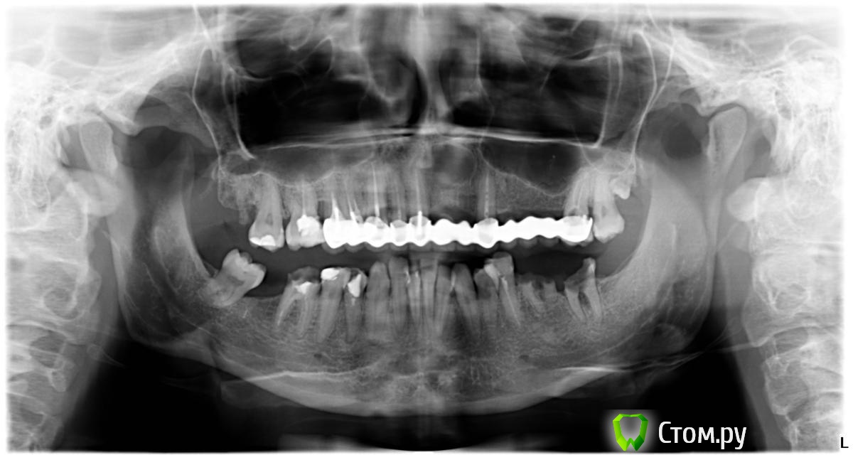
kamranchick Опубликовано 16 октября, 2014 Поделиться Опубликовано 16 октября, 2014 Доброй день уважаемые коллеги!Имеется вопрос, в начале следующей недели планируется удаление корней 3.6 и зуба 3.7С последующей имплантацицией.Так как это первая работа моя в дистальных отделах то есть вопросы.Помимо атравматичного удаления, стоит ли аугментировать лунку( в наличии есть alpha bio graft)И через сколько ориентировочно можно планировать имплантацию?Пациентка молодая, 30лет, системных заболеваний нет.Спасибо Ссылка на комментарий
kamranchick Опубликовано 16 октября, 2014 Автор Поделиться Опубликовано 16 октября, 2014 В дальнейшем планируется снятие мостовидных протезов и замена на имлпантаты Ссылка на комментарий
hemchik Опубликовано 16 октября, 2014 Поделиться Опубликовано 16 октября, 2014 на верхней челюсти киста? Ссылка на комментарий
kamranchick Опубликовано 16 октября, 2014 Автор Поделиться Опубликовано 16 октября, 2014 Пациент сегодня пришел, делали резекцию фронта, видимо без тщательной очистки, отправили на к/т, завтра посмотрим что там. А так, все снимать, лечить, и протезировать заново Ссылка на комментарий
kamranchick Опубликовано 16 октября, 2014 Автор Поделиться Опубликовано 16 октября, 2014 Со слов пациента, такое состояние полости рта, после автомобильной аварии Ссылка на комментарий
red_butler Опубликовано 16 октября, 2014 Поделиться Опубликовано 16 октября, 2014 Ограничиться бы только удалением Ссылка на комментарий
syrovovec Опубликовано 16 октября, 2014 Поделиться Опубликовано 16 октября, 2014 Не нужно ничего в лунки,удаляйте аккуратно...я еще матрасный шов кинул бы. Ссылка на комментарий
kamranchick Опубликовано 16 октября, 2014 Автор Поделиться Опубликовано 16 октября, 2014 Матрацный? Тоже что и П образный? Любый шов Фридмана)) Ссылка на комментарий
kamranchick Опубликовано 16 октября, 2014 Автор Поделиться Опубликовано 16 октября, 2014 Ограничиться бы только удалением только удаления будет достаточно? Ссылка на комментарий
syrovovec Опубликовано 16 октября, 2014 Поделиться Опубликовано 16 октября, 2014 Матрацный? Тоже что и П образный? Любый шов Фридмана))Да Ссылка на комментарий
red_butler Опубликовано 16 октября, 2014 Поделиться Опубликовано 16 октября, 2014 только удаления будет достаточно?Большего по ОПГ не скажу, фото будут? Ссылка на комментарий
kamranchick Опубликовано 16 октября, 2014 Автор Поделиться Опубликовано 16 октября, 2014 Большего по ОПГ не скажу, фото будут?Могу еще срезы к/т прислать, фото не успею сделать, пациент во вторник придет Ссылка на комментарий
bullbull Опубликовано 16 октября, 2014 Поделиться Опубликовано 16 октября, 2014 34 и 35 восстанавливаются? Похоже там разрушение до уровня кости. Ссылка на комментарий
kamranchick Опубликовано 17 октября, 2014 Автор Поделиться Опубликовано 17 октября, 2014 34 и 35 восстанавливаются? Похоже там разрушение до уровня кости. план таков, что, начинаем с удаления, затем в течении 2 месяцев готовим полость рта к имплантации Ссылка на комментарий
Михаил Демурчян Опубликовано 24 октября, 2014 Поделиться Опубликовано 24 октября, 2014 (изменено) Добрый день!Условия позволяют Вам сделать все одномоментно - удаление, костную пластику, имплантацию.Желаем удачи! Изменено 24 октября, 2014 пользователем Михаил Демурчян Ссылка на комментарий
victor57 Опубликовано 25 октября, 2014 Поделиться Опубликовано 25 октября, 2014 я бы тоже, если по КТ картина позволяет, удалил корни и поставил 2 импланта, присыпался крошкой и сверху мембраной. Ссылка на комментарий
Bier Опубликовано 25 октября, 2014 Поделиться Опубликовано 25 октября, 2014 Удалить, положить коллагенновую губку и сверху ушить кетгутом Ссылка на комментарий
zzkz Опубликовано 25 октября, 2014 Поделиться Опубликовано 25 октября, 2014 Удалить, положить коллагенновую губку и сверху ушить кетгутомА она какую роль сыграет?Я ее активно использую, а вот есть ли польза не знаю Ссылка на комментарий
red_butler Опубликовано 25 октября, 2014 Поделиться Опубликовано 25 октября, 2014 А она какую роль сыграет? стабилизатор сгустка, мне больше нравится колапол Ссылка на комментарий
zzkz Опубликовано 25 октября, 2014 Поделиться Опубликовано 25 октября, 2014 несколько раз отмечал под ним отсутствие сгустка вообще, убирал, а там запаааах.Может и не с ним связано. Ссылка на комментарий
vvshleiko Опубликовано 25 октября, 2014 Поделиться Опубликовано 25 октября, 2014 Доктор же написал, это его первая работа в дистальном отделе!Зачем советовать одномоментно? И владеет ли он методиками НКР?Для начала достаточно: Атравматичное удаление и через два-три месяца имплантация. 4 Ссылка на комментарий
zzkz Опубликовано 25 октября, 2014 Поделиться Опубликовано 25 октября, 2014 Доктор же написал, это его первая работа в дистальном отделе!Зачем советовать одномоментно? И владеет ли он методиками НКР?Для начала достаточно: Атравматичное удаление и через два-три месяца имплантация.более предсказуемо. согласен с Вами 1 Ссылка на комментарий
kamranchick Опубликовано 26 октября, 2014 Автор Поделиться Опубликовано 26 октября, 2014 Пару дней назад прием пациентки закончился, удалил атравматично 7 зуб и 6 зуб, далее промыл лунки Хлоргексидином 0,05%, провел кюретаж лунки ушил П-образным швом, "хвостики с язычной стороны" шовным материалом Vicryl 4-0, ориентировочно операция планируется на 10января. Ссылка на комментарий
reMaToreH Опубликовано 30 октября, 2014 Поделиться Опубликовано 30 октября, 2014 Главное не получить альвеолит, то бишь посмотреть пациентку черз 2-3 дня, чтобы не потерять кость перед имплантацией Ссылка на комментарий
pigmaleon Опубликовано 30 октября, 2014 Поделиться Опубликовано 30 октября, 2014 Коллеги, подскажите! при постановке импланта в области 22( очень узкий гребень) - кортикальная пластика с вестибулярной стороны достаточно интимно обхватывала имплант, присыпал немного BIO-Gen MIX. Торк не супер, около25, стоит ли ждать успеха?! 1 Ссылка на комментарий
Рекомендуемые сообщения
Для публикации сообщений создайте учётную запись или авторизуйтесь
Вы должны быть пользователем, чтобы оставить комментарий
Создать аккаунт
Зарегистрируйте новый аккаунт в нашем сообществе. Это очень просто!
Регистрация нового пользователяВойти
Уже есть аккаунт? Войти в систему.
Войти