Перейти к содержанию
Стоматология для всех

фит, поддесневая часть, медиально проблема или нет?


Dr.Sham

Рекомендуемые сообщения

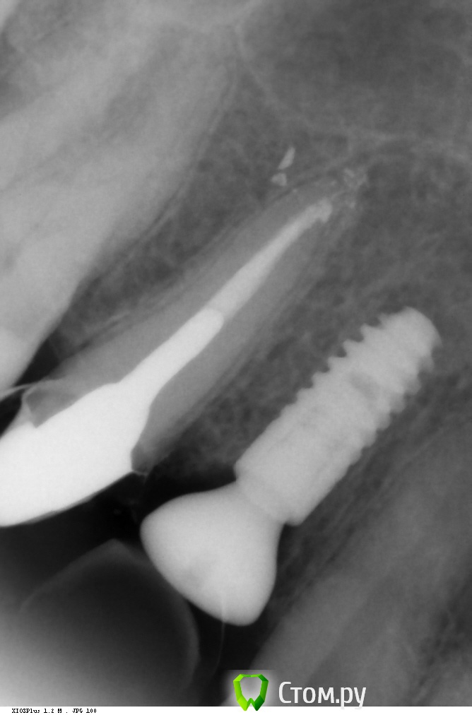
Фит на 15.

14 - одномоментно с удалением. медиально кость ушла? будут проблемы или нет? Дмитрий запугал вконец )

 

 

post-36647-0-53469800-1413460726_thumb.jpgpost-36647-0-58833200-1413460727_thumb.jpg

нашел фото, но со скопа, экскъюз)

post-36647-0-88346500-1413461277_thumb.jpg

Изменено пользователем Dr.Sham
Ссылка на комментарий

Для публикации сообщений создайте учётную запись или авторизуйтесь

Вы должны быть пользователем, чтобы оставить комментарий

Создать аккаунт

Зарегистрируйте новый аккаунт в нашем сообществе. Это очень просто!

Регистрация нового пользователя

Войти

Уже есть аккаунт? Войти в систему.

Войти
×
×
  • Создать...
Вверх