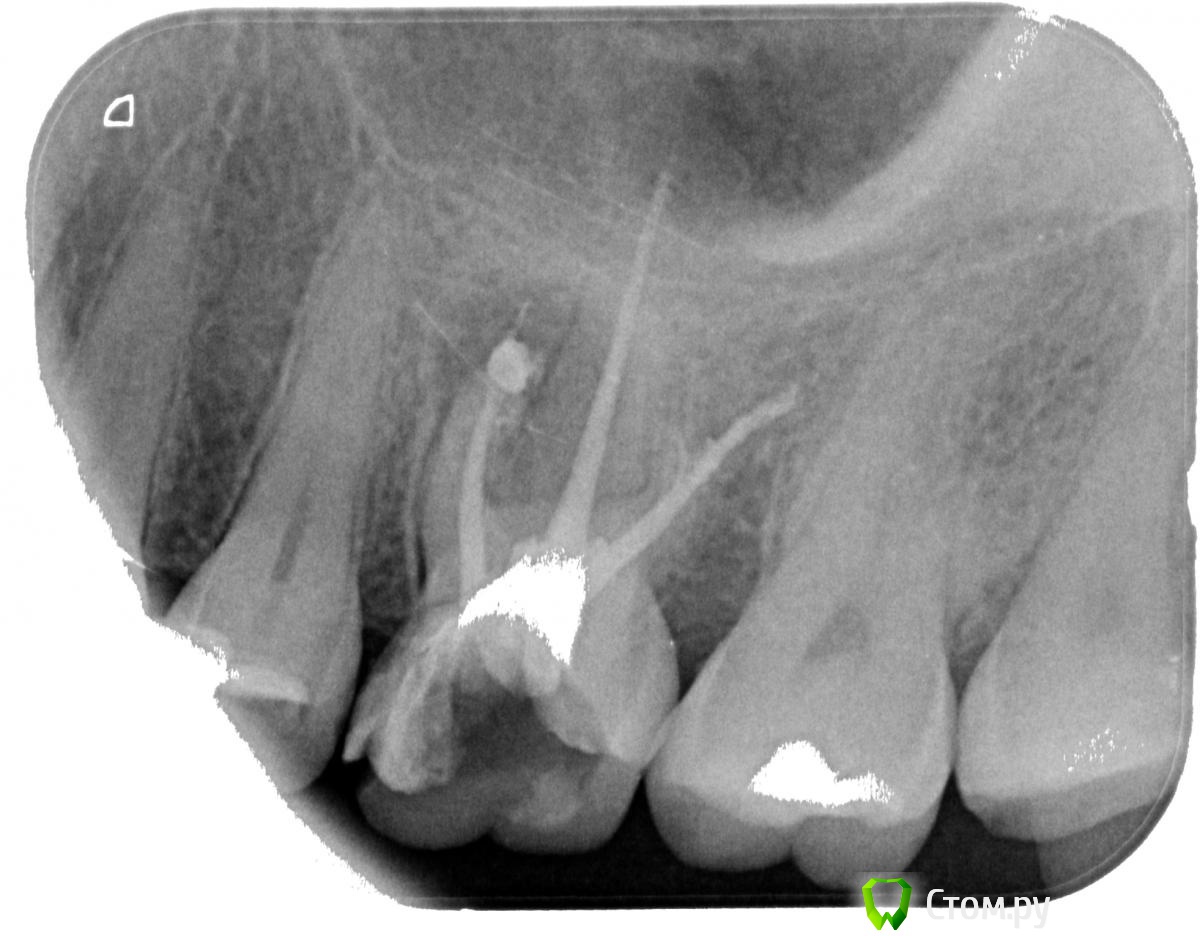
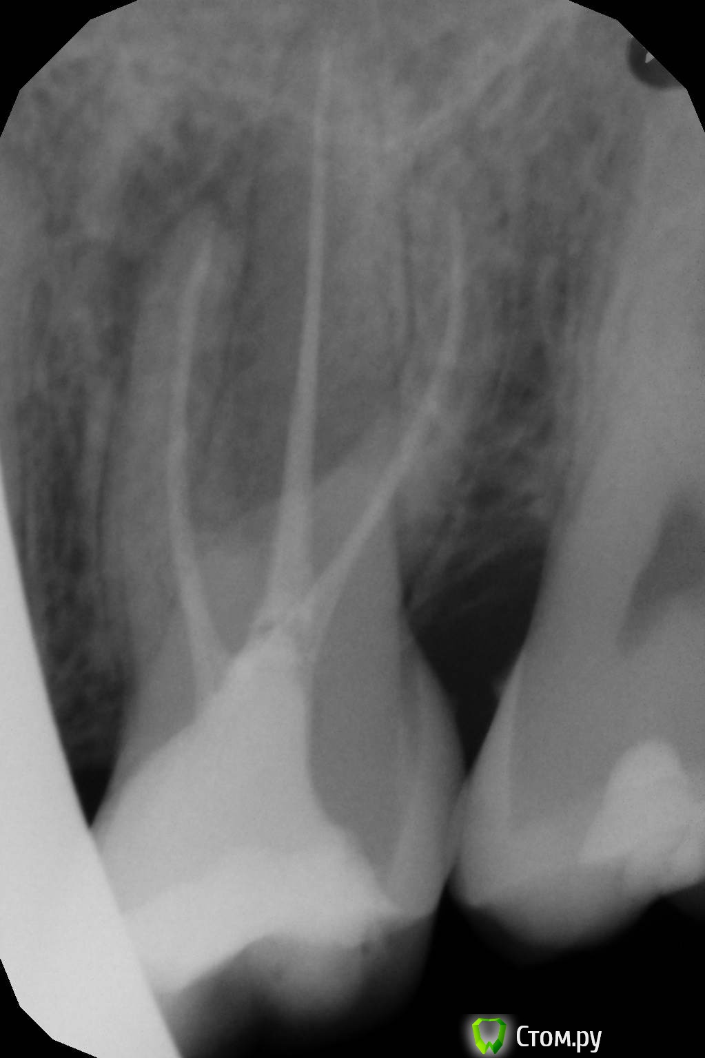
oksanab Опубликовано 2 октября, 2014 Поделиться Опубликовано 2 октября, 2014 (изменено) Консультировалась уже с 4-мя ортопедами, при чем кандидатами мед. наук, и они как-то расходятся во мнении. История такая: 12 лет назад зуб депульпировали, лет через 6 я стала ощущать дискомфорт, и на снимке было воспаление. (снимок 1). А теперь 1,5 месяца назад воспалились немного десна и через какое-то время появился флюс. Вскрыть десну я побоялась и пропила антибиотики. Флюс сошел, но десна еще оставалась припухлой слегка. Я после этого, то есть после антибиотиков, пришла к ортопеду, он начал лечить каналы 26-го зуба, и дискомфорт в десне на половину уменьшился, то есть явно стало получше. В этом зубе так же был обнаружен кариес, но врач сказал, что после лечения каналов удалит кариес, может за стенки боялся). Но во время лечения, когда стояла лечебная паста, на отдыхе зуб сломался об косточку оливки(стояла временная пломба с пастой лечебной). Ортопед через 20 дней убрал лекарство и запломбировал каналы эндометазоном(про гутаперч ничего в выписке не пишет, только это). Когда пломбировал, просил у медсестры что-то 40-е или хотя бы 38-е, у них не оказалось(может штифты...). Уж не знаю чем они там обошлись, но меня такая клиника напрягла. Врач поставил временную пломбу, удалил кстати, отломавшийся кусочек зуба, и сказал приходить через 3 дня, чтобы удалить кариес в этом зубе и смотреть его устойчивость, чтобы определиться с коронкой или вкладкой. Поскольку в этой клинике вечно чего то нет, я перешла в другую. Пришла к кандидату мед. н аук с 25 летним стажем. Он заявил, что скорее всего нужна резекция корня зуба, и отправил меня в институт научно-исследовательский(ЦНИИС и ЧЛХ). Так я попала к следующему к.м.н.- ортопеду Мурадову. Этот радостно сообщил ,что все замечательно, резекции не надо. Но он пропустил кстати перфорацию корня у дистально щечного канала , как и первый к.м.н., он тоже пропустил ее,( его только воспаление у десны обеспокоило, поэтому отправил в институт на консультацию в институт.) А вот уже в институте второго ортопеда -к.м.н. -Мурадова, ничего по десне не обеспокоило, сказал будем ставить коронку. Пока ждала 2 недели очередь , так уж получилось, что я сходила еще к одному ортопеду, чтобы заменил временную пломбу. Он посмотрел снимок, и он первый из врачей, кто вообще заявил, что есть перфорация корня и зуб надо удалять! Однако, я вернулась все таки пошла на лечение к Мурадову ,который радостно брался за этот 26 зуб. И когда я пришла на лечение через 2 недели по его огромной записи, тут вдруг выяснилось... Он вскрыл зуб, сказал что-то про запах, сразу его запаял и заявил, что паста мягкая, надо перепломбировать. Паста - эндометазон. Я попросила повнимательнее посмотреть на снимок, и посмотреть есть ли там перфорация. Тут наконец-то перфорацию заметил и он, хотя видел снимок и две недели назад, и сегодня перед началом лечения. В итоге мне заявил, что, ну пусть терапевт разберется есть там перфорация или нет, потому что на обзорном снимке видно, что угол у зуба другой. Прилагаю три снимка(зуб до лечения, и общий снимок до лечения, и зуб после лечения и пломбировки каналов эндометазоном и уже со сколом зуба). Так вот он все-таки не совсем понял, есть ли перфорация канала. Отправилась я тогда к зам. главного врача этого института ,она оказалась тоже к.м.н. и именно ортопед. Может она конечно хотела прикрыть Мурадова, не знаю, но сказала, что хотя она не очень знает эндометазон, но тоже считает, что надо сделать перепломбировку. На мой вопрос почему врачи, да еще и к.м.н. не замечают перфорацию, ответила, что это конечно не хорошо, но и ей лично кажется, что все-таки перфорация есть. Однако ей было сложно рассмотреть мои снимки на айфоне, то есть я показывала снимки с своего телефона. Поэтому она порекомендовала мне записаться к их терапевту, чтобы внимательнее просмотрел все, может снимок сделал еще один, и чтобы перепломбировали канал методом латеральной конденсации, и пролечили перфорацию. И кстати говоря ,не рекомендовала не резекцию корня зуба, ни его удаление. По факту что у меня получается. Первый к.м.н. - за резекцию корня. Остальные три против резекции. Пятый ортопед вообще за удаление. И вот через 4-5 дней из-за очередей попаду к их терапевту какому-то толковому, тоже будет мозговать, есть ли перфорация, и чего делать то. Народ спасите. ЁПРСТ, я с этим зубом уже полтора месяца хожу, а они только трепятся, а за лечение никто еще не взялся. Только мне все истории разные рассказывают. Я уже готова и удалить его, хотя очень импланта боюсь. И готова рискнуть, поставить коронку, а если чего будет, ну резекцию тогда. Но тот врач, который сказал, что зуб надо удалять, сказал, что и резекция всего лишь временно поможет и толку в ней не будет. Блин, блин, блин... Как я простой человек могу в этом разобраться. И вообще , я больше месяца только на одну сторону жую ,это же тоже наверно не очень хорошо. Перелеченный недавно зуб на втором снимке со сколом зуба. Изменено 2 октября, 2014 пользователем oksanab Ссылка на комментарий
anvladd Опубликовано 2 октября, 2014 Поделиться Опубликовано 2 октября, 2014 Подозрительно что ортопед пломбировал каналы. Я бы удалил и имплант поставил. Ссылка на комментарий
oksanab Опубликовано 2 октября, 2014 Автор Поделиться Опубликовано 2 октября, 2014 чего подозрительного .Клиника не большая, врач-универсал. Сам каналы полечил, сам и коронку мог поставить. Там вообще клиентов не много было ,клиника новая. Ссылка на комментарий
Cleric Опубликовано 3 октября, 2014 Поделиться Опубликовано 3 октября, 2014 (изменено) Во-первых, эндометазоном и прочими пастами уже давно не пломбируют каналы, т.к. они показывают плохие результаты в виду отстутствия герметизма, а также наличия гормонов в составе (каналы должны пломбироваться гуттаперчей на эпоксидном силере)Во-вторых, воспаление наиболее вероятно возникло из-за пропущенного 4го канала, т.е. в переднем щечном корне не 1 канал, а 2.В-третьих, многое зависит от глубины скола стенки, если глубоко под десну - то шансов на адекватную реставрацию немного.Вам необходимо найти врача стоматолога-эндодонтиста и спасти зуб от удаления и прочих к.м.нов с институтах В Москве есть много прекрасных специалистов по эндодонтии, но лечение стоит немалых денег, но оно СТОИТ того. Изменено 3 октября, 2014 пользователем Cleric 1 Ссылка на комментарий
oksanab Опубликовано 6 октября, 2014 Автор Поделиться Опубликовано 6 октября, 2014 спасибо, обращусь к эндодонту, вроде нашла уже сегодня. Но вот четвертого канала врач не нашел, он его прицельно искал, тоже думал, что воспаление из за этого могло быть. Скол совсем не глубоко под десной, вот ортопед нормально оценил шансы. И все же гарантий перелечивание каналов все равно не даст? А денег будет стоить немногим меньше импланта наверно. Ссылка на комментарий
Рекомендуемые сообщения
Для публикации сообщений создайте учётную запись или авторизуйтесь
Вы должны быть пользователем, чтобы оставить комментарий
Создать аккаунт
Зарегистрируйте новый аккаунт в нашем сообществе. Это очень просто!
Регистрация нового пользователяВойти
Уже есть аккаунт? Войти в систему.
Войти