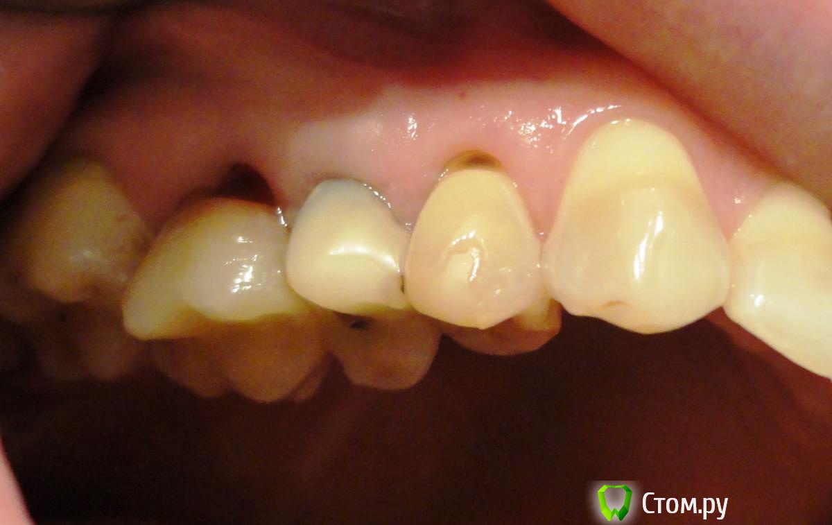
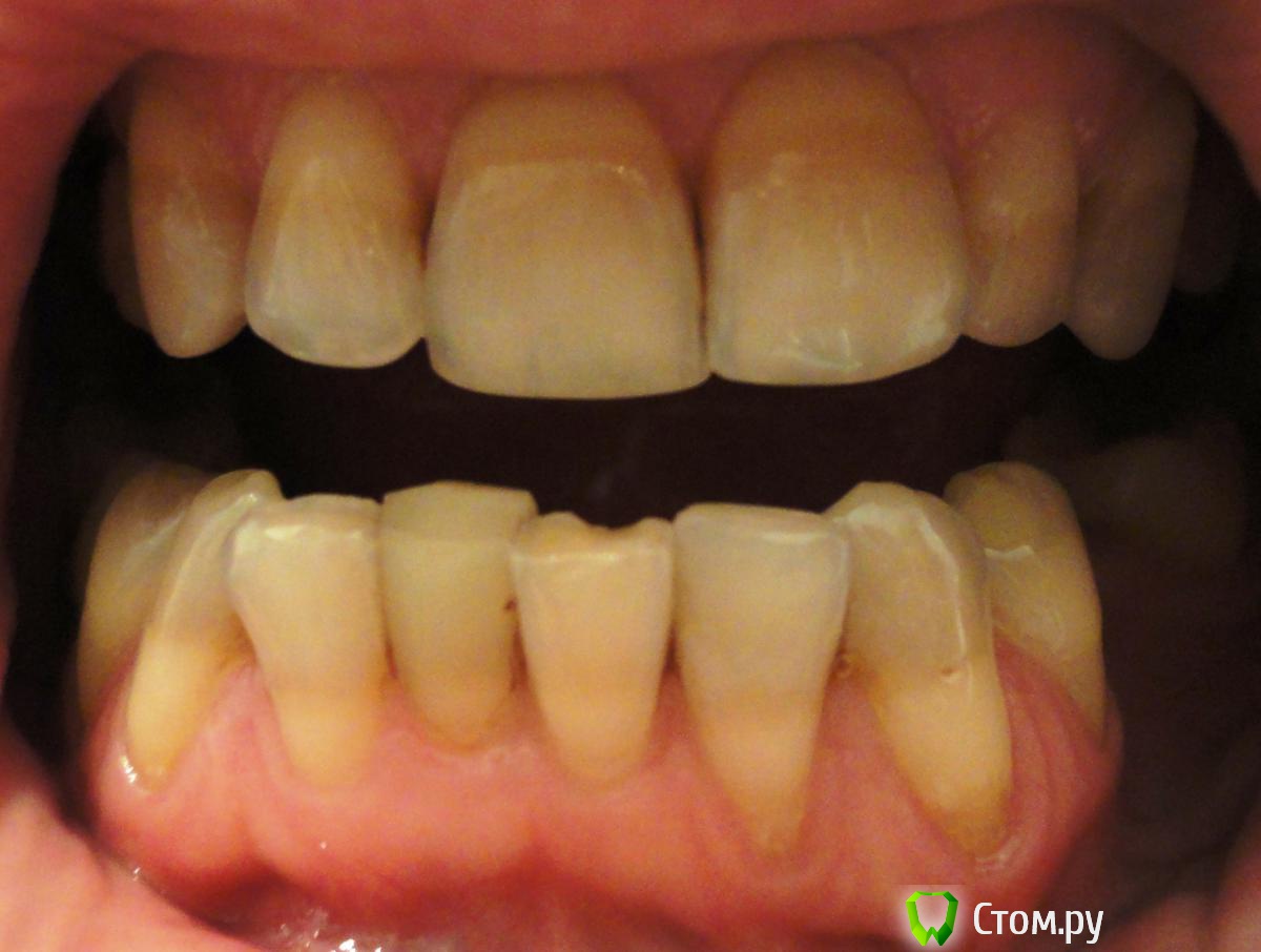
Необыкновенная Опубликовано 17 октября, 2014 Поделиться Опубликовано 17 октября, 2014 (изменено) Добрый день, уважаемые стоматологи!Прошу совета:Фото № 1 - рецессия десны на нижних зубах. Вопрос - что можно сделать? Что, в 2-х словах, представляет из себя методика / (операция) / варианты? Какова гарантия приживаемости? Надолго ли хватает? Фото № 2 - из-за той же рецессии и клиновидных дефектов, появилось оголение корней (конкретные на фото 4, 5, 6 - пойдут под коронки). У 6-ки корень красный (резорциновый вроде говорили?). Вопрос - т.к. после установки коронок будут видны корни из-за ушедшей десны, ВОЗМОЖНО ЛИ хирургически воссоздать нормальный десневой край и сосочки? Розовую керамическую десну не хочу ((Фото № 3 - ОПТГ - прилагаю на всякий случай, по кости вроде пока всё в норме. Или уже нет?(просьба не пугаться глубокой коричневой полосы на зубах, я не курю и посещаю гигиениста иногда )) - это тетрациклин, отбеливание не помогает (и больно). И просьба не пугаться скученности, ортодонтическое лечение было давно (всё вернулось), готовлюсь к протезированию. Спасибо всем заранее за рассмотрение вопроса и консультации!!! Изменено 17 октября, 2014 пользователем Необыкновенная Ссылка на комментарий
SDC Опубликовано 17 октября, 2014 Поделиться Опубликовано 17 октября, 2014 (изменено) Добрый день, уважаемые стоматологи!Прошу совета:Фото № 1 - рецессия десны на нижних зубах. Вопрос - что можно сделать? Что, в 2-х словах, представляет из себя методика / (операция) / варианты? Какова гарантия приживаемости? Надолго ли хватает? Фото № 2 - из-за той же рецессии и клиновидных дефектов, появилось оголение корней (конкретные на фото 4, 5, 6 - пойдут под коронки). У 6-ки корень красный (резорциновый вроде говорили?). Вопрос - т.к. после установки коронок будут видны корни из-за ушедшей десны, ВОЗМОЖНО ЛИ хирургически воссоздать нормальный десневой край и сосочки? Розовую керамическую десну не хочу ((Фото № 3 - ОПТГ - прилагаю на всякий случай, по кости вроде пока всё в норме. Или уже нет?(просьба не пугаться глубокой коричневой полосы на зубах, я не курю и посещаю гигиениста иногда )) - это тетрациклин, отбеливание не помогает (и больно). И просьба не пугаться скученности, ортодонтическое лечение было давно (всё вернулось), готовлюсь к протезированию. Спасибо всем заранее за рассмотрение вопроса и консультации!!!Фото № 1 Возможно закрыть множественные рецессии десны, желательно ортодонтическое лечение. В 2-х словах :подтяжка десны с утолщением биотипа за счет трансплантации слизисто-десневого трансплантата с неба. Хватает надолго. Гарантия - это означает, что доктор или клиника берет на себя обязательства по устранению осложнений и/или проведение повторной операции без доп. оплаты. Гарантировать реакцию Вашего организма доктор не может. Фото №2 нет необходимости в закрытии рецессии. Просто коронки на 4, 5, 6-й зубы. Межзубные сосочки в норме. Обнажение корней на 6-м зубе произошло за счет его выдвижения в сторону дефекта з. ряда на н.ч. На 4-м - дефект твердых тканей в пришеечной области скорее всего из-за перегрузки Фото № 3 С костной тканью в области зубов относительный порядок, есть необходимость в восстановлении непрерывности зубных рядов с применением имплантации. Изменено 17 октября, 2014 пользователем SDC Ссылка на комментарий
Необыкновенная Опубликовано 19 октября, 2014 Автор Поделиться Опубликовано 19 октября, 2014 Доктор, благодарю Вас за такой обстоятельный ответ! Да, ортодонтическое лечение неизбежно, оно скорее всего будет, просто из за проблемы с ВНЧС нахожусь в поиске опытного ортопеда - гнатолога, а такой специалист должен работать в связке с ортодонтом (одно неудачное ортодонт.лечение уже было), к тому же не могу определиться, что и в какой последовательности надо начинать делать. С чего начинать, с хирургии, ортодонтии? Еще раз спасибо за ответ ! Ссылка на комментарий
SDC Опубликовано 19 октября, 2014 Поделиться Опубликовано 19 октября, 2014 Доктор, благодарю Вас за такой обстоятельный ответ! Да, ортодонтическое лечение неизбежно, оно скорее всего будет, просто из за проблемы с ВНЧС нахожусь в поиске опытного ортопеда - гнатолога, а такой специалист должен работать в связке с ортодонтом (одно неудачное ортодонт.лечение уже было), к тому же не могу определиться, что и в какой последовательности надо начинать делать. С чего начинать, с хирургии, ортодонтии?Еще раз спасибо за ответ !Раз так , то начать надо с утверждения выбранного специалиста. Он составит план лечения, что и в какой последовательности и т.д.Пожалуйста. Ссылка на комментарий
Необыкновенная Опубликовано 19 октября, 2014 Автор Поделиться Опубликовано 19 октября, 2014 Это понятно, надо найти своего доктора )). Не понятно, кто из специалистов должен быть главным в этой схеме, т.е. ведущим на протяжении всего процесса... Ортодонт, ортопед, (а теперь ещё и гнатолог, которым может быть любой из вышеуказанных спец-в) или может вообще хирург))) Думается мне, что ортопед... Но ортопед не скажет, когда делать хирургический этап, заранее, или где то посередине, ортопед опять отправит по другим специалистам)) Ссылка на комментарий
SDC Опубликовано 20 октября, 2014 Поделиться Опубликовано 20 октября, 2014 Это понятно, надо найти своего доктора )). Не понятно, кто из специалистов должен быть главным в этой схеме, т.е. ведущим на протяжении всего процесса... Ортодонт, ортопед, (а теперь ещё и гнатолог, которым может быть любой из вышеуказанных спец-в) или может вообще хирург))) Думается мне, что ортопед... Но ортопед не скажет, когда делать хирургический этап, заранее, или где то посередине, ортопед опять отправит по другим специалистам))Ошибочное мнение. Чаще всего ортопед и гнатолог - это один Доктор, он является ведущим специалистом и составляет план лечения, который осуществляется командой специалистов. Консультации узких специалистов возможны и, скорее всего, необходимы в Вашем случае для составления плана лечения и его предварительного расчета. 1 Ссылка на комментарий
Необыкновенная Опубликовано 20 октября, 2014 Автор Поделиться Опубликовано 20 октября, 2014 Ошибочное мнение. Чаще всего ортопед и гнатолог - это один Доктор, он является ведущим специалистом и составляет план лечения, который осуществляется командой специалистов. Консультации узких специалистов возможны и, скорее всего, необходимы в Вашем случае для составления плана лечения и его предварительного расчета.Ну значит я двигаюсь в верном направлении, раз ищу своего ортопеда с опытом гнатологии, а пока не нашла (таких специалистов можно пересчитать по пальцам, причем одной руки) хожу к терапевту перелечиваю периодонтит там, где это необходимо, что пойдёт уж точно под коронки, а также сделала год назад синуслифтинг, где он был показан, консультируюсь и по другим, н-р, таким как здесь, вопросам)))Благодарю ещё раз! Ссылка на комментарий
SDC Опубликовано 20 октября, 2014 Поделиться Опубликовано 20 октября, 2014 Ну значит я двигаюсь в верном направлении, раз ищу своего ортопеда с опытом гнатологии, а пока не нашла (таких специалистов можно пересчитать по пальцам, причем одной руки) хожу к терапевту перелечиваю периодонтит там, где это необходимо, что пойдёт уж точно под коронки, а также сделала год назад синуслифтинг, где он был показан, консультируюсь и по другим, н-р, таким как здесь, вопросам)))Благодарю ещё раз!Лучше бы Вы отложили подготовку полости рта к протезированию по самостоятельно составленному плану, на основании различных консультаций. В частности: "уж точно пойдет под коронки" - имеет значение кто определил, что именно точно?и"сделала год назад синус-лифтинг, где он был показан" - кем показан и по каким данным и в соответствии с каким планом протезирования? и т.д. если Вы знаете, что ортопедов-гнатологов немного, то у Вас есть все шансы за 2 недели определиться со специалистом и клиникой. 1 Ссылка на комментарий
Необыкновенная Опубликовано 20 октября, 2014 Автор Поделиться Опубликовано 20 октября, 2014 по самостоятельно составленному плану, на основании различных консультаций. Согласна, выглядит не вполне адекватно со стороны)))Но, эти назначения я не делала себе сама, мероприятия выполнены после консультаций у 3 - х разных ортопедов, мнения которых совпали. Собственно, я у одного из этих докторов и планировала протезирование, в той клинике, где был предложен наиболее прозрачный и полный план лечения с комплексным подходом, там же начала с синус лифтинга, т.к. после этой операции мес. 9 надо ждать. Всё планировалось в одной клинике, "под ключ", клиника хорошая, я и сейчас надеюсь там остаться. Но, уже после старта, получив сформированную косточку в месте синуса, удалив в плановом порядке премоляр - антагонист, к лету меня стали беспокоить проблемы с суставом - я стала слышать щелканье и видеть смещение челюсти в сторону при открывании рта. И в чём загвоздка - записавшись в свою клинику на повторную, совместную консультацию к 4-м специалистам (ортопед + хирург + ортодонт + терапевт), чтобы уточнить план лечения, пожаловаться на сустав, и начать уже терапевтическую подготовку, захватив с собой все результаты обследований - я услышала, что план, собственно, не меняется, и специалистов гнатологов в клинике нет, и мне советуют не тянуть с протезированием, дабы не усугубить состояние сустава (с чем нельзя не согласиться).... И, более того, ортодонт ... готова "обойтись только нижними брекетами"!... Даже я, будучи не врачом, понимаю, что это несколько авантюрно... Да, и ещё, мне не предложили никаких дополнительных исследований и рассчётов в специальных программах, с целью прогнозирования результата... Так что, эти факты заставили меня засомневаться... Думаю, это сделал бы любой здравомыслящий человек на моём месте. Так что для меня сейчас головоломка - и клинику менять не хочется, но и гнатолог опытный нужен, к которому, если уходить, то и протезироваться надо будет у него, и работать надо будет с тем ортодонтом, с которым он работает, в связке, "сработавшись"...А в клинике, где проплачен аванс, где я начала готовиться, работают хорошие имплантологи, мне понравилось, как работает мой терапевт, мне нравится, как там поставлена стерилизация и ассистирование докторам, понравились работы техников, в конце концов, мне внушил доверие менеджмент! Но там нет гнатолога! И, насколько я поняла, хромает уровень ортодонтов. Головоломка не из простых.... Ссылка на комментарий
SDC Опубликовано 20 октября, 2014 Поделиться Опубликовано 20 октября, 2014 (изменено) Согласна, выглядит не вполне адекватно со стороны)))Но, эти назначения я не делала себе сама, мероприятия выполнены после консультаций у 3 - х разных ортопедов, мнения которых совпали. Собственно, я у одного из этих докторов и планировала протезирование, в той клинике, где был предложен наиболее прозрачный и полный план лечения с комплексным подходом, там же начала с синус лифтинга, т.к. после этой операции мес. 9 надо ждать. Всё планировалось в одной клинике, "под ключ", клиника хорошая, я и сейчас надеюсь там остаться. Но, уже после старта, получив сформированную косточку в месте синуса, удалив в плановом порядке премоляр - антагонист, к лету меня стали беспокоить проблемы с суставом - я стала слышать щелканье и видеть смещение челюсти в сторону при открывании рта. И в чём загвоздка - записавшись в свою клинику на повторную, совместную консультацию к 4-м специалистам (ортопед + хирург + ортодонт + терапевт), чтобы уточнить план лечения, пожаловаться на сустав, и начать уже терапевтическую подготовку, захватив с собой все результаты обследований - я услышала, что план, собственно, не меняется, и специалистов гнатологов в клинике нет, и мне советуют не тянуть с протезированием, дабы не усугубить состояние сустава (с чем нельзя не согласиться).... И, более того, ортодонт ... готова "обойтись только нижними брекетами"!... Даже я, будучи не врачом, понимаю, что это несколько авантюрно... Да, и ещё, мне не предложили никаких дополнительных исследований и рассчётов в специальных программах, с целью прогнозирования результата... Так что, эти факты заставили меня засомневаться... Думаю, это сделал бы любой здравомыслящий человек на моём месте. Так что для меня сейчас головоломка - и клинику менять не хочется, но и гнатолог опытный нужен, к которому, если уходить, то и протезироваться надо будет у него, и работать надо будет с тем ортодонтом, с которым он работает, в связке, "сработавшись"...А в клинике, где проплачен аванс, где я начала готовиться, работают хорошие имплантологи, мне понравилось, как работает мой терапевт, мне нравится, как там поставлена стерилизация и ассистирование докторам, понравились работы техников, в конце концов, мне внушил доверие менеджмент! Но там нет гнатолога! И, насколько я поняла, хромает уровень ортодонтов. Головоломка не из простых....Да уж. Но зато Вы уже знаете почти всех гнатологов Если заочно выбрали ведущим врачом гнатолога, то нужно быть морально готовой к тотальному протезированию. Изменено 20 октября, 2014 пользователем SDC Ссылка на комментарий
Необыкновенная Опубликовано 20 октября, 2014 Автор Поделиться Опубликовано 20 октября, 2014 Но зато Вы уже знаете почти всех гнатологов В том то и дело, что знаю только пока 2-3 фамилии, но ни к кому пока не попала((( - первый гнатолог (точнее первая) - практикует в Твери - именно она была моим первым ортодонтом 15 лет назад. Результат - сами видите на снимках. За диагностический комплекс у неё надо отдать от 50000 - чтоб только диагноз точный поставить и узнать цену + сроки всего лечения. Поэтому не спешу.- Второй гнатолог, к которому я просто сочла бы за счастье попасть - практикует очень далеко от Москвы - в Волгограде. Я бы поехала, но говорят, к нему ооочень трудно попасть, ооочень большие очереди на аппараты, и далековато, т.к. вдруг что то заболит, не налетаешься. Но я бы всё равно рискнула бы, если бы согласился принять...- Третий гнатолог, которого рекомендуют многие здесь - заведует раскрученной, небезызвестной клиникой в Москве, т.н. центр междисциплинарной стоматологии (соответственно, ооочень дорогая клиника) - нигде в интернете нет отзывов от вылечившихся пациентов, или хотя бы кому стало лучше и удалось добиться стойкой ремиссии. Не спешу. Все остальные, менее маститые и раскрученные, работают по тем или иным методикам, но отзывов, чтобы внушилось доверие - пока тоже нет...Так что увы и ах. Пока нет. Печально Ссылка на комментарий
Необыкновенная Опубликовано 20 октября, 2014 Автор Поделиться Опубликовано 20 октября, 2014 Если заочно выбрали ведущим врачом гнатолога, то нужно быть морально готовой к тотальному протезированию. А вот это вроде не совсем так? Или ошибаюсь? У доктора Skipa вроде лечение длительное, но протезирование в результате не обязательно тотальное... А как же ортодонтия? Она разве не в помощь, как альтернатива тоталу? Ссылка на комментарий
SDC Опубликовано 20 октября, 2014 Поделиться Опубликовано 20 октября, 2014 (изменено) А вот это вроде не совсем так? Или ошибаюсь? У доктора Skipa вроде лечение длительное, но протезирование в результате не обязательно тотальное... А как же ортодонтия? Она разве не в помощь, как альтернатива тоталу? Попробуйте задать этот вопрос Д-ру, я не его доверенное лицо. Изменено 20 октября, 2014 пользователем SDC Ссылка на комментарий
Необыкновенная Опубликовано 20 октября, 2014 Автор Поделиться Опубликовано 20 октября, 2014 то нужно быть морально готовой к тотальному протезированию. Заметьте, не я это сказала))) Доктору уже вопросы задала)))Спасибо! Ссылка на комментарий
SDC Опубликовано 20 октября, 2014 Поделиться Опубликовано 20 октября, 2014 Заметьте, не я это сказала))) Доктору уже вопросы задала)))Спасибо! Ну так зачем переспрашиваете на форуме? Д-р Skip весьма известный специалист, пользующийся уважением коллег Ссылка на комментарий
Необыкновенная Опубликовано 21 октября, 2014 Автор Поделиться Опубликовано 21 октября, 2014 Ну так зачем переспрашиваете на форуме? Д-р Skip весьма известный специалист, пользующийся уважением коллегА я не переспрашивала. Мой вопрос на форуме касался возможности и прогноза хирургического восстановления десны в рецессии. Вы очень обстоятельно ответили, дав рекомендации по необходимости ортодонтии. Ну и далее была беседа на тему всех остальных сопутствующих проблем. Случай то действительно непростой... Ещё раз спасибо за общение. Ссылка на комментарий
Рекомендуемые сообщения
Для публикации сообщений создайте учётную запись или авторизуйтесь
Вы должны быть пользователем, чтобы оставить комментарий
Создать аккаунт
Зарегистрируйте новый аккаунт в нашем сообществе. Это очень просто!
Регистрация нового пользователяВойти
Уже есть аккаунт? Войти в систему.
Войти