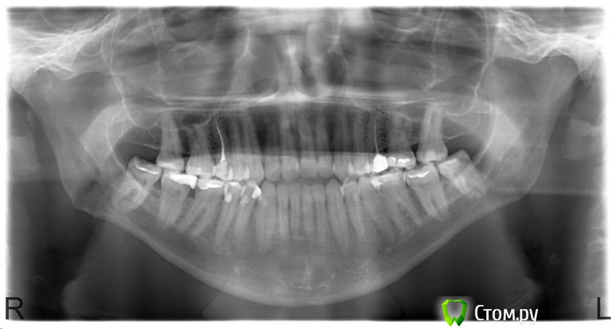
Ashmangos Опубликовано 15 октября, 2014 Поделиться Опубликовано 15 октября, 2014 Здравствуйте!Не давно сделали рентген всей ротовой полости и обнаружили у меня кисту рядом с зубом, где был удален нерв - Правый верхний, где-то после "клыков" , если можно их так назвать.До этого на этот зуб мне делали световую пломбу, если я не ошибаюсь (было 2-3 года назад - точно не помню уже).Посоветуйте, что делать с этим?Фото в приложении. Заранее спасибо! С уважением, Николай. Муром. Ссылка на комментарий
red_butler Опубликовано 15 октября, 2014 Поделиться Опубликовано 15 октября, 2014 Найдите хорошего эндодонтиста, и лечите зуб 3 Ссылка на комментарий
Рекомендуемые сообщения
Для публикации сообщений создайте учётную запись или авторизуйтесь
Вы должны быть пользователем, чтобы оставить комментарий
Создать аккаунт
Зарегистрируйте новый аккаунт в нашем сообществе. Это очень просто!
Регистрация нового пользователяВойти
Уже есть аккаунт? Войти в систему.
Войти