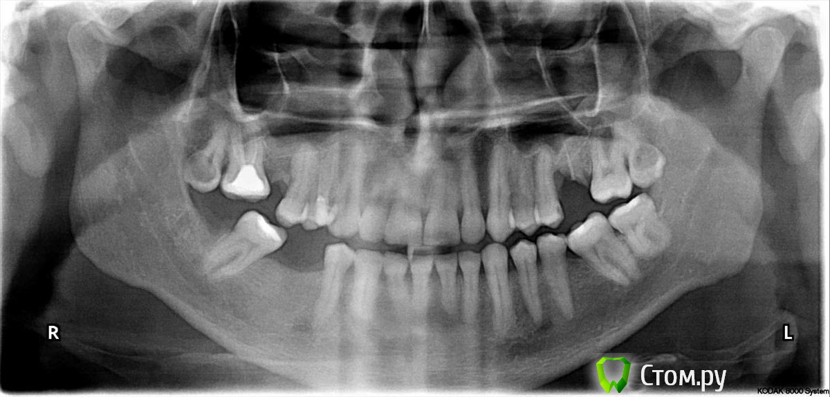
zepo Опубликовано 27 сентября, 2014 Поделиться Опубликовано 27 сентября, 2014 Добрый вечер!С зубами проблема, признаю запустил, не думал что все так серьезно.Решился и пошел в стоматологию, нижний правый зуб мудрости врач решила лечить, поставила пломбу, зуб начал болеть.Через 3-4 дня вскрыла, на следующий день решил его вырвать.Удаление сложное, три укола, стучали молотком, после того как отходил наркоз, страшная боль.На утро проснулся отека нет, боль стихла, сходил на проверку вроде все хорошо, но к ночи боль усилилась.На вид лунка отличная, отеков не было, но уже месяц, а боль не проходит.Чувство тяжести в челюсти, бывает стреляет в ухе.Конечно в течении трех недель боль утихла, раньше в течении двух недель пил кетанов через 4-5 часов, сейчас обхожусь одной в сутки.Но меня волнует продолжительная боль в челюсти и в ухе.Скажите это нормально? Также прикладываю снимок, прошу дать консультацию и что дальше делать? Ссылка на комментарий
red_butler Опубликовано 27 сентября, 2014 Поделиться Опубликовано 27 сентября, 2014 Нет, не нормально, обратитесь к своему врачу Ссылка на комментарий
zepo Опубликовано 28 сентября, 2014 Автор Поделиться Опубликовано 28 сентября, 2014 Нет, не нормально, обратитесь к своему врачуДело в том что я был у врача и не раз.Обращался за консультацией к хирургу и в другую клинику, но и он говорит что после такого удаления может болеть долго.Снимок вчера сам сделал в другой клинике, чтобы проконсультироваться здесь.Блин незнаю что уже делать. Мой врач сказал посетить лор врача, предполагает что застудил ухо.К Лору пойду в понедельник.Да, еще заметил что ночью боль так хорошо успокаивается, что когда просыпаюсь как будто ничего и небыло.Да забыл еще сказать, после удаления зуба, через четыре дня я обратился к врачу с сильной болью, врач предложил и почистил лунку и сделал новый кровяной сгусток. Ссылка на комментарий
red_butler Опубликовано 28 сентября, 2014 Поделиться Опубликовано 28 сентября, 2014 Удалите зуб мудрости на верхней челюсти Справа 1 Ссылка на комментарий
zepo Опубликовано 5 октября, 2014 Автор Поделиться Опубликовано 5 октября, 2014 (изменено) Добрый день!Попал на прием в той же клинике к челюстно-лицевому хирургу. Врач у нас известный и многие кто в городе его знают и советуют его.Вообщем 30 сентября он вскрыл лунку, провел кюретаж наложил три шва и сказал ждать.Поставил диагноз хронический ограниченный остеоииилит.Сразу вроде стало лучше, но не надолго.3 октября пошел опять на прием, был удален верхний зуб мудрости справа.Блин я уже за мучился, боль в ухе вроде стихает то появляется.Ночами сплю по полтора часа, просыпаюсь весь мокрый в поту.Днем вроде чувствую себя лучше, но к вечеру все повторяется.Дайте совет, что делать? Искать другого хирурга, думаю у нас лучше не найду, этот хирург вроде два года как на пенсии, стаж большой.Также ходил к Лору, лор сказал что воспалены миндалины, а с ушами все нормально. Изменено 5 октября, 2014 пользователем zepo Ссылка на комментарий
zepo Опубликовано 9 октября, 2014 Автор Поделиться Опубликовано 9 октября, 2014 (изменено) Добрый день!Боль так и не проходит, хирург заподозрил проблему в суставе.Послал на рентген ВНЧС, показал ему снимки поставил диагноз артрит артроз сустава.Сказал на ночь делать пращевидную повязку и компрессы из мази вишневского, я спросил почему вишневского, он ответил что эта мазь сильно действует на кожу, получается приток крови, соответственно прогрев.Не знаю уже что делать, боль замучила, сам себе прописал ибуфен. Уважаемые, что можете еще посоветовать. Снимки на пленке, попробую отсканировать и прикрепить. Изменено 9 октября, 2014 пользователем zepo Ссылка на комментарий
Военный Врач Опубликовано 10 октября, 2014 Поделиться Опубликовано 10 октября, 2014 Добрый день!Боль так и не проходит, хирург заподозрил проблему в суставе.Послал на рентген ВНЧС, показал ему снимки поставил диагноз артрит артроз сустава.Сказал на ночь делать пращевидную повязку и компрессы из мази вишневского, я спросил почему вишневского, он ответил что эта мазь сильно действует на кожу, получается приток крови, соответственно прогрев.Не знаю уже что делать, боль замучила, сам себе прописал ибуфен. Уважаемые, что можете еще посоветовать. Снимки на пленке, попробую отсканировать и прикрепить.Еще стоит подумать о санации полости рта и замещении отсутствующих зубов для восстановления функции жевания-проблемы в суставе начинаются в полости рта... Ссылка на комментарий
zepo Опубликовано 10 октября, 2014 Автор Поделиться Опубликовано 10 октября, 2014 Еще стоит подумать о санации полости рта и замещении отсутствующих зубов для восстановления функции жевания-проблемы в суставе начинаются в полости рта...Спасибо!Конечно все рекомендации буду в скором времени делать.Но сейчас такая боль, ни о чем неохота думать. Единственная мысль когда же это все восстановится.Санацию обязательно проведу, для этого я и пошел к стоматологу. Ссылка на комментарий
Военный Врач Опубликовано 10 октября, 2014 Поделиться Опубликовано 10 октября, 2014 Спасибо!Конечно все рекомендации буду в скором времени делать.Но сейчас такая боль, ни о чем неохота думать. Единственная мысль когда же это все восстановится.Санацию обязательно проведу, для этого я и пошел к стоматологу.Большое путешествие начинается с маленького шага-извините что переврал-начинайте заниматься уже сейчас Ссылка на комментарий
zepo Опубликовано 23 октября, 2014 Автор Поделиться Опубликовано 23 октября, 2014 Уважаемые, проблема сохранилась!Создал тему в ортодонтии, так как хирург склонялся на сустав внчс.Сейчас крутил снимки и нашел что-то, хотел услышать ваше мнение это не может быть осколок?Вот ссылка на сообщение http://forum.stom.ru/topic/27293-proshu-soveta-i-pomoschi/?p=463149 Ссылка на комментарий
zepo Опубликовано 28 октября, 2014 Автор Поделиться Опубликовано 28 октября, 2014 Добрый день!Ходил к своему стоматологу, тот послал на МРТ, а после сказал показаться ЛОРу и невропатологу.Лор сказал что есть маленькая киста в левой пазухе, но боль у меня с правой стороны и отправила в невропатологу.Невропатолог поставил диагноз невралгия тройничного нерва, прописала уколы мильгамма и ксефокам, сегодня 4 день лучше не стало.Сам еще натираю камфорным маслом область возле уха, становится легче но под челюстью в районе лунки тяжесть и небольшая постоянная боль.При ходьбе в ухе постоянно слышен щелчек особенно поднимаясь по лестнице. Ссылка на комментарий
SDC Опубликовано 29 октября, 2014 Поделиться Опубликовано 29 октября, 2014 (изменено) Добрый день!Ходил к своему стоматологу, тот послал на МРТ, а после сказал показаться ЛОРу и невропатологу.Лор сказал что есть маленькая киста в левой пазухе, но боль у меня с правой стороны и отправила в невропатологу.Невропатолог поставил диагноз невралгия тройничного нерва, прописала уколы мильгамма и ксефокам, сегодня 4 день лучше не стало.Сам еще натираю камфорным маслом область возле уха, становится легче но под челюстью в районе лунки тяжесть и небольшая постоянная боль.При ходьбе в ухе постоянно слышен щелчек особенно поднимаясь по лестнице. Удалите зуб мудрости на верхней челюсти СправаИ слева Прежде всего исключить боли от верхних 8-х, с предположительным диагнозом пульпит. Повторная ренгенограмма зоны удаление 48з. - по ОПТГ подозрение на секвестр. Изменено 29 октября, 2014 пользователем SDC Ссылка на комментарий
Рекомендуемые сообщения
Для публикации сообщений создайте учётную запись или авторизуйтесь
Вы должны быть пользователем, чтобы оставить комментарий
Создать аккаунт
Зарегистрируйте новый аккаунт в нашем сообществе. Это очень просто!
Регистрация нового пользователяВойти
Уже есть аккаунт? Войти в систему.
Войти