если не принимать таблетку, то боль меняется так: зуд-теснота-ощущение гиперчувствительности - как будто огонь в полости рта. Проходит только от таблеток, появляется через 2-3 часа после приема, кеторол помогает на 7-9 часов. Простуды не было, легкая боль в горле вроде была. Еще впервые так долго держится краснота от солнечного ожога, обычно проходило за сутки, сейчас уже 3 дня держится. Боли усиливаются после приема алкоголя, приема пищи – на горячее-холодное реагировали как повышенная чувствительность. Перед отлетом в отпуск было много сильных проф. стрессов

Находясь в отпуске (Майами), пациент обратился за консультацией к неврологу по поводу этой симптоматики. Общее обследование не дало результатов, за исключением незначительных щелчков в внчс при открывании рта.

Был поставлен диагноз: Цефалгия, Артралгия ВНЧС. Исключена невралгия. Назначено: Преднизолон 60/40/20 на 6 дней, Флексерил.

На фоне назначенного лечения наступило улучшение, симптомы прошли.

 

post-39496-0-59195800-1416218003_thumb.jpg

post-39496-0-79027500-1416218008_thumb.jpg

post-39496-0-84351800-1416218012_thumb.jpg

Ссылка на комментарий
Есть ли здесь симптоматика ВНЧС, связаны ли симптомы с протезированием в/ч?

 

 

Судя по щелчкам, есть конечно, "...симптоматика ВНЧС". Но, эти звуки были и до протезирования. 

 

Что же касается описанной неврологической симптоматики, то здесь может быть всё гораздо сложней. Мало очень объективной информации, двух фото зубов и губ мало, конечно...

 

Кстати, а почему такая траектория нижнечелюстного пути в начале открытия, не задумывались?:

 

http://i9.pixs.ru/storage/7/9/3/post394960_2076757_14768793.jpg

 

Слева какое соотношение зубных рядов, ...ближе к Классу II?

 

То, что реставрировались верхние резцы, тоже может о многом рассказать. 

  • Поддерживаю 1
Ссылка на комментарий

Скажите центральная линия н/ч возвращается к центру при дальнейшем открывании? Это максимальное открытие? Дефлексия. Может жев.мышца справа или мед.крыловидная слева причина дефлексии?

Ссылка на комментарий

Что же касается описанной неврологической симптоматики, то здесь может быть всё гораздо сложней. Мало очень объективной информации, двух фото зубов и губ мало, конечно...

 

Кстати, а почему такая траектория нижнечелюстного пути в начале открытия, не задумывались?:

 

Слева какое соотношение зубных рядов, ...ближе к Классу II?

 

То, что реставрировались верхние резцы, тоже может о многом рассказать. 

 

 

Спасибо за Ваш ответ. Все гораздо сложней - например?

Понимаю, что информации мало, но увы.. Какую первичную инфо в идеале нужно бы собрать?

 

Траектория... Центральная линия изначально не совпадает. Соотношение по I классу.

 

Про центральные резцы интересная заметка конечно...

 

post-39496-0-42758700-1416244507_thumb.jpg

Ссылка на комментарий
doctoresse

 

 

Лечение:

- проф гигиена п/р;

- эндодонтическое лечение 16, 14, 26, 27, 37, 34;

- диагностический Wax-Up в/ч, н/ч (в привычной окклюзии);

- цельнокерамическое протезирование 15, 13, 12, 11, 21, 22, 23, 24, 25 зубов IPS e.Max (высота прикуса не менялась, препарирование по силикон ключу, оттиски с использованием лицевой дуги, временное протезирование зубов в/ч по Wax-Up, на временном  протезировании находился 2 месяца);

- временное протезирование 17, 16, 14, 26, 27 зубов Protemp 4.

 

 

Есть ли признаки парафункций?  закусывания щек,    и.т.д.

Признаков скрытой. мышечной  гиперактивности  (фасетки стирания, клиновидных дефектов....на вылаженных фото не видно.

а есть фото после проведенного лечения??????Нужно фото нижней челюсти. Почему протезирование ограничено 15-25 зубами.  верхней челюсти.... В общем много вопросов ?    Дайте больше инфы.

 

 

Ссылка на комментарий

Для публикации сообщений создайте учётную запись или авторизуйтесь

Вы должны быть пользователем, чтобы оставить комментарий

Создать аккаунт

Зарегистрируйте новый аккаунт в нашем сообществе. Это очень просто!

Регистрация нового пользователя

Войти

Уже есть аккаунт? Войти в систему.

Войти
×
×
  • Создать...
Вверх