Vadim09 Опубликовано 3 октября, 2014 Поделиться Опубликовано 3 октября, 2014 (изменено) В области 3.5 отсутствует зуб, планирую поставить имплантиум 3.8, с расщеплением и подсадкой кости мис 4bone и мембраной от мис, подскажите тонкости, чтобы не сделал ошибку и простите, если вопрос не корректный. Изменено 3 октября, 2014 пользователем Vadim09 Ссылка на комментарий
doc-евгений Опубликовано 4 октября, 2014 Поделиться Опубликовано 4 октября, 2014 Имплантат 3.6 с нкр, без расщепления. Гребень с поднутрением, большая вероятность отлома. Ссылка на комментарий
faity Опубликовано 4 октября, 2014 Поделиться Опубликовано 4 октября, 2014 Расщепление не надо- может лопнуть. Ложе будете готовить пилотом пройдите, потом остеотомами работайте до нужного размера ,сверху стружки сыпануть. Ссылка на комментарий
Vadim09 Опубликовано 4 октября, 2014 Автор Поделиться Опубликовано 4 октября, 2014 Имплантат 3.6 с нкр, без расщепления. Гребень с поднутрением, большая вероятность отлома.Спасибо, а как расшифровывается НКР? Ссылка на комментарий
doc-евгений Опубликовано 4 октября, 2014 Поделиться Опубликовано 4 октября, 2014 Направленная костная регенерация Ссылка на комментарий
Vadim09 Опубликовано 4 октября, 2014 Автор Поделиться Опубликовано 4 октября, 2014 Направленная костная регенерацияПонял, спасибо большое Ссылка на комментарий
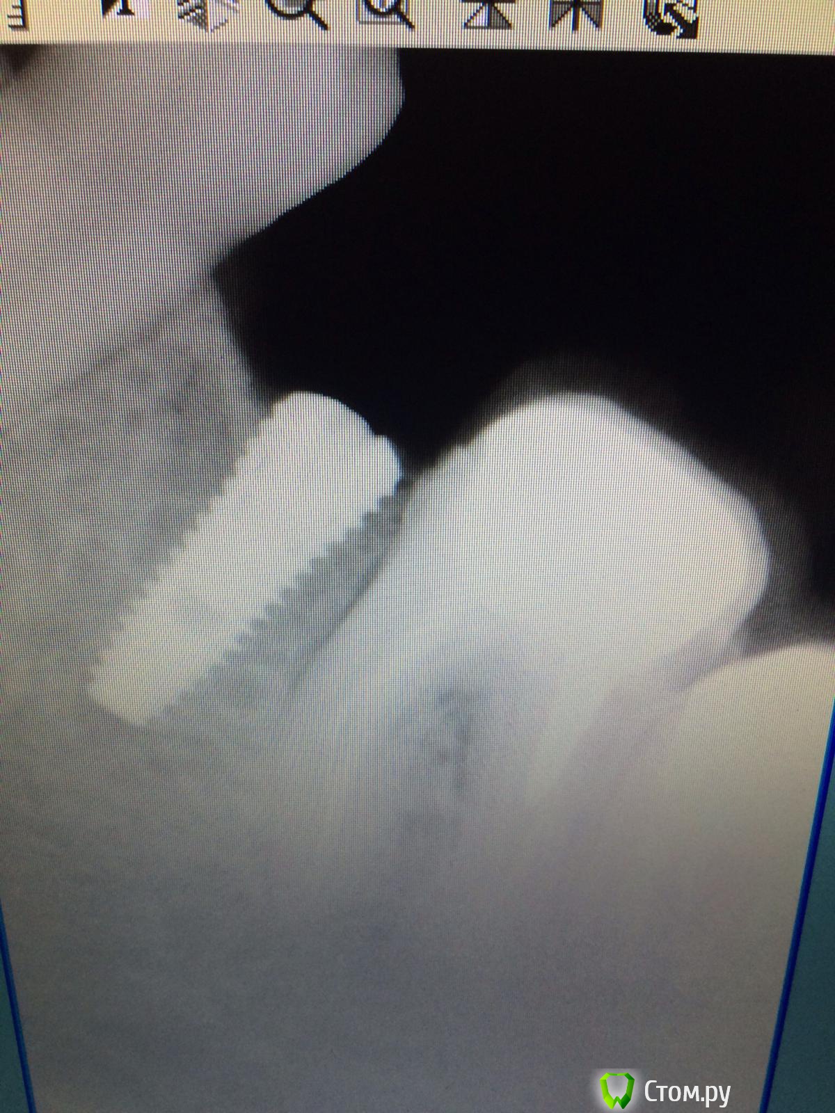
Vadim09 Опубликовано 4 октября, 2014 Автор Поделиться Опубликовано 4 октября, 2014 (изменено) Расщепление не надо- может лопнуть. Ложе будете готовить пилотом пройдите, потом остеотомами работайте до нужного размера ,сверху стружки сыпануть.Спасибо, воспользовался вашим советом, кортикалка лопнула у шейки немног, пдсыпал биоосса и покрыл мембраной Изменено 4 октября, 2014 пользователем Vadim09 Ссылка на комментарий
k.t.m. Опубликовано 4 октября, 2014 Поделиться Опубликовано 4 октября, 2014 Спасибо, воспользовался вашим советом, кортикалка лопнула у шейки немног, пдсыпал биоосса и покрыл мембранойimage.jpgimage.jpgнадо было заглубить и более медиальнее 3 Ссылка на комментарий
Vadim09 Опубликовано 4 октября, 2014 Автор Поделиться Опубликовано 4 октября, 2014 (изменено) надо было заглубить и более медиальнееТоже так подумал, какя-то боязнь задеть корни, после того как у одного опытного доктора увидел.Когда раскрою, выложу фото и буду рад критике и советам Изменено 4 октября, 2014 пользователем Vadim09 Ссылка на комментарий
faity Опубликовано 5 октября, 2014 Поделиться Опубликовано 5 октября, 2014 Спасибо, воспользовался вашим советом, кортикалка лопнула у шейки немног, пдсыпал биоосса и покрыл мембранойimage.jpgimage.jpgпожалуйста, обращайтесь. ждем снимков после Ссылка на комментарий
Kovalov Igor Опубликовано 7 октября, 2014 Поделиться Опубликовано 7 октября, 2014 мембрану фиксировали или подвернули просто? Ссылка на комментарий
Vadim09 Опубликовано 7 октября, 2014 Автор Поделиться Опубликовано 7 октября, 2014 (изменено) мембрану фиксировали или подвернули просто?Подвернул, большая была мембрана, разделил, половину поставил с язычной в вестибулярную сторону, вторую половину с вестибулярной стороны Изменено 7 октября, 2014 пользователем Vadim09 Ссылка на комментарий
Рекомендуемые сообщения
Для публикации сообщений создайте учётную запись или авторизуйтесь
Вы должны быть пользователем, чтобы оставить комментарий
Создать аккаунт
Зарегистрируйте новый аккаунт в нашем сообществе. Это очень просто!
Регистрация нового пользователяВойти
Уже есть аккаунт? Войти в систему.
Войти