zepo Опубликовано 22 октября, 2014 Поделиться Опубликовано 22 октября, 2014 Добрый день, уважаемые!Не знаю что уже делать, прошу вашей помощи!Начало моей истории здесь http://forum.stom.ru/topic/27012-bol-posle-udaleniia/Прошел уже месяц, а боли с правой стороны лица невыносимые.Мой врач сперва ставил диагноз ограниченный остеомиелит лунки зуба, вскрывал и делал кюретаж.Потом послал сделать рентген суставов ВНЧС и поставил диагноз артрит-артроз внчс с правой стороны.Сейчас делаю компрессы, увч, электрофорез, помогает только компресс.Сейчас врач послал сделать КТ всей челюсти, в направлении написал диагноз артрит-артроз внчс.Сделал КТ, дали мне заключение, но такое чувство что обследовали только пазухи.Вот прикладываю.Также открыл диск но не нашел профиль правого сустава, мне кажется мне сделали не то обследование.Прошу ознакомится с КТ и помочь мне советом.Вот ссылка на архив с dicom файлами, пароль 123.http://www.fayloobmennik.net/4253798Заранее благодарю! Ссылка на комментарий
dr-krasnov Опубликовано 22 октября, 2014 Поделиться Опубликовано 22 октября, 2014 http://s04.radikal.ru/i177/1410/30/4fa7a6e04379.jpg Пульпит 28http://i078.radikal.ru/1410/ed/a57d0ee9cf60.jpg Небный корень 26http://s51.radikal.ru/i131/1410/f3/e13b50dc39ac.jpg Сама лунка С суставами все нормально. Ни артроза, ни артрита. 1 Ссылка на комментарий
zepo Опубликовано 22 октября, 2014 Автор Поделиться Опубликовано 22 октября, 2014 http://s04.radikal.ru/i177/1410/30/4fa7a6e04379.jpg Пульпит 28http://i078.radikal.ru/1410/ed/a57d0ee9cf60.jpg Небный корень 26http://s51.radikal.ru/i131/1410/f3/e13b50dc39ac.jpg Сама лунка С суставами все нормально. Ни артроза, ни артрита.Скажите, откуда может быть такая боль?Удаляли правый нижний зуб мудрости.Боль при пальпации в районе сустава.Может все таки остеомиелит лунки зуба?Его можно определить по КТ? Ссылка на комментарий
zepo Опубликовано 23 октября, 2014 Автор Поделиться Опубликовано 23 октября, 2014 Сама лунка С суставами все нормально. Ни артроза, ни артрита. Доктор Краснов, я только сейчас понял что вы приложили скриншот лунки 18 зуба.Проблема у меня после удаления 48 зуба, болит уже два месяца и сейчас вот болит.Я покрутил снимки и вот что то нашел. Это не может быть осколком? Ссылка на комментарий
dr-krasnov Опубликовано 23 октября, 2014 Поделиться Опубликовано 23 октября, 2014 Может быть небольшой фрагмент да, для осколка мелковат . . .По поводу сустава, для исключения патологии следует делать не КТ а МРТ и искать того, кто в этом понимает. Ссылка на комментарий
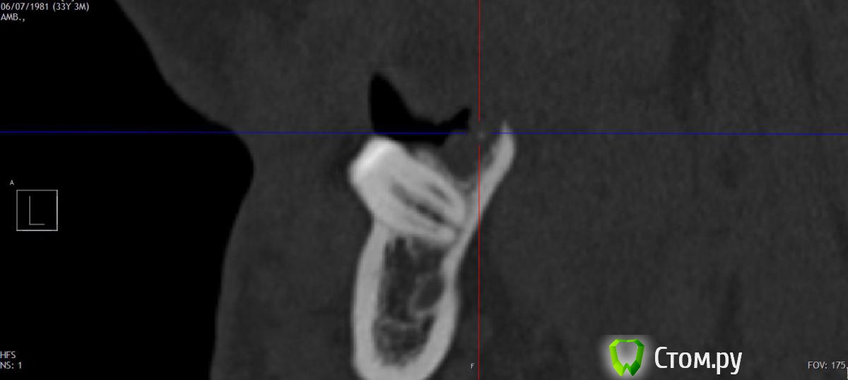
dr-krasnov Опубликовано 23 октября, 2014 Поделиться Опубликовано 23 октября, 2014 http://s020.radikal.ru/i703/1410/82/b2e5265b9dbc.png Лунка 48. Ссылка на комментарий
zepo Опубликовано 23 октября, 2014 Автор Поделиться Опубликовано 23 октября, 2014 http://s020.radikal.ru/i703/1410/82/b2e5265b9dbc.png Лунка 48. Скажите что это??Мои два скриншота тоже 48. Я так понимаю там что то не в порядке? Ссылка на комментарий
red_butler Опубликовано 23 октября, 2014 Поделиться Опубликовано 23 октября, 2014 Я так понимаю там что то не в порядке? на снимке проблем в области 4.8 не вижу Ссылка на комментарий
zepo Опубликовано 23 октября, 2014 Автор Поделиться Опубликовано 23 октября, 2014 А можно определить остеомиелит по снимку или нет? Ссылка на комментарий
Рекомендуемые сообщения
Для публикации сообщений создайте учётную запись или авторизуйтесь
Вы должны быть пользователем, чтобы оставить комментарий
Создать аккаунт
Зарегистрируйте новый аккаунт в нашем сообществе. Это очень просто!
Регистрация нового пользователяВойти
Уже есть аккаунт? Войти в систему.
Войти