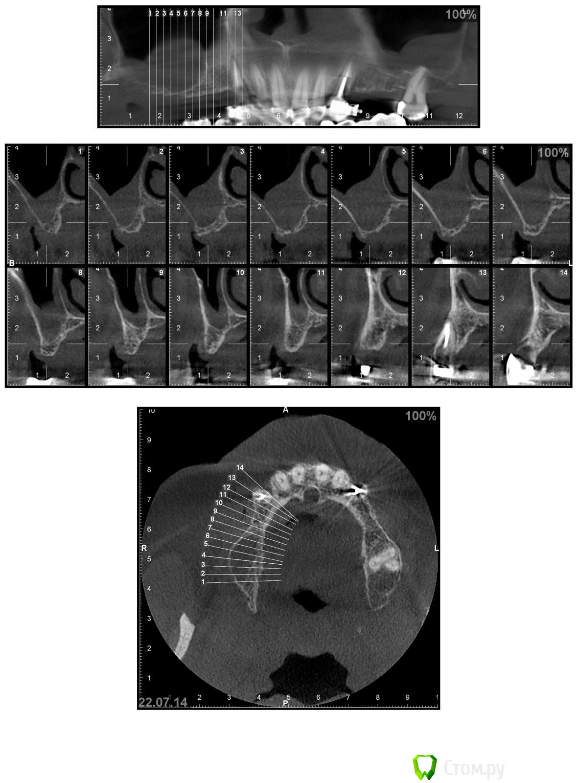
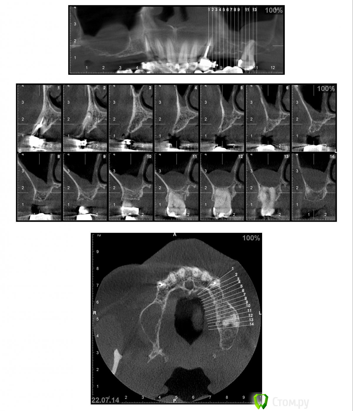
Nadeghda Опубликовано 13 октября, 2014 Поделиться Опубликовано 13 октября, 2014 Доброго времени суток, коллеги!Хотела узнать мнения относительно вариантов протезирования в/ч пациента.После консультации ЛОР - врача от оперативных вмешательств на ППН отказался. 13 и 23 удалены, лунки затягиваются. Варианты:1) имплантаты 13,15,23,25- мостовидные конструкции2) имплантаты 13.23; 15 и 25 - под углом 35'(ski)- локаторы- съемный протез3) имплантаты 13,23; 15,25- под углом 35' - мостовидные протезыМожет еще кто-нибудь что-либо предложит?Заранее спасибо! Ссылка на комментарий
Bier Опубликовано 13 октября, 2014 Поделиться Опубликовано 13 октября, 2014 3й вариант нормальный Ссылка на комментарий
Дмитрий Никитюк Опубликовано 13 октября, 2014 Поделиться Опубликовано 13 октября, 2014 В третьем варианте всё хорошо, только не мостовидные протезы, а Malo bridge. Ссылка на комментарий
Orient Опубликовано 13 октября, 2014 Поделиться Опубликовано 13 октября, 2014 это как Malo bridge.?)если в конструкции дистальная опора под углом стоит и использован мультиюнит?)))))))))))))) Ссылка на комментарий
SDC Опубликовано 14 октября, 2014 Поделиться Опубликовано 14 октября, 2014 это как Malo bridge.?)если в конструкции дистальная опора под углом стоит и использован мультиюнит?))))))))))))))Дмитрий предлагает удалить все зубы на в.ч. Ссылка на комментарий
Nadeghda Опубликовано 14 октября, 2014 Автор Поделиться Опубликовано 14 октября, 2014 Дмитрий предлагает удалить все зубы на в.ч.Если все на удаление так то и проще.... А если не удалять здоровые зубы? Будет ли два мостовидных протеза адекватным протезированием в данном случае? Ссылка на комментарий
Дмитрий Никитюк Опубликовано 14 октября, 2014 Поделиться Опубликовано 14 октября, 2014 Если все на удаление так то и проще.... А если не удалять здоровые зубы? Будет ли два мостовидных протеза адекватным протезированием в данном случае?То шутка была)))Но в каждой шутке есть доля шутки.Мостовидные протезы можно. Ссылка на комментарий
Nadeghda Опубликовано 14 октября, 2014 Автор Поделиться Опубликовано 14 октября, 2014 То шутка была)))Но в каждой шутке есть доля шутки.Мостовидные протезы можно.Спасибо большое, что не оставили мой вопрос без внимания и за пояснение тоже))) Ссылка на комментарий
Дмитрий Никитюк Опубликовано 14 октября, 2014 Поделиться Опубликовано 14 октября, 2014 Спасибо большое, что не оставили мой вопрос без внимания и за пояснение тоже)))Не за что. Ставьте в области клыков и вторых премоляров под углом, и смело цепляйте консоли. Когда умрут резцы, будет отлична конструкция "всё на 6". Ссылка на комментарий
Рекомендуемые сообщения
Для публикации сообщений создайте учётную запись или авторизуйтесь
Вы должны быть пользователем, чтобы оставить комментарий
Создать аккаунт
Зарегистрируйте новый аккаунт в нашем сообществе. Это очень просто!
Регистрация нового пользователяВойти
Уже есть аккаунт? Войти в систему.
Войти