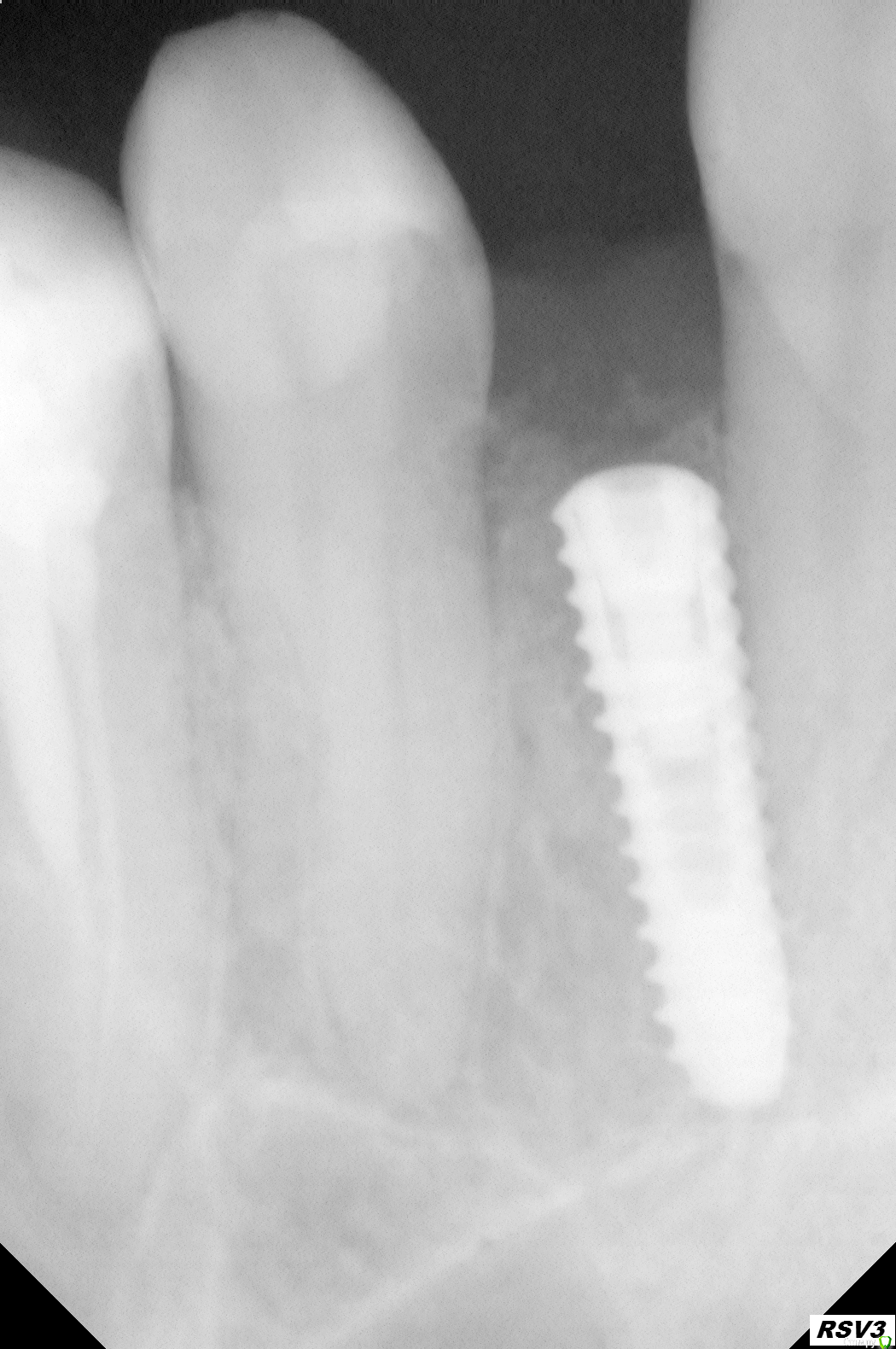
Godunov Опубликовано 29 октября, 2014 Поделиться Опубликовано 29 октября, 2014 Добрый день!Имплант вкручен 3 месяца назад, походил с расширителем и когда мой врач сделала снимки, то задумалась.Мой лечащий врач стоматолог, сначала остановилась на решении что надо выкручивать и вкручивать с учетом угла корней. Мне не хотелось (риск что имплант может неприжиться). Убедила аргументом, что 5 зуб живой и полном расцвете сил и жалко его потерять если имплант под нагрузкой его повредит.Сейчас мне говорят что лучше оставить как есть, потому что хирург-имплантолог сказал, что при выкручивании можно повредить корни. Профи, как правильнее будет сделать? С уважением Имплант внизу,справа, между 5 и 7 зубом. Мне 46 лет.http://i004.radikal.ru/1410/64/dbb1c3924912.jpghttp://s016.radikal.ru/i335/1410/54/6c9acae821b8.jpg Ссылка на комментарий
IvanK Опубликовано 29 октября, 2014 Поделиться Опубликовано 29 октября, 2014 Здравствуйте, я бы проверил , жив ли зуб, если ничего не беспокоит - временное, далее постоянное протезирование. Удалить можно очень аккуратно, если что 2 Ссылка на комментарий
Zborzh Опубликовано 29 октября, 2014 Поделиться Опубликовано 29 октября, 2014 Не обязательно,что Имплантат касается корня,они могут быть в разных плоскостях.сделайте КТ 3 Ссылка на комментарий
Bier Опубликовано 29 октября, 2014 Поделиться Опубликовано 29 октября, 2014 Я бы не торопился удалять, согласен с Иваном 1 Ссылка на комментарий
Godunov Опубликовано 29 октября, 2014 Автор Поделиться Опубликовано 29 октября, 2014 Я бы не торопился удалять, согласен с Иваном Спасибо за ответы всем! Ок, так и оставлю.В субботу пойду протезировать. Седьмой мне подпилят и все будет нормально. Ссылка на комментарий
Bier Опубликовано 29 октября, 2014 Поделиться Опубликовано 29 октября, 2014 сделайте временную коронку пока 1 Ссылка на комментарий
IvanK Опубликовано 30 октября, 2014 Поделиться Опубликовано 30 октября, 2014 сделайте временную коронку пока+1 1 Ссылка на комментарий
Heatshock Опубликовано 30 октября, 2014 Поделиться Опубликовано 30 октября, 2014 Соглашусь с колллегами по поводу временной коронки. Исходя из предоставленных снимков, есть вероятность, что 7ку нужно будет весьма сильно запилить. Это нужно для того чтобы адекватно проснять оттиск, создать полноценный контактный пункт и для нормальной гигиены.Временная коронка необходима на срок минимум 2 месяца, для того чтобы создать правильный десневой контур, проверить полноценность контактных пунктов с соседними зубами, проверить гигиену (не происходит ли застревание пищи между 6 и 7 зубом) ну и посмотрите, как реагирует 5ка. Тем не менее я бы рекомендовал сделать КТ этой области. А постоянную работу нужно будет выполнять на индивидуальном абатменте.Ниже примерный контур коронки: http://nyazo.jp/6__6WcgJ.png 3 Ссылка на комментарий
SDC Опубликовано 30 октября, 2014 Поделиться Опубликовано 30 октября, 2014 +1+1 1 Ссылка на комментарий
Zoyten Опубликовано 31 мая, 2015 Поделиться Опубликовано 31 мая, 2015 (изменено) Неужели у меня такая же беда? Изменено 31 мая, 2015 пользователем Zoyten Ссылка на комментарий
Bier Опубликовано 31 мая, 2015 Поделиться Опубликовано 31 мая, 2015 Создайте свою тему! Читайте правила форума!!! 1 Ссылка на комментарий
Рекомендуемые сообщения
Для публикации сообщений создайте учётную запись или авторизуйтесь
Вы должны быть пользователем, чтобы оставить комментарий
Создать аккаунт
Зарегистрируйте новый аккаунт в нашем сообществе. Это очень просто!
Регистрация нового пользователяВойти
Уже есть аккаунт? Войти в систему.
Войти